电话:
+86 (0512) 65829739
传真:
+86 (010) 6788 5057
电子邮件:
orders@antibodies-online.cn

Macrophage / Histiocytoma Marker 抗体

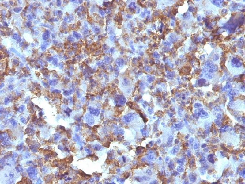
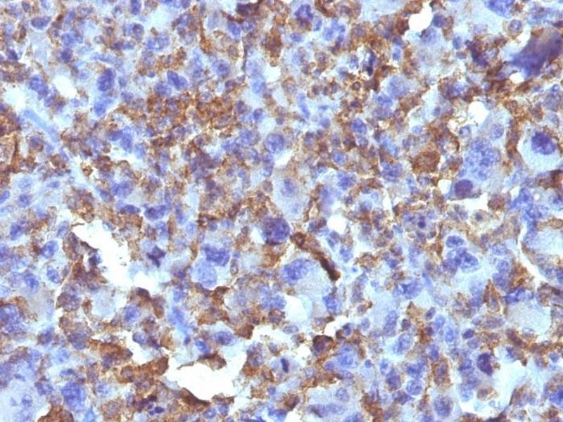
This 小鼠 单克隆 antibody specifically detects Macrophage / Histiocytoma Marker in IHC 和 StM. It exhibits reactivity toward 人.
产品编号 ABIN6941389
发货至: 中国
Contact our Customer Service for availability and price in your country. Contact Info

Our Local Distributor

中国
北京 101111
No. 88 KeChuang 6th Street
Beijing Economic Technological Development Area
Room 801-803
4A Biotech Co.,Ltd.
Tel +86 (0512) 65829739 传真 +86 (010) 6788 5057

Quick Overview for Macrophage / Histiocytoma Marker 抗体 (ABIN6941389)

抗原

Macrophage / Histiocytoma Marker

适用

宿主

  • 2
小鼠

克隆类型

  • 2
单克隆

标记

  • 2
This Macrophage / Histiocytoma Marker antibody is un-conjugated

应用范围

Immunohistochemistry (IHC), Staining Methods (StM)

克隆位点

D11
  • 特异性

    In Western blotting, it detects an antigen of 125 kDa in human liver and 135 kDa in tumors of histiocytic origin. Comparative study of this MAb and a standard CD68 MAb showed that their antigens are different. Its antigen in all macrophage types studied is located on the plasma membrane and within cytoplasmic structures including lysosomes. This MAb shows a restricted reactivity to cells of the monocyte/macrophage system. It specifically reacts with blood monocytes and stains resident macrophages in a wide variety of human tissues. This MAb does not stain antigen-presenting cells, e.g., Langerhans cells. Reportedly, its reactivity is restricted to histiocytes and macrophages.

    无交叉反应

    小鼠, 猪, 大鼠

    纯化方法

    Purified by Protein A/G

    免疫原

    Membrane preparation from human hepatocytes

    亚型

    IgG1 kappa
  • 应用备注

    Positive Control: Liver or Histiocytoma.

    Known Application: Immunohistochemistry (Formalin-fixed) (0.5-1 μg/mL for 30 minutes at RT)(Staining of formalin-fixed tissues requires boiling tissue sections in 10 mM citrate buffer, pH 6.0, for 10-20 min followed by cooling at RT for 20 minutes)Optimal dilution for a specific application should be determined.

    限制

    仅限研究用
  • 浓度

    200 μg/mL

    缓冲液

    10 mM PBS with 0.05 % azide.

    储存液

    Sodium azide

    注意事项

    This product contains Sodium azide: a POISONOUS AND HAZARDOUS SUBSTANCE which should be handled by trained staff only.

    储存条件

    4 °C,-80 °C

    储存方法

    Antibody with azide - store at 2 to 8°C. Antibody without azide - store at -20 to -80°C. Antibody is stable for 24 months. Non-hazardous. No MSDS required.

    有效期

    24 months
  • 抗原

    Macrophage / Histiocytoma Marker

    别名

    Macrophage & Histiocytoma Marker

    分子量

    125kDa -135kDa
You are here: