电话:
+86 (0512) 65829739
传真:
+86 (010) 6788 5057
电子邮件:
orders@antibodies-online.cn

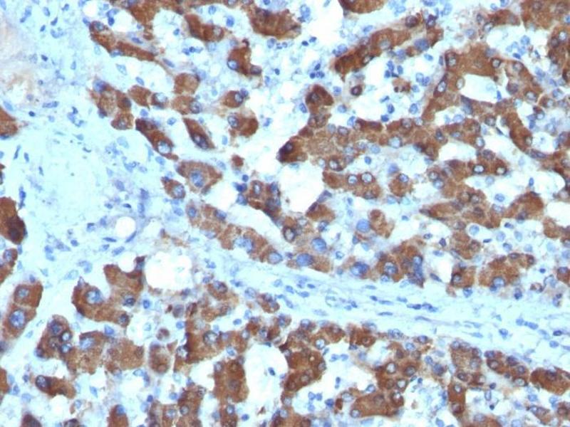
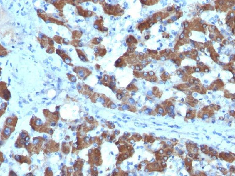
CPS1 抗体

This 小鼠 单克隆 antibody specifically detects CPS1 in IHC 和 IF. It exhibits reactivity toward 人 和 犬.
产品编号 ABIN6939176
发货至: 中国
Contact our Customer Service for availability and price in your country. Contact Info

Our Local Distributor

中国
北京 101111
No. 88 KeChuang 6th Street
Beijing Economic Technological Development Area
Room 801-803
4A Biotech Co.,Ltd.
Tel +86 (0512) 65829739 传真 +86 (010) 6788 5057

Quick Overview for CPS1 抗体 (ABIN6939176)

抗原

See all CPS1 抗体
CPS1 (Carbamoyl-Phosphate Synthase 1, Mitochondrial (CPS1))

适用

  • 93
  • 54
  • 39
  • 8
  • 4
  • 2
  • 2
  • 2
  • 1
  • 1
  • 1
人, 犬

宿主

  • 83
  • 25
小鼠

克隆类型

  • 61
  • 47
单克隆

标记

  • 53
  • 7
  • 4
  • 4
  • 4
  • 4
  • 4
  • 4
  • 4
  • 3
  • 2
  • 2
  • 1
  • 1
  • 1
  • 1
  • 1
  • 1
  • 1
  • 1
  • 1
  • 1
  • 1
  • 1
  • 1
This CPS1 antibody is un-conjugated

应用范围

  • 61
  • 58
  • 21
  • 17
  • 15
  • 14
  • 14
  • 9
  • 3
  • 3
  • 2
  • 1
Immunohistochemistry (IHC), Immunofluorescence (IF)

克隆位点

SPM615
  • 原理

    CPS1 / Carbamoyl-Phosphate Synthetase (Hepatocellular Marker) Antibody

    特异性

    This MAb recognizes a protein of 165 kDa, identified as carbamoyl phosphate synthetase 1 (CPS1). This mitochondrial enzyme catalyzes synthesis of carbamoyl phosphate from ammonia and bicarbonate. This reaction is the first committed step of the urea cycle, which is important in the removal of excess urea from cells.Deficiency of CPS1 is an autosomal recessive disorder that causes hyperammonemia. CPS1 is a hepatocyte specific protein that localizes to the mitochondria of hepatocytes. It is a sensitive marker for distinguishing hepatocellular carcinomas (HCC) from other metastatic carcinomas as well as cholangio-carcinomas. HCC's occur primarily in the stomach, but they are also found in many other organs. CPS1 may also be a useful marker for intestinal metaplasia. Reportedly, strong expression of CPS1 correlates with smaller tumor size and longer patient survival. Occasionally, CPS1 is also found in gastric carcinomas as well as in a few other non-hepatic tumors.

    纯化方法

    200ug/ml of Ab Purified from Bioreactor Concentrate by Protein A/G.

    免疫原

    Recombinant human CPS1 protein

    亚型

    IgG1, kappa
  • 应用备注

    Positive Control: HeLa cells. Liver or Hepatocellular Carcinoma (HCC).

    Known Application: Immunofluorescence (0.5-1.0 μg/mL), Immunohistochemistry (Formalin-fixed) (1-2 μg/mL for 30 minutes at RT)(Staining of formalin-fixed tissues requires boiling tissue sections in 1 mM EDTA, pH 7.5-8.5, for 10-20 min followed by cooling at RT for 20 minutes)Optimal dilution for a specific application should be determined.

    限制

    仅限研究用
  • 浓度

    200 μg/mL

    缓冲液

    Prepared in 10 mM PBS with 0.05 % BSA & 0.05 % azide.

    储存液

    Sodium azide

    注意事项

    This product contains Sodium azide: a POISONOUS AND HAZARDOUS SUBSTANCE which should be handled by trained staff only.

    储存条件

    4 °C

    储存方法

    Antibody with azide - store at 2 to 8°C. Antibody without azide - store at -20 to -80°C. Antibody is stable for 24 months. Non-hazardous. No MSDS required.

    有效期

    24 months
  • 抗原

    CPS1 (Carbamoyl-Phosphate Synthase 1, Mitochondrial (CPS1))

    别名

    CPS1

    背景

    Carbamoyl-phosphate synthetase 1 (CPS1), Carbamoylphosphate synthetase 1, CPSase 1, CPSASE1

    HeLa cells. Liver or Hepatocellular Carcinoma (HCC).

    分子量

    ~165kDa

    基因ID

    1373, 149252

    UniProt

    P31327

    途径

    Response to Growth Hormone Stimulus, Cellular Glucan Metabolic Process
You are here: