电话:
+86 (0512) 65829739
传真:
+86 (010) 6788 5057
电子邮件:
orders@antibodies-online.cn

VLDLR 抗体 (C-Term)

The 小鼠 单克隆 anti-VLDLR antibody is suitable to detect VLDLR in samples from 人 和 大鼠. It has been validated for IHC, ISt 和 StM.
产品编号 ABIN6940886
发货至: 中国
Contact our Customer Service for availability and price in your country. Contact Info

Our Local Distributor

中国
北京 101111
No. 88 KeChuang 6th Street
Beijing Economic Technological Development Area
Room 801-803
4A Biotech Co.,Ltd.
Tel +86 (0512) 65829739 传真 +86 (010) 6788 5057

Quick Overview for VLDLR 抗体 (C-Term) (ABIN6940886)

抗原

See all VLDLR 抗体
VLDLR (Very Low Density Lipoprotein Receptor (VLDLR))

适用

  • 81
  • 34
  • 30
  • 6
  • 6
  • 3
  • 3
  • 3
  • 3
人, 大鼠

宿主

  • 67
  • 16
小鼠

克隆类型

  • 56
  • 27
单克隆

标记

  • 29
  • 6
  • 4
  • 4
  • 3
  • 3
  • 2
  • 2
  • 2
  • 2
  • 2
  • 2
  • 2
  • 1
  • 1
  • 1
  • 1
  • 1
  • 1
  • 1
  • 1
  • 1
  • 1
  • 1
  • 1
  • 1
  • 1
  • 1
  • 1
  • 1
  • 1
  • 1
  • 1
This VLDLR antibody is un-conjugated

应用范围

  • 55
  • 40
  • 27
  • 25
  • 12
  • 9
  • 4
  • 2
  • 2
  • 1
  • 1
  • 1
  • 1
Immunohistochemistry (IHC), Immunostaining (ISt), Staining Methods (StM)

克隆位点

VLDLR-1337
  • 抗原表位

    • 26
    • 16
    • 7
    • 4
    • 4
    • 4
    • 4
    • 3
    • 2
    • 1
    • 1
    • 1
    • 1
    • 1
    C-Term

    纯化方法

    Purified by Protein A/G

    免疫原

    Recombinant human VLDLR fragment from c-terminal

    亚型

    IgG1 kappa
  • 应用备注

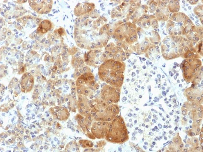
    Positive Control: HeLa or U-251 cells. Pancreas, Cerebellum, Heart or Skeletal Muscle.

    Known Application: Immunohistochemistry (Formalin-fixed) (1-2 μg/mL for 30 minutes at RT)(Staining of formalin-fixed tissues is enhanced by boiling tissue sections in 10 mM Tris with 1 mM EDTA, pH 9.0 for 10-20 min followed by cooling at RT for 20 minutes)Optimal dilution for a specific application should be determined.

    限制

    仅限研究用
  • 浓度

    200 μg/mL

    缓冲液

    10 mM PBS with 0.05 % BSA & 0.05 % azide.

    储存液

    Sodium azide

    注意事项

    This product contains Sodium azide: a POISONOUS AND HAZARDOUS SUBSTANCE which should be handled by trained staff only.

    储存条件

    4 °C,-80 °C

    储存方法

    Antibody with azide - store at 2 to 8°C. Antibody without azide - store at -20 to -80°C. Antibody is stable for 24 months. Non-hazardous. No MSDS required.

    有效期

    24 months
  • 抗原

    VLDLR (Very Low Density Lipoprotein Receptor (VLDLR))

    别名

    VLDLR

    背景

    VLDLR (very low density lipoprotein receptor) is a member of the LDL receptor gene family, which includes LDL receptor, LRP, megalin, VLDLR and ApoER2. The LDL receptor family is characterized by a cluster of cysteine-rich class A repeats, epidermal growth factor (EGF)-like repeats, YWTD repeats and an O-linked sugar domain. VLDLR associates with RAP (receptor associated protein) during receptor folding, and RAP facilitates the secretion of the extracellular region of VLDLR. VLDLR is thought to mediate the interaction of extracellular Reelin and cytosolic mDab1 (mammalian disabled protein), which activates a tyrosine kinase. This pathway regulates the migration of neurons along the radial glial fiber network during brain development.

    分子量

    143-161kDa

    基因ID

    7436

    UniProt

    P98155

    途径

    Cellular Response to Molecule of Bacterial Origin
You are here: