电话:
+86 (0512) 65829739
传真:
+86 (010) 6788 5057
电子邮件:
orders@antibodies-online.cn

Desmocollin 2 抗体 (Extracellular Domain)

The 小鼠 单克隆 anti-Desmocollin 2 antibody is suitable to detect Desmocollin 2 in samples from 人, 小鼠 和 大鼠. It has been validated for WB, IF 和 FACS.
产品编号 ABIN6939250
发货至: 中国
Contact our Customer Service for availability and price in your country. Contact Info

Our Local Distributor

中国
北京 101111
No. 88 KeChuang 6th Street
Beijing Economic Technological Development Area
Room 801-803
4A Biotech Co.,Ltd.
Tel +86 (0512) 65829739 传真 +86 (010) 6788 5057

Quick Overview for Desmocollin 2 抗体 (Extracellular Domain) (ABIN6939250)

抗原

See all Desmocollin 2 (DSC2) 抗体
Desmocollin 2 (DSC2)

适用

人, 小鼠, 大鼠

宿主

  • 22
  • 10
  • 2
小鼠

克隆类型

  • 24
  • 10
单克隆

标记

  • 27
  • 1
  • 1
  • 1
  • 1
  • 1
  • 1
  • 1
This Desmocollin 2 antibody is un-conjugated

应用范围

  • 20
  • 12
  • 10
  • 3
  • 2
  • 2
  • 1
  • 1
  • 1
  • 1
Western Blotting (WB), Immunofluorescence (IF), Flow Cytometry (FACS)

克隆位点

7G6
  • 抗原表位

    • 4
    • 3
    • 2
    • 2
    • 2
    • 1
    • 1
    • 1
    • 1
    • 1
    • 1
    • 1
    Extracellular Domain

    原理

    Desmocollin-2/3 Antibody

    特异性

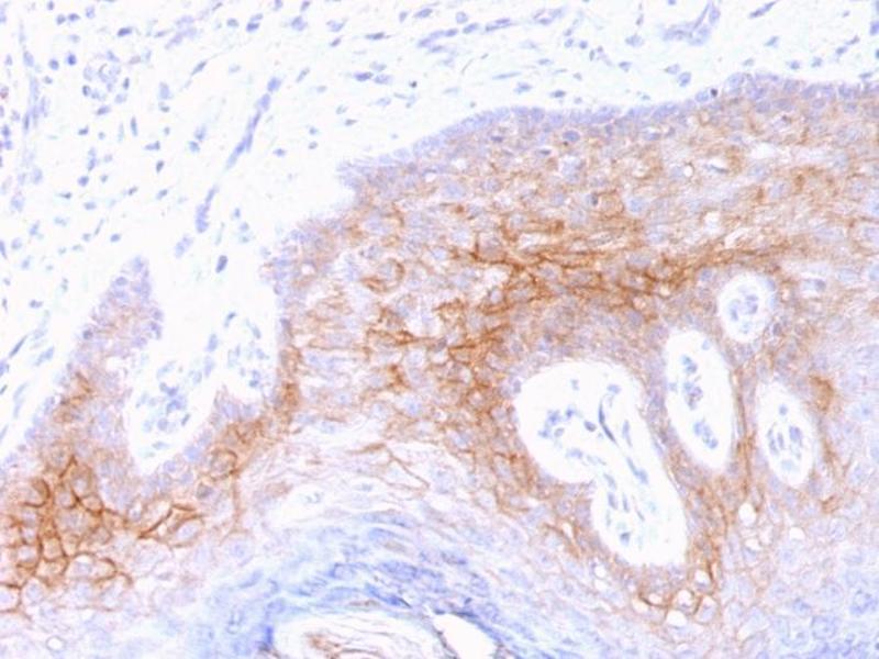
    Desmosomes are intercellular adhering junctions that represent cell surface attachment sites for intermediate filament. The desmosome is subdivided into two regions. The plaque region lies adjacent to the plasma, and is believed to contain molecules that attach the intermediate filament cytoskeleton to the desmosome. The core region is composed of transmembrane glycoproteins that are thought to mediate cell-cell adhesion. Desmogleins and desmocollins are the main desmosomal transmembrane proteins. These desmosomal glycoproteins belong to the members of the cadherin family of adhesion molecules. Three different isoforms of both desmogleins and desmocollins have been identified, named as desmoglein 1-3 and desmocollins. Desmosomal cadherins showed differentiation-specific expression in the human epidermis, although the functional significance of this differential expression is not fully understood. Desmocollin-1 can be found in the upper layers. The expression of desmocollin-2 varies in the basal and suprabasal layers. And desmocollin-3 is expressed more evenly throughout the suprabasal layers.

    纯化方法

    200ug/ml of Ab purified from Bioreactor Concentrate by Protein A/G.

    免疫原

    Human desmocollin-2 extracellular domain

    亚型

    IgG1, kappa
  • 应用备注

    Positive Control: HeLa cells. Skin tissue.

    Known Application: Flow Cytometry (0.5-1 μg/million cells), Immunofluorescence (1-2 μg/mL), Western Blot (0.5-1.0 μg/mL), Immunohistochemistry (Formalin-fixed) (1-2 μg/mL for 30 minutes at RT)(Staining of formalin-fixed tissues requires boiling tissue sections in 10 mM Tris with 1 mM EDTA, pH 9.0, for 10-20 min followed by cooling at RT for 20 minutes)Optimal dilution for a specific application should be determined.

    限制

    仅限研究用
  • 浓度

    200 μg/mL

    缓冲液

    Prepared in 10 mM PBS with 0.05 % BSA & 0.05 % azide.

    储存液

    Sodium azide

    注意事项

    This product contains Sodium azide: a POISONOUS AND HAZARDOUS SUBSTANCE which should be handled by trained staff only.

    储存条件

    4 °C

    储存方法

    Antibody with azide - store at 2 to 8 °C. Antibody without azide - store at -20 to -80 °C. Antibody is stable for 24 months. Non-hazardous. No MSDS required.

    有效期

    24 months
  • 抗原

    Desmocollin 2 (DSC2)

    别名

    DSC2

    背景

    ARVD11, Cadherin family member 2, CDHF2, Desmocollin-2, Desmocollin-3, Desmosomal glycoprotein II and III, Desmosomal glycoprotein II, Desmosomal glycoprotein III, DG2, DGII/III, DSC2, DSC3

    HeLa cells. Skin tissue.

    分子量

    110kDa (DSC2), 100kDa (DSC3)

    基因ID

    1824, 95612

    UniProt

    Q02487
You are here: