电话:
+86 (0512) 65829739
传真:
+86 (010) 6788 5057
电子邮件:
orders@antibodies-online.cn

ACP5 抗体

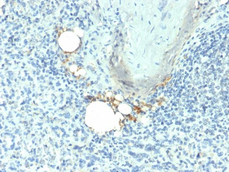
The 小鼠 单克隆 anti-ACP5 antibody (Clone ACP5-1070) (ABIN6940364) specifically detects ACP5 in IHC. The antibody is reactive with 人, 小鼠 和 大鼠 samples.
产品编号 ABIN6940364
发货至: 中国
Contact our Customer Service for availability and price in your country. Contact Info

Our Local Distributor

中国
北京 101111
No. 88 KeChuang 6th Street
Beijing Economic Technological Development Area
Room 801-803
4A Biotech Co.,Ltd.
Tel +86 (0512) 65829739 传真 +86 (010) 6788 5057

Quick Overview for ACP5 抗体 (ABIN6940364)

抗原

See all ACP5 抗体
ACP5 (Acid Phosphatase 5, Tartrate Resistant (ACP5))

适用

  • 98
  • 66
  • 51
  • 5
  • 3
  • 2
  • 2
  • 2
  • 2
  • 1
  • 1
  • 1
  • 1
  • 1
人, 小鼠, 大鼠

宿主

  • 68
  • 35
  • 3
  • 2
小鼠

克隆类型

  • 62
  • 46
单克隆

标记

  • 58
  • 9
  • 3
  • 3
  • 2
  • 2
  • 2
  • 2
  • 2
  • 2
  • 2
  • 2
  • 2
  • 1
  • 1
  • 1
  • 1
  • 1
  • 1
  • 1
  • 1
  • 1
  • 1
  • 1
  • 1
  • 1
  • 1
  • 1
  • 1
  • 1
This ACP5 antibody is un-conjugated

应用范围

  • 65
  • 51
  • 24
  • 24
  • 19
  • 12
  • 11
  • 10
  • 8
  • 2
  • 2
  • 1
Immunohistochemistry (IHC)

克隆位点

ACP5-1070
  • 原理

    TRAcP (Tartrate-Resistant Acid Phosphatase) (Hairy Cell Leukemia Marker) Antibody

    特异性

    It recognizes a protein of 35 kDa, which is identified as tartrate-resistant acid phosphatase (TRAcP). It exists as two isoforms (5a and 5b). This MAb reacts with both the isoforms. Serum TRAcP 5a is secreted by macrophages and dendritic cells and increased in many patients of rheumatoid arthritis.Serum TRAcP 5b is produced from osteoclasts and elevated during bone resorption. TRAcP is an iron containing glycoprotein, which catalyzes the conversion of orthophosphoric monoester to alcohol and orthophosphate. It is the most basic of the acid phosphatases and is the only form not inhibited by L(+)-tartrate. TRAcP is synthesized as a latent proenzyme and is activated by proteolytic cleavage and reduction. Normally, TRAcP is highly expressed by osteoclasts, activated macrophages, neurons and endometrium during pregnancy. Expression of TRAcP is increased in certain pathological conditions such as Leukemic Reticuloendotheliosis (Hairy Cell Leukemia), Gaucher's Disease, HIV-induced Encephalopathy, Osteoclastoma and in osteoporosis and metabolic bone diseases. Anti-TRAcP antibody labels the cells of Hairy Cell Leukemia (HCL) with a high degree of sensitivity and specificity. Other cells stained with this antibody are tissue macrophages and osteoclasts.

    纯化方法

    200ug/ml of Ab Purified from Bioreactor Concentrate by Protein A/G.

    免疫原

    Recombinant full-length human ACP5 protein

    亚型

    IgG2b, kappa
  • 应用备注

    Positive Control: HepG2, 293T, K562 or RPMI-8226 cells. Spleen from Hairy Cell Leukemia (HCL) patient.

    Known Application: Immunohistochemistry (Formalin-fixed) (0.5-1 μg/mL for 30 minutes at RT)(Staining of formalin-fixed tissues requires boiling tissue sections in 10 mM citrate buffer, pH 6.0, for 10-20 min followed by cooling at RT for 20 minutes)Optimal dilution for a specific application should be determined.

    限制

    仅限研究用
  • 浓度

    200 μg/mL

    缓冲液

    Prepared in 10 mM PBS with 0.05 % BSA & 0.05 % azide.

    储存液

    Sodium azide

    注意事项

    This product contains Sodium azide: a POISONOUS AND HAZARDOUS SUBSTANCE which should be handled by trained staff only.

    储存条件

    4 °C

    储存方法

    Antibody with azide - store at 2 to 8°C. Antibody without azide - store at -20 to -80°C. Antibody is stable for 24 months. Non-hazardous. No MSDS required.

    有效期

    24 months
  • 抗原

    ACP5 (Acid Phosphatase 5, Tartrate Resistant (ACP5))

    别名

    ACP5

    背景

    Acid phosphatase 5, tartrate resistant, ACP5, serum band 5 tartrate-resistant acid phosphatase, SPENCDI, Tartrate-resistant acid ATPase, Tartrate-resistant acid phosphatase type 5, TR-AP, TRACP5, TRAcP, TRAP, TrATPase, Type 5 acid phosphatase

    293T, HePG2, K562 or RPMI-8226 cells. Spleen from Hairy Cell Leukemia (HCL) patient.

    分子量

    35kDa

    基因ID

    54, 1211

    UniProt

    P13686

    途径

    Transition Metal Ion Homeostasis
You are here: