电话:
+86 (0512) 65829739
传真:
+86 (010) 6788 5057
电子邮件:
orders@antibodies-online.cn

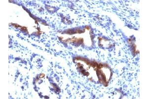
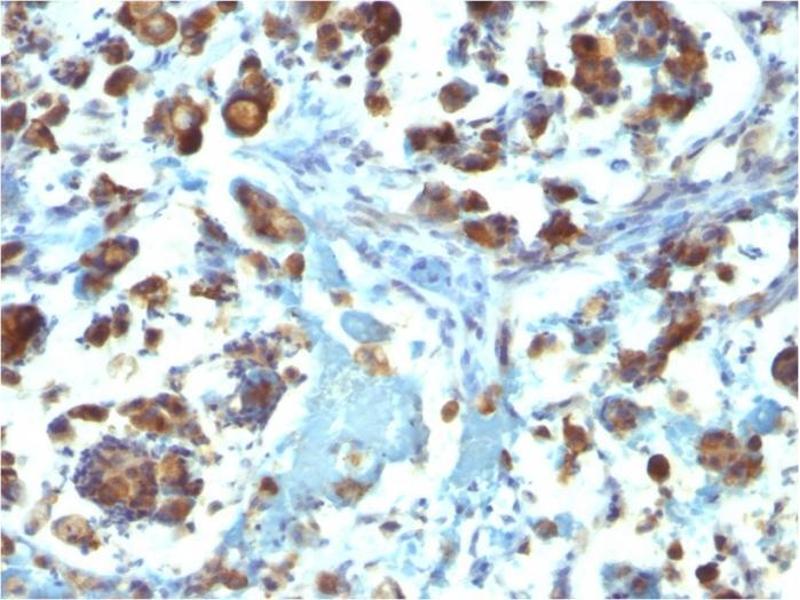
MUC3A 抗体

The 小鼠 单克隆 anti-MUC3A antibody (Clone M3-1) (ABIN6940121) specifically detects MUC3A in IHC. The antibody is reactive with 人 samples.
产品编号 ABIN6940121
发货至: 中国
Contact our Customer Service for availability and price in your country. Contact Info

Our Local Distributor

中国
北京 101111
No. 88 KeChuang 6th Street
Beijing Economic Technological Development Area
Room 801-803
4A Biotech Co.,Ltd.
Tel +86 (0512) 65829739 传真 +86 (010) 6788 5057

Quick Overview for MUC3A 抗体 (ABIN6940121)

抗原

MUC3A (Mucin 3A, Cell Surface Associated (MUC3A))

适用

  • 52
  • 2
  • 2

宿主

  • 43
  • 13
小鼠

克隆类型

  • 31
  • 25
单克隆

标记

  • 18
  • 4
  • 2
  • 2
  • 2
  • 2
  • 2
  • 2
  • 2
  • 2
  • 1
  • 1
  • 1
  • 1
  • 1
  • 1
  • 1
  • 1
  • 1
  • 1
  • 1
  • 1
  • 1
  • 1
  • 1
  • 1
  • 1
  • 1
This MUC3A antibody is un-conjugated

应用范围

  • 24
  • 13
  • 13
  • 11
  • 10
  • 9
  • 9
  • 7
  • 7
  • 7
  • 5
  • 3
  • 3
  • 1
  • 1
Immunohistochemistry (IHC)

克隆位点

M3-1
  • 原理

    MUC3 (Mucin 3) Antibody

    特异性

    It recognizes a protein of HMW, identified as mucin 3 glycoprotein (MUC3). Its epitope localizes between aa SITTTE. This MAb shows no cross-reaction with human milk fat globule membranes, MUC1, or MUC2. MUC3 is distributed in colon and rectum, and is also present to a lesser extent in breast, lung and salivary gland tissues.The Mucins are a family of highly glycosylated, secreted proteins with a basic structure consisting of a variable number of tandem repeats (VNTRs) encoded by 60 base pairs (Mucin 1), 69 base pairs (Mucin 2) and 51 base pairs (Mucin 3). The number of repeats is highly polymorphic and varies among different alleles. Mucin 1 proteins are expressed as type I membrane proteins in addition to secreted forms. Mucin 1 is aberrantly expressed in epithelial tumors including breast carcinomas. Mucin 2 coats the epithelia of the intestines and airways and is associated with colonic tumors. Mucin 3 is a major component of various mucus gels and is broadly expressed in normal and tumor cells.

    纯化方法

    200ug/ml of Ab purified from Bioreactor Concentrate by Protein A/G.

    免疫原

    A synthetic peptide of 35 amino acids, SIB35 (C-HSTPSFTSSITTTETTSHSTPSFTSSITTTETTS), which contains two of the MUC3 tandem repeats, coupled to KLH.

    亚型

    IgG2a, kappa
  • 应用备注

    Positive Control: LS174T cells. Human small intestine (IHC).

    Known Application: Immunohistochemistry (Formalin-fixed) (1-2 μg/mL for 30 minutes at RT)(Staining of formalin-fixed tissues requires boiling tissue sections in 10 mM Tris with 1 mM EDTA, pH 9.0, for 10-20 min followed by cooling at RT for 20 minutes)Optimal dilution for a specific application should be determined.

    限制

    仅限研究用
  • 浓度

    200 μg/mL

    缓冲液

    Prepared in 10 mM PBS with 0.05 % BSA & 0.05 % azide.

    储存液

    Sodium azide

    注意事项

    This product contains Sodium azide: a POISONOUS AND HAZARDOUS SUBSTANCE which should be handled by trained staff only.

    储存条件

    4 °C

    储存方法

    Antibody with azide - store at 2 to 8 °C. Antibody without azide - store at -20 to -80 °C. Antibody is stable for 24 months. Non-hazardous. No MSDS required.

    有效期

    24 months
  • 抗原

    MUC3A (Mucin 3A, Cell Surface Associated (MUC3A))

    别名

    MUC3A

    背景

    Intestinal mucin-3A, intestinal mucin-like, MUC3, MUC3A, MUC3B, mucin 3, intestinal, mucin 3A, cell surface associated, mucin 3A, intestinal, mucin 3B, cell surface associated

    LS174T cells.Human colon or colon carcinoma.

    分子量

    1100kDa

    基因ID

    4584, 57876

    UniProt

    Q02505
You are here: