电话:
+86 (0512) 65829739
传真:
+86 (010) 6788 5057
电子邮件:
orders@antibodies-online.cn

MUC2 抗体

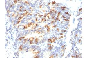
This 小鼠 单克隆 antibody specifically detects MUC2 in IHC, IF 和 FACS. It exhibits reactivity toward 人.
产品编号 ABIN6940118
发货至: 中国
Contact our Customer Service for availability and price in your country. Contact Info

Our Local Distributor

中国
北京 101111
No. 88 KeChuang 6th Street
Beijing Economic Technological Development Area
Room 801-803
4A Biotech Co.,Ltd.
Tel +86 (0512) 65829739 传真 +86 (010) 6788 5057

Quick Overview for MUC2 抗体 (ABIN6940118)

抗原

See all MUC2 抗体
MUC2 (Mucin 2, Oligomeric Mucus/gel-Forming (MUC2))

适用

  • 99
  • 26
  • 19
  • 3
  • 1

宿主

  • 83
  • 34
小鼠

克隆类型

  • 66
  • 51
单克隆

标记

  • 50
  • 14
  • 7
  • 3
  • 3
  • 3
  • 3
  • 3
  • 3
  • 3
  • 3
  • 3
  • 3
  • 3
  • 3
  • 3
  • 1
  • 1
  • 1
  • 1
  • 1
  • 1
  • 1
This MUC2 antibody is un-conjugated

应用范围

  • 75
  • 52
  • 32
  • 32
  • 26
  • 22
  • 19
  • 19
  • 7
  • 4
  • 4
  • 2
  • 1
Immunohistochemistry (IHC), Immunofluorescence (IF), Flow Cytometry (FACS)

克隆位点

MLP-842
  • 原理

    MUC2 (Mucin 2) Antibody

    特异性

    Recognizes a single glycoprotein of 520kDa, identified as mucin 2 (MUC2). This MAb shows no cross-reaction with human milk fat globule membranes, MUC1, or MUC3. Mucins are high molecular weight glycoproteins, which constitute the major component of the mucus layer that protects the gastric epithelium.MUC2 is specifically expressed in goblet cells of the small intestine & colon; in about 65% of colonic carcinomas and about 40% of gastric carcinomas. MUC2 is rarely expressed outside of the GI tract with the exceptions of mucinous carcinoma of breast and clear cell-type carcinomas of the ovary.

    无交叉反应

    大鼠

    纯化方法

    200ug/ml of Ab purified from Bioreactor Concentrate by Protein A/G.

    免疫原

    Recombinant fragment covering tandem repeats of human MUC2 protein (exact sequence is proprietary)

    亚型

    IgG1, kappa
  • 应用备注

    Positive Control: LS174T cells. Human small intestine (IHC).

    Known Application: Immunohistochemistry (Formalin-fixed) (0.5-1 μg/mL for 30 minutes at RT)(Staining of formalin-fixed tissues requires boiling tissue sections in 10 mM Tris-HCl buffer, pH 10.0, for 10-20 min followed by cooling at RT for 20 minutes)Optimal dilution for a specific application should be determined.

    限制

    仅限研究用
  • 浓度

    200 μg/mL

    缓冲液

    Prepared in 10 mM PBS with 0.05 % BSA & 0.05 % azide.

    储存液

    Sodium azide

    注意事项

    This product contains Sodium azide: a POISONOUS AND HAZARDOUS SUBSTANCE which should be handled by trained staff only.

    储存条件

    4 °C

    储存方法

    Antibody with azide - store at 2 to 8 °C. Antibody without azide - store at -20 to -80 °C. Antibody is stable for 24 months. Non-hazardous. No MSDS required.

    有效期

    24 months
  • 抗原

    MUC2 (Mucin 2, Oligomeric Mucus/gel-Forming (MUC2))

    别名

    MUC2

    背景

    Mucin-2, Intestinal mucin-2, Mucin like protein, (MLP), SMUC

    LS174T cells. Human small intestine (IHC).

    分子量

    520kDa

    基因ID

    4583, 315

    UniProt

    Q02817
You are here: