电话:
+86 (0512) 65829739
传真:
+86 (010) 6788 5057
电子邮件:
orders@antibodies-online.cn

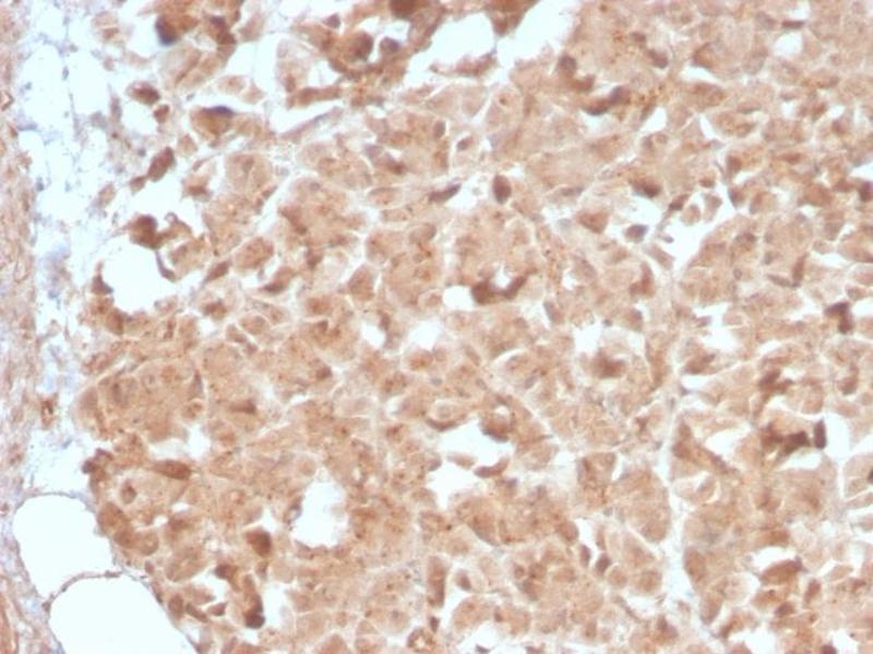
Recombinant Elastase 3B 抗体 (AA 82-238)

This 兔 单克隆 antibody specifically detects Elastase 3B in IHC. It exhibits reactivity toward 人.
产品编号 ABIN6939421
发货至: 中国
Contact our Customer Service for availability and price in your country. Contact Info

Our Local Distributor

中国
北京 101111
No. 88 KeChuang 6th Street
Beijing Economic Technological Development Area
Room 801-803
4A Biotech Co.,Ltd.
Tel +86 (0512) 65829739 传真 +86 (010) 6788 5057

Quick Overview for Recombinant Elastase 3B 抗体 (AA 82-238) (ABIN6939421)

抗原

See all Elastase 3B (ELA3B) 抗体
Elastase 3B (ELA3B) (Elastase 3B, Pancreatic (ELA3B))

抗体类型

Recombinant Antibody

适用

  • 107
  • 23
  • 22
  • 1
  • 1
  • 1
  • 1
  • 1
  • 1

宿主

  • 76
  • 40

克隆类型

  • 87
  • 29
单克隆

标记

  • 45
  • 17
  • 8
  • 7
  • 7
  • 7
  • 7
  • 7
  • 7
  • 1
  • 1
  • 1
  • 1
This Elastase 3B antibody is un-conjugated

应用范围

  • 64
  • 59
  • 57
  • 37
  • 36
  • 35
  • 20
  • 8
  • 7
  • 4
  • 3
  • 2
Immunohistochemistry (IHC)

克隆位点

CELA3B-2809R
  • 抗原表位

    • 83
    • 9
    • 3
    • 2
    • 2
    • 2
    • 2
    • 1
    • 1
    • 1
    • 1
    • 1
    AA 82-238

    原理

    Recombinant CELA3B / ELA3B (Pancreatic Function Marker) Antibody

    特异性

    This MAb recognizes a protein of ~30 kDa, identified as CELA3B (Chymotrypsin like elastase family member 3B). Elastases form a subfamily of serine proteases that hydrolyze many proteins in addition to elastin. Humans have six elastase genes which encode the structurally similar proteins elastase 1, 2, 2A, 2B, 3A, and 3B. Unlike other elastases, elastase 3B has little elastolytic activity. Like most of the human elastases, elastase 3B is secreted from the pancreas as a zymogen and, like other serine proteases such as trypsin, chymotrypsin and kallikrein, it has a digestive function in the intestine. Elastase 3B preferentially cleaves proteins after alanine residues. Elastase 3B may also function in the intestinal transport and metabolism of cholesterol. Both elastase 3A and elastase 3B have been referred to as protease E and as elastase 1, and excretion of this protein in fecal material is frequently used as a measure of pancreatic function.

    纯化方法

    200ug/ml of Ab Purified from Bioreactor Concentrate by Protein A/G.

    免疫原

    Recombinant human CELA3B protein fragment (around aa 82-238) (exact sequence is proprietary)

    亚型

    IgG, kappa
  • 应用备注

    Positive Control: Panc-28 or PANC1 cells. Pancreas.

    Known Application: Immunohistochemistry (Formalin-fixed) (1-2 μg/mL for 30 minutes at RT)(Staining of formalin-fixed tissues requires boiling tissue sections in 10 mM Tris with 1 mM EDTA, pH 9.0, for 10-20 min followed by cooling at RT for 20 minutes) Optimal dilution for a specific application should be determined.

    限制

    仅限研究用
  • 浓度

    200 μg/mL

    缓冲液

    Prepared in 10 mM PBS with 0.05 % BSA & 0.05 % azide.

    储存液

    Sodium azide

    注意事项

    This product contains Sodium azide: a POISONOUS AND HAZARDOUS SUBSTANCE which should be handled by trained staff only.

    储存条件

    4 °C

    储存方法

    Antibody with azide - store at 2 to 8°C. Antibody without azide - store at -20 to -80°C. Antibody is stable for 24 months. Non-hazardous. No MSDS required.

    有效期

    24 months
  • 抗原

    Elastase 3B (ELA3B) (Elastase 3B, Pancreatic (ELA3B))

    别名

    CELA3B

    背景

    Chymotrypsin like elastase family member 3B (CELA3B), ELA3B, Elastase IIIB, Protease E

    Panc-28 or PANC1 cells. Pancreas.

    分子量

    17kDa

    基因ID

    23436, 728752

    UniProt

    P08861
You are here: