电话:
+86 (0512) 65829739
传真:
+86 (010) 6788 5057
电子邮件:
orders@antibodies-online.cn

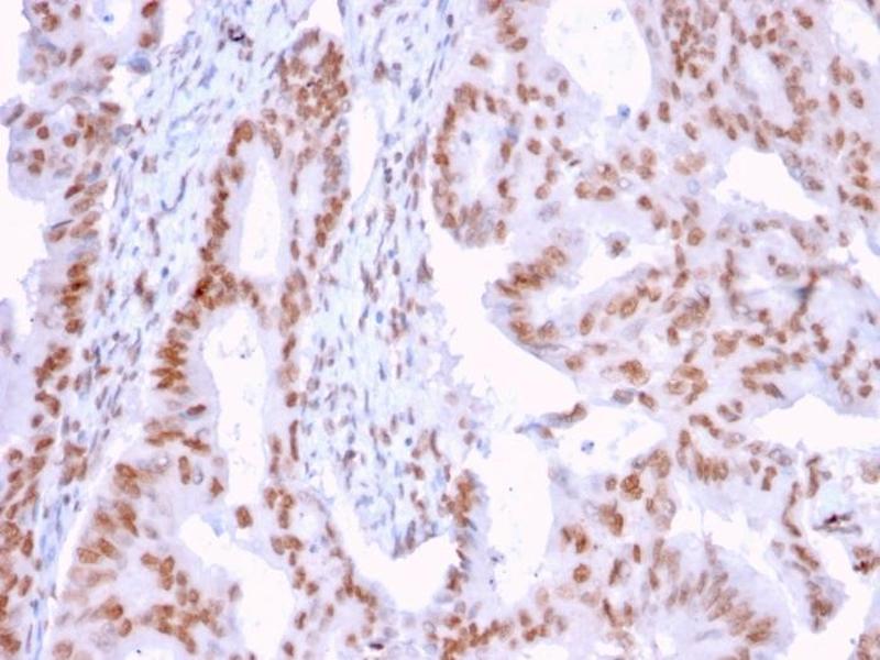
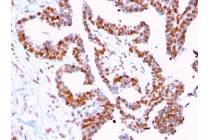
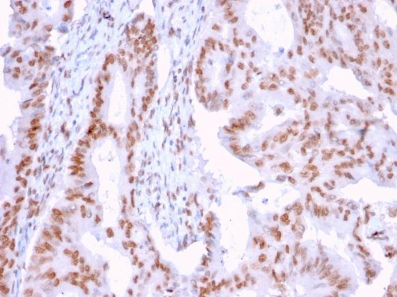
DMC1 抗体

This 小鼠 单克隆 antibody specifically detects DMC1 in WB, IHC, IF 和 StM. It exhibits reactivity toward 人, 小鼠, 大鼠 和 Cow.
产品编号 ABIN6939141
发货至: 中国
Contact our Customer Service for availability and price in your country. Contact Info

Our Local Distributor

中国
北京 101111
No. 88 KeChuang 6th Street
Beijing Economic Technological Development Area
Room 801-803
4A Biotech Co.,Ltd.
Tel +86 (0512) 65829739 传真 +86 (010) 6788 5057

Quick Overview for DMC1 抗体 (ABIN6939141)

抗原

See all DMC1 抗体
DMC1 (DNA Meiotic Recombinase 1 (DMC1))

适用

  • 66
  • 18
  • 14
  • 13
  • 2
  • 2
  • 2
  • 2
  • 1
  • 1
  • 1
  • 1
  • 1
  • 1
人, 小鼠, 大鼠, Cow

宿主

  • 49
  • 17
小鼠

克隆类型

  • 50
  • 16
单克隆

标记

  • 33
  • 5
  • 4
  • 3
  • 2
  • 1
  • 1
  • 1
  • 1
  • 1
  • 1
  • 1
  • 1
  • 1
  • 1
  • 1
  • 1
  • 1
  • 1
  • 1
  • 1
  • 1
  • 1
  • 1
This DMC1 antibody is un-conjugated

应用范围

  • 48
  • 29
  • 28
  • 13
  • 13
  • 13
  • 10
  • 9
  • 6
  • 3
  • 2
  • 2
  • 1
  • 1
Western Blotting (WB), Immunohistochemistry (IHC), Immunofluorescence (IF), Staining Methods (StM)

克隆位点

2H12-4
  • 纯化方法

    Purified by Protein A/G

    免疫原

    Recombinant full-length human DMC1 protein.

    亚型

    IgG2a kappa
  • 应用备注

    Positive Control: HeLa cells. Cervix or prostate.

    Known Application: Immunofluorescence (0.5-1 μg/mL), Western Blot (0.5-1.0 μg/mL), Immunohistochemistry (Formalin-fixed) (1-2 μg/mL for 30 minutes at RT)(Staining of formalin-fixed tissues requires boiling tissue sections in 10 mM citrate buffer, pH 6.0, for 10-20 min followed by cooling at RT for 20 minutes)Optimal dilution for a specific application should be determined.

    限制

    仅限研究用
  • 浓度

    200 μg/mL

    缓冲液

    10 mM PBS with 0.05 % BSA & 0.05 % azide.

    储存液

    Sodium azide

    注意事项

    This product contains Sodium azide: a POISONOUS AND HAZARDOUS SUBSTANCE which should be handled by trained staff only.

    储存条件

    4 °C,-80 °C

    储存方法

    Antibody with azide - store at 2 to 8°C. Antibody without azide - store at -20 to -80°C. Antibody is stable for 24 months. Non-hazardous. No MSDS required.

    有效期

    24 months
  • 抗原

    DMC1 (DNA Meiotic Recombinase 1 (DMC1))

    别名

    DMC1

    背景

    DNA repair proteins are necessary for the maintenance of chromosome integrity and are involved in the elimination of premutagenic lesions from DNA. The DNA repair proteins Rad51 and Rad52 are key components of the doublestrand-break repair (DSBR) pathway. Rad51 is essential for mitotic and meiotic recombination, and its mutation in yeast and mammalian cells results in chromosome loss. Overexpression of Rad52 confers resistance to ionizing radiation and induces homologous intrachromosomal recombination. Rad52 is thought to be involved in an early stage of Rad51-mediated recombination. Additional proteins involved in the pathway include Nibrin and Dmc1. Nibrin, which complexes with Mre11 and Rad50, is absent in Nijemegen breakage syndrome (NBS) patients. Dmc1 is specifically involved in meiotic recombination. An alternative spliced form of Dmc1, designated Dmc1-D, is deleted for a region between the two motifs involved in nucleotide binding. The alternatively spliced Dmc1-D transcript is detected in both male and female germ cells, indicating that the encoded protein may have a role in mammalian genetic recombination in meiosis.

    分子量

    37kDa

    基因ID

    11144

    UniProt

    Q14565
You are here: