电话:
+86 (0512) 65829739
传真:
+86 (010) 6788 5057
电子邮件:
orders@antibodies-online.cn

IGKC 抗体

This 小鼠 单克隆 antibody specifically detects IGKC in IHC, WB, StM 和 FACS. It exhibits reactivity toward 人.
产品编号 ABIN6939745
发货至: 中国
Contact our Customer Service for availability and price in your country. Contact Info

Our Local Distributor

中国
北京 101111
No. 88 KeChuang 6th Street
Beijing Economic Technological Development Area
Room 801-803
4A Biotech Co.,Ltd.
Tel +86 (0512) 65829739 传真 +86 (010) 6788 5057

Quick Overview for IGKC 抗体 (ABIN6939745)

抗原

IGKC (Immunoglobulin kappa Constant (IGKC))

适用

宿主

  • 22
  • 10
小鼠

克隆类型

  • 24
  • 8
单克隆

标记

  • 19
  • 3
  • 2
  • 1
  • 1
  • 1
  • 1
  • 1
  • 1
  • 1
  • 1
This IGKC antibody is un-conjugated

应用范围

  • 16
  • 11
  • 8
  • 7
  • 5
  • 4
  • 4
  • 3
  • 3
  • 3
  • 2
  • 1
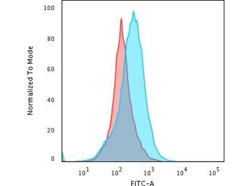
Immunohistochemistry (IHC), Western Blotting (WB), Staining Methods (StM), Flow Cytometry (FACS)

克隆位点

KLC264
  • 特异性

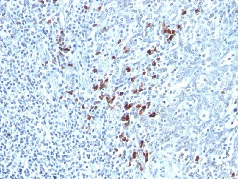
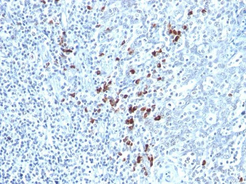
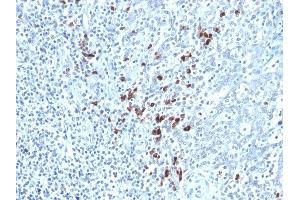
    This MAb is specific to kappa light chain of immunoglobulin and shows no cross-reaction with lambda light chain or any of the five heavy chains. In mammals, the two light chains in an antibody are always identical, with only one type of light chain, kappa or lambda. The ratio of Kappa to Lambda is 70:30. However, with the occurrence of multiple myeloma or other B-cell malignancies this ratio is disturbed. Antibody to the kappa light chain is reportedly useful in the identification of leukemias, plasmacytomas, and certain non-Hodgkin's lymphomas. Demonstration of clonality in lymphoid infiltrates indicates that the infiltrate is malignant.

    纯化方法

    Purified by Protein A/G

    免疫原

    Recombinant human Ig kappa chain

    亚型

    IgG1 kappa
  • 应用备注

    Positive Control: 293T, Raji or hPBL cells. Tonsil or Spleen.

    Known Application: Western Blot (1-2 μg/mL), Flow Cytometry (1-2 μg/million cells), Immunohistochemistry (Formalin-fixed) (1-2 μg/mL for 30 min at RT)(Staining of formalin-fixed tissues requires boiling tissue sections in 10 mM Citrate Buffer, pH 6.0, for 10-20 min followed by cooling at RT for 20 minutes)Optimal dilution for a specific application should be determined.

    限制

    仅限研究用
  • 浓度

    200 μg/mL

    缓冲液

    10 mM PBS with 0.05 % BSA & 0.05 % azide.

    储存液

    Sodium azide

    注意事项

    This product contains Sodium azide: a POISONOUS AND HAZARDOUS SUBSTANCE which should be handled by trained staff only.

    储存条件

    4 °C,-80 °C

    储存方法

    Antibody with azide - store at 2 to 8°C. Antibody without azide - store at -20 to -80°C. Antibody is stable for 24 months. Non-hazardous. No MSDS required.

    有效期

    24 months
  • 抗原

    IGKC (Immunoglobulin kappa Constant (IGKC))

    别名

    IGKC

    分子量

    ~22.5kDa

    基因ID

    3514

    UniProt

    P01601, P01834
You are here: