电话:
+86 (0512) 65829739
传真:
+86 (010) 6788 5057
电子邮件:
orders@antibodies-online.cn

RBP4 抗体

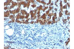
The 小鼠 单克隆 anti-RBP4 antibody (Clone SPM442) (ABIN6940483) specifically detects RBP4 in WB, IHC, IF 和 StM. The antibody is reactive with 人, 小鼠, 大鼠, 兔, 猴 和 山羊 samples.
产品编号 ABIN6940483
发货至: 中国
Contact our Customer Service for availability and price in your country. Contact Info

Our Local Distributor

中国
北京 101111
No. 88 KeChuang 6th Street
Beijing Economic Technological Development Area
Room 801-803
4A Biotech Co.,Ltd.
Tel +86 (0512) 65829739 传真 +86 (010) 6788 5057

Quick Overview for RBP4 抗体 (ABIN6940483)

抗原

See all RBP4 抗体
RBP4 (Retinol Binding Protein 4, Plasma (RBP4))

适用

  • 125
  • 38
  • 26
  • 14
  • 12
  • 8
  • 8
  • 7
  • 6
  • 4
  • 3
  • 2
  • 2
  • 1
  • 1
  • 1
人, 小鼠, 大鼠, 兔, 猴, 山羊

宿主

  • 135
  • 42
  • 8
  • 3
  • 1
  • 1
小鼠

克隆类型

  • 135
  • 55
单克隆

标记

  • 100
  • 28
  • 16
  • 6
  • 5
  • 5
  • 4
  • 4
  • 4
  • 4
  • 4
  • 4
  • 4
  • 1
  • 1
This RBP4 antibody is un-conjugated

应用范围

  • 108
  • 78
  • 53
  • 49
  • 32
  • 32
  • 17
  • 11
  • 10
  • 7
  • 7
  • 5
  • 2
  • 2
  • 2
  • 1
  • 1
  • 1
  • 1
  • 1
  • 1
  • 1
  • 1
Western Blotting (WB), Immunohistochemistry (IHC), Immunofluorescence (IF), Staining Methods (StM)

克隆位点

SPM442
  • 特异性

    Recognizes a protein of 21 kDa-25 kDa, identified as retinol binding protein (RBP). Its epitope localizes between aa 74-182 of human RBP. This MAb recognizes reduced and carboxy-methylated RBP (RCM-RBP) as well as the circulatory RBP but not the native RBP, thereby suggesting that its epitope becomes accessible either on unfolding or upon binding of RBP to transthyretin (prealbumin). RBP is responsible for distributing retinol from the retinoid stores in the liver to the various target tissues. Once secreted into the blood with bound retinol, the vitamin carrier circulates complexed with transthyretin prior to vitamin delivery at the plasma membrane through a receptor-mediated mechanism.

    纯化方法

    Purified by Protein A/G

    免疫原

    Retinol binding protein Purified from human plasma

    亚型

    IgG1 kappa
  • 应用备注

    Positive Control: Liver or placenta.

    Known Application: Immunofluorescence (1-2 μg/mL), Western Blot (0.5-1 μg/mL), Immunohistochemistry (Formalin-fixed) (0.5-1 μg/mL for 30 minutes at RT)(Staining of formalin-fixed tissues requires boiling tissue sections in 10 mM Citrate Buffer, pH 6.0, for 10-20 min followed by cooling at RT for 20 minutes)Optimal dilution for a specific application should be determined.

    限制

    仅限研究用
  • 浓度

    200 μg/mL

    缓冲液

    10 mM PBS with 0.05 % BSA & 0.05 % azide.

    储存液

    Sodium azide

    注意事项

    This product contains Sodium azide: a POISONOUS AND HAZARDOUS SUBSTANCE which should be handled by trained staff only.

    储存条件

    4 °C,-80 °C

    储存方法

    Antibody with azide - store at 2 to 8°C. Antibody without azide - store at -20 to -80°C. Antibody is stable for 24 months. Non-hazardous. No MSDS required.

    有效期

    24 months
  • 抗原

    RBP4 (Retinol Binding Protein 4, Plasma (RBP4))

    别名

    RBP

    分子量

    21-25kDa

    基因ID

    5947, 5948, 5950

    UniProt

    P02753, P09455, P50120

    途径

    Regulatory RNA Pathways, Positive Regulation of Peptide Hormone Secretion, Carbohydrate Homeostasis, Production of Molecular Mediator of Immune Response
You are here: