电话:
+86 (0512) 65829739
传真:
+86 (010) 6788 5057
电子邮件:
orders@antibodies-online.cn

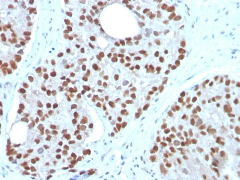
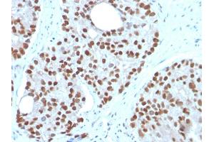
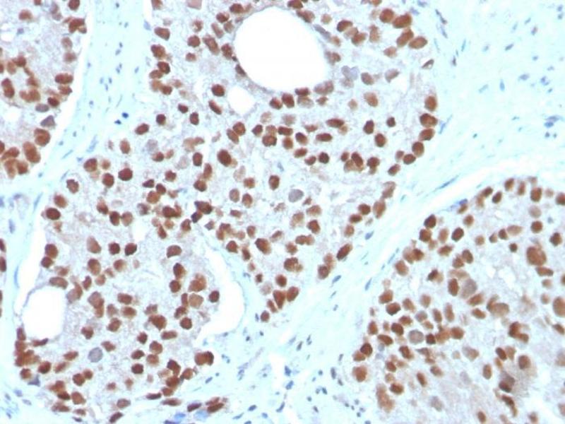
NKX3-1 抗体 (AA 92-224)

The 小鼠 单克隆 anti-NKX3-1 antibody is suitable to detect NKX3-1 in samples from 人. It has been validated for IHC 和 ELISA.
产品编号 ABIN6940208
发货至: 中国
Contact our Customer Service for availability and price in your country. Contact Info

Our Local Distributor

中国
北京 101111
No. 88 KeChuang 6th Street
Beijing Economic Technological Development Area
Room 801-803
4A Biotech Co.,Ltd.
Tel +86 (0512) 65829739 传真 +86 (010) 6788 5057

Quick Overview for NKX3-1 抗体 (AA 92-224) (ABIN6940208)

抗原

See all NKX3-1 抗体
NKX3-1 (NK3 Homeobox 1 (NKX3-1))

适用

  • 105
  • 20
  • 7
  • 4
  • 4
  • 4
  • 2
  • 2
  • 2
  • 2
  • 1
  • 1

宿主

  • 66
  • 49
小鼠

克隆类型

  • 62
  • 53
单克隆

标记

  • 53
  • 9
  • 3
  • 3
  • 3
  • 3
  • 3
  • 3
  • 3
  • 3
  • 3
  • 3
  • 3
  • 3
  • 3
  • 3
  • 3
  • 3
  • 3
  • 1
  • 1
This NKX3-1 antibody is un-conjugated

应用范围

  • 64
  • 59
  • 42
  • 26
  • 5
  • 4
  • 4
  • 2
  • 2
  • 1
Immunohistochemistry (IHC), ELISA

克隆位点

NKX3-1-3350
  • 抗原表位

    • 35
    • 8
    • 8
    • 7
    • 6
    • 4
    • 2
    • 2
    • 2
    • 2
    • 1
    • 1
    • 1
    • 1
    • 1
    • 1
    • 1
    • 1
    • 1
    AA 92-224

    原理

    NKX3.1 (Metastatic Prostate Adenocarcinoma Marker) Antibody

    特异性

    NKX3.1 is a prostate specific gene encoding a transcription factor that plays an important role in normal prostate development and carcinogenesis. It is a prostatic tumor suppressor gene located on chromosome 8p21.2, which frequently undergoes a loss of heterozygosity. NKX3.1 expression is highly restricted in prostate epithelial cells and therefore can be used as a diagnostic biomarker for prostate cancer and other metastatic lesions of prostatic origin. Furthermore, NKX3.1 shows better sensitivity than Prostate Specific Antigen (PSA) for identifying metastatic prostatic adenocarcinoma. This suggests that immunohistochemical staining of NKX3.1, along with other prostate-restricted markers, may be valuable for the definitive determination of prostatic origin in poorly differentiated metastatic carcinomas.

    纯化方法

    200ug/ml of Ab Purified from Bioreactor Concentrate by Protein A/G.

    免疫原

    Recombinant fragment (around aa 92-224) of human NKX3.1 protein (exact sequence is proprietary)

    亚型

    IgG2b, kappa
  • 应用备注

    Positive Control: Highly expressed in the prostate and at a lower level in the testis.

    Known Application: ELISA (For coating, order Ab without BSA),Immunohistochemistry (Formalin-fixed) (1-2 μg/mL for 30 minutes at RT),(Staining of formalin-fixed tissues requires boiling tissue sections in 10 mM citrate buffer, pH 6.0, for 10-20 min followed by cooling at RT for 20 minutes),Optimal dilution for a specific application should be determined.

    限制

    仅限研究用
  • 浓度

    200 μg/mL

    缓冲液

    Prepared in 10 mM PBS with 0.05 % BSA & 0.05 % azide.

    储存液

    Sodium azide

    注意事项

    This product contains Sodium azide: a POISONOUS AND HAZARDOUS SUBSTANCE which should be handled by trained staff only.

    储存条件

    4 °C

    储存方法

    Antibody with azide - store at 2 to 8°C. Antibody without azide - store at -20 to -80°C. Antibody is stable for 24 months. Non-hazardous. No MSDS required.

    有效期

    24 months
  • 抗原

    NKX3-1 (NK3 Homeobox 1 (NKX3-1))

    别名

    NKX3-1

    背景

    NKX3A, NK3 Transcription Factor Related, Locus 1 (Drosophila), NK3 Transcription Factor Related, Locus 1, NK Homeobox (Drosophila), Family 3, A, NK3 Transcription Factor Homolog A, NK Homeobox, Family 3, A, BAPX2,

    Highly expressed in the prostate and at a lower level in the testis.

    分子量

    35kDa

    基因ID

    4824, 55999

    UniProt

    Q99801

    途径

    Intracellular Steroid Hormone Receptor Signaling Pathway, Positive Regulation of Endopeptidase Activity, Positive Regulation of Response to DNA Damage Stimulus
You are here: