电话:
+86 (0512) 65829739
传真:
+86 (010) 6788 5057
电子邮件:
orders@antibodies-online.cn

Uroplakin 1B 抗体 (AA 109-229)

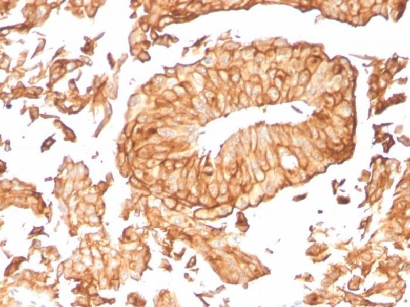
The 小鼠 单克隆 anti-Uroplakin 1B antibody is suitable to detect Uroplakin 1B in samples from 人. It has been validated for IHC, ELISA, Coat 和 StM.
产品编号 ABIN6940857
发货至: 中国
Contact our Customer Service for availability and price in your country. Contact Info

Our Local Distributor

中国
北京 101111
No. 88 KeChuang 6th Street
Beijing Economic Technological Development Area
Room 801-803
4A Biotech Co.,Ltd.
Tel +86 (0512) 65829739 传真 +86 (010) 6788 5057

Quick Overview for Uroplakin 1B 抗体 (AA 109-229) (ABIN6940857)

抗原

See all Uroplakin 1B (UPK1B) 抗体
Uroplakin 1B (UPK1B)

适用

  • 43
  • 4
  • 3

宿主

  • 24
  • 19
小鼠

克隆类型

  • 24
  • 19
单克隆

标记

  • 20
  • 4
  • 2
  • 2
  • 2
  • 2
  • 2
  • 2
  • 2
  • 2
  • 1
  • 1
  • 1
This Uroplakin 1B antibody is un-conjugated

应用范围

  • 25
  • 18
  • 18
  • 16
  • 7
  • 4
  • 3
  • 2
  • 1
  • 1
  • 1
  • 1
Immunohistochemistry (IHC), ELISA, Coating (Coat), Staining Methods (StM)

克隆位点

UPK1B-3081
  • 抗原表位

    • 22
    • 7
    • 5
    • 4
    • 2
    • 1
    • 1
    • 1
    • 1
    • 1
    • 1
    AA 109-229

    纯化方法

    Purified by Protein A/G

    免疫原

    Recombinant fragment (around aa 109-229) of human Uroplakin 1B (UPK1B) protein (exact sequence is proprietary)

    亚型

    IgG2b kappa
  • 应用备注

    Positive Control: Urinary Bladder.

    Known Application: ELISA (For coating, order Ab without BSA), Immunohistochemistry (Formalin-fixed) (1-2 μg/mL for 30 minutes at RT)(Staining of formalin-fixed tissues requires boiling tissue sections in 10 mM citrate buffer, pH 6.0, for 10-20 min followed by cooling at RT for 20 minutes)Optimal dilution for a specific application should be determined.

    限制

    仅限研究用
  • 浓度

    200 μg/mL

    缓冲液

    10 mM PBS with 0.05 % BSA & 0.05 % azide.

    储存液

    Sodium azide

    注意事项

    This product contains Sodium azide: a POISONOUS AND HAZARDOUS SUBSTANCE which should be handled by trained staff only.

    储存条件

    4 °C,-80 °C

    储存方法

    Antibody with azide - store at 2 to 8°C. Antibody without azide - store at -20 to -80°C. Antibody is stable for 24 months. Non-hazardous. No MSDS required.

    有效期

    24 months
  • 抗原

    Uroplakin 1B (UPK1B)

    别名

    UPK1B

    背景

    The protein encoded by this gene is a member of the transmembrane 4 superfamily, also known as the tetraspanin family. Most of these members are cell-surface proteins that are characterized by the presence of four hydrophobic domains. The proteins mediate signal transduction events that play a role in the regulation of cell development, activation, growth and motility. This encoded protein is found in the asymmetrical unit membrane (AUM) where it can form a complex with other transmembrane 4 superfamily proteins. It may play a role in normal bladder epithelial physiology, possibly in regulating membrane permeability of superficial umbrella cells or in stabilizing the apical membrane through AUM/cytoskeletal interactions.UPK1B is expressed by terminally differentiated urothelial cells.

    分子量

    30kDa

    基因ID

    7348

    UniProt

    O75841
You are here: