电话:
+86 (0512) 65829739
传真:
+86 (010) 6788 5057
电子邮件:
orders@antibodies-online.cn

Recombinant BrdU 抗体

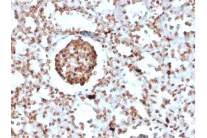
The 兔 单克隆 anti-BrdU antibody (Clone BRD2888R) (ABIN6941451) specifically detects BrdU in IHC, Neut 和 StM.
产品编号 ABIN6941451
发货至: 中国
Contact our Customer Service for availability and price in your country. Contact Info

Our Local Distributor

中国
北京 101111
No. 88 KeChuang 6th Street
Beijing Economic Technological Development Area
Room 801-803
4A Biotech Co.,Ltd.
Tel +86 (0512) 65829739 传真 +86 (010) 6788 5057

Quick Overview for Recombinant BrdU 抗体 (ABIN6941451)

抗原

See all BrdU 抗体
BrdU (Bromodeoxyuridine (BrdU))

抗体类型

Recombinant Antibody

宿主

  • 46
  • 24
  • 8
  • 2

克隆类型

  • 55
  • 25
单克隆

标记

  • 35
  • 6
  • 5
  • 2
  • 2
  • 2
  • 2
  • 2
  • 2
  • 2
  • 2
  • 2
  • 2
  • 2
  • 2
  • 2
  • 1
  • 1
  • 1
  • 1
  • 1
  • 1
  • 1
  • 1
This BrdU antibody is un-conjugated

应用范围

  • 27
  • 27
  • 23
  • 23
  • 20
  • 13
  • 12
  • 11
  • 11
  • 7
  • 6
  • 5
  • 5
  • 4
  • 3
  • 2
  • 1
  • 1
  • 1
  • 1
Immunohistochemistry (IHC), Neutralization (Neut), Staining Methods (StM)

克隆位点

BRD2888R
  • 特异性

    It reacts with Bromodeoxyuridine (BrdU) in single stranded DNA (produced by partial denaturation of double stranded DNA), BrdU coupled to a protein carrier, as well as free BrdU. BrdU is a thymidine analog, incorporated into cell nuclei during DNA synthesis prior to mitosis. Antibody to BrdU is helpful in detecting S-phase cells, providing useful information on the aggressiveness of tumors.

    纯化方法

    Purified by Protein A/G

    免疫原

    Bromodeoxyuridine (BrdU) conjugated to KLH

    亚型

    IgG
  • 应用备注

    Positive Control: Cells grown in presence of BrdU or tissues from experimental animals injected with BrdU.

    Known Application: Immunohistochemistry (Formalin-fixed) (0.5-1 μg/mL for 30 minutes at RT)[For staining of formalin-fixed tissues, incubate sections in 4N HCl for 30 minutes at RT followed by digestion with trypsin at 1 mg/mL PBS, 10 min at 37oC (Cat. #AP-9008)]Optimal dilution for a specific application should be determined.

    限制

    仅限研究用
  • 浓度

    200 μg/mL

    缓冲液

    10 mM PBS with 0.05 % BSA & 0.05 % azide.

    储存液

    Sodium azide

    注意事项

    This product contains Sodium azide: a POISONOUS AND HAZARDOUS SUBSTANCE which should be handled by trained staff only.

    储存条件

    4 °C,-80 °C

    储存方法

    Antibody with azide - store at 2 to 8°C. Antibody without azide - store at -20 to -80°C. Antibody is stable for 24 months. Non-hazardous. No MSDS required.

    有效期

    24 months
  • 抗原

    BrdU (Bromodeoxyuridine (BrdU))

    别名

    Bromodeoxyuridine (BrdU) (Proliferation Marker)

    物质类

    Chemical

    分子量

    307Da
You are here: