电话:
+86 (0512) 65829739
传真:
+86 (010) 6788 5057
电子邮件:
orders@antibodies-online.cn

Keratin 10 抗体

The 小鼠 单克隆 anti-Keratin 10 antibody is suitable to detect Keratin 10 in samples from 人 和 小鼠. It has been validated for IHC, WB 和 StM.
产品编号 ABIN6939893
发货至: 中国
Contact our Customer Service for availability and price in your country. Contact Info

Our Local Distributor

中国
北京 101111
No. 88 KeChuang 6th Street
Beijing Economic Technological Development Area
Room 801-803
4A Biotech Co.,Ltd.
Tel +86 (0512) 65829739 传真 +86 (010) 6788 5057

Quick Overview for Keratin 10 抗体 (ABIN6939893)

抗原

See all Keratin 10 (KRT10) 抗体
Keratin 10 (KRT10)

适用

  • 191
  • 100
  • 71
  • 47
  • 37
  • 6
  • 5
  • 4
  • 3
  • 2
  • 2
  • 2
  • 2
  • 2
  • 1
人, 小鼠

宿主

  • 113
  • 82
  • 2
小鼠

克隆类型

  • 135
  • 62
单克隆

标记

  • 92
  • 15
  • 7
  • 7
  • 7
  • 7
  • 7
  • 7
  • 6
  • 4
  • 3
  • 3
  • 3
  • 3
  • 3
  • 3
  • 3
  • 2
  • 1
  • 1
  • 1
  • 1
  • 1
  • 1
  • 1
  • 1
  • 1
  • 1
  • 1
  • 1
  • 1
  • 1
  • 1
This Keratin 10 antibody is un-conjugated

应用范围

  • 123
  • 89
  • 56
  • 49
  • 49
  • 29
  • 25
  • 22
  • 14
  • 13
  • 11
  • 10
  • 7
  • 6
  • 2
  • 2
  • 1
Immunohistochemistry (IHC), Western Blotting (WB), Staining Methods (StM)

克隆位点

LH2
  • 特异性

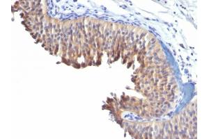
    This MAb recognizes a protein of 56.5 kDa, identified as cytokeratin 10 (CK10). CK10 is expressed in all suprabasal layers of the epidermis. In the epidermis, expression of CK10 strictly parallels the extent of differentiation, it is absent in the basal layer, appears in the first suprabasal layers and increases in concentration towards the granular layer. However, CK10 is rarely detected in early stages of vulvar squamous carcinomas (tumors less than 2 cm, clinical stage I) regardless of the tumor grade. In larger and more advanced tumors (greater than 2 cm, clinical stages II and III), CK10 is detected very frequently. Expression of CK10 is related to maturation of malignant keratinocytes, being preferentially detected in more-differentiated parts.

    纯化方法

    Purified by Protein A/G

    免疫原

    Skin extract of a human Psoriasis patient

    亚型

    IgG1 kappa
  • 应用备注

    Positive Control: A431, HeLa, MCF7 cells. Esophagus or tonsil.

    Known Application: Western Blot (1-2 μg/mL), Immunohistochemistry (Formalin-fixed) (0.5-1.0 μg/mL for 30 min at RT)(Staining of formalin-fixed tissues requires boiling tissue sections in 10 mM citrate buffer, pH 6.0, for 10-20 min followed by cooling at RT for 20 minutes)Optimal dilution for a specific application should be determined.

    限制

    仅限研究用
  • 浓度

    200 μg/mL

    缓冲液

    10 mM PBS with 0.05 % BSA & 0.05 % azide.

    储存液

    Sodium azide

    注意事项

    This product contains Sodium azide: a POISONOUS AND HAZARDOUS SUBSTANCE which should be handled by trained staff only.

    储存条件

    4 °C,-80 °C

    储存方法

    Antibody with azide - store at 2 to 8°C. Antibody without azide - store at -20 to -80°C. Antibody is stable for 24 months. Non-hazardous. No MSDS required.

    有效期

    24 months
  • 抗原

    Keratin 10 (KRT10)

    别名

    KRT10

    分子量

    56.5kDa

    基因ID

    3858

    UniProt

    P13645
You are here: