电话:
+86 (0512) 65829739
传真:
+86 (010) 6788 5057
电子邮件:
orders@antibodies-online.cn

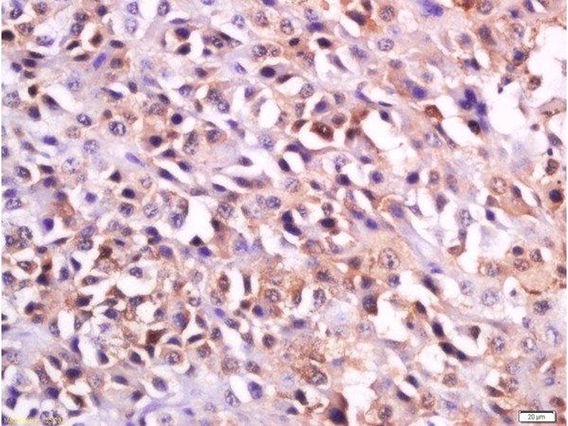
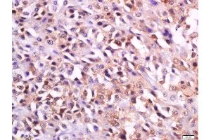
MC1 Receptor 抗体 (AA 271-317)

This 兔 多克隆 antibody specifically detects MC1 Receptor in WB, ELISA, IF (cc), IF (p), FACS, IHC (p) 和 IHC (fro). It exhibits reactivity toward 人 和 小鼠.It has been mentioned in 1 publication
产品编号 ABIN686287
发货至: 中国
Contact our Customer Service for availability and price in your country. Contact Info

Our Local Distributor

中国
北京 101111
No. 88 KeChuang 6th Street
Beijing Economic Technological Development Area
Room 801-803
4A Biotech Co.,Ltd.
Tel +86 (0512) 65829739 传真 +86 (010) 6788 5057

Quick Overview for MC1 Receptor 抗体 (AA 271-317) (ABIN686287)

抗原

See all MC1 Receptor (MC1R) 抗体
MC1 Receptor (MC1R) (Melanocortin 1 Receptor (MC1R))

适用

  • 78
  • 28
  • 11
  • 4
  • 3
  • 1
  • 1
人, 小鼠

宿主

  • 79
  • 11

克隆类型

  • 74
  • 16
多克隆

标记

  • 34
  • 8
  • 6
  • 5
  • 2
  • 2
  • 2
  • 2
  • 2
  • 2
  • 2
  • 2
  • 2
  • 2
  • 2
  • 2
  • 2
  • 2
  • 2
  • 2
  • 2
  • 1
  • 1
  • 1
This MC1 Receptor antibody is un-conjugated

应用范围

  • 66
  • 27
  • 25
  • 25
  • 17
  • 13
  • 11
  • 8
  • 7
  • 3
  • 2
  • 1
Western Blotting (WB), ELISA, Immunofluorescence (Cultured Cells) (IF (cc)), Immunofluorescence (Paraffin-embedded Sections) (IF (p)), Flow Cytometry (FACS), Immunohistochemistry (Paraffin-embedded Sections) (IHC (p)), Immunohistochemistry (Frozen Sections) (IHC (fro))
  • 抗原表位

    • 15
    • 15
    • 11
    • 5
    • 4
    • 2
    • 2
    • 2
    • 2
    • 2
    • 1
    • 1
    • 1
    • 1
    • 1
    • 1
    • 1
    • 1
    • 1
    AA 271-317

    交叉反应

    人, 小鼠

    预测反应

    Rat

    纯化方法

    Purified by Protein A.

    免疫原

    KLH conjugated synthetic peptide derived from mouse MC1R

    亚型

    IgG
  • 应用备注

    WB 1:300-5000
    ELISA 1:500-1000
    FCM 1:20-100
    IHC-P 1:200-400
    IHC-F 1:100-500
    IF(IHC-P) 1:50-200
    IF(IHC-F) 1:50-200
    IF(ICC) 1:50-200

    限制

    仅限研究用
  • 状态

    Liquid

    浓度

    1 μg/μL

    缓冲液

    0.01M TBS( pH 7.4) with 1 % BSA, 0.02 % Proclin300 and 50 % Glycerol.

    储存液

    ProClin

    注意事项

    This product contains ProClin: a POISONOUS AND HAZARDOUS SUBSTANCE, which should be handled by trained staff only.

    储存条件

    4 °C,-20 °C

    储存方法

    Shipped at 4°C. Store at -20°C for one year. Avoid repeated freeze/thaw cycles.

    有效期

    12 months
  • Schmitz, Botte, Sotto, Borba, Bonfa, de Mello: "Increased corticotropin-releasing hormone (CRH) expression in cutaneous lupus lesions." in: Lupus, Vol. 24, Issue 8, pp. 854-61, (2015) (PubMed).

  • 抗原

    MC1 Receptor (MC1R) (Melanocortin 1 Receptor (MC1R))

    别名

    MC-1R/MC1 Receptor

    背景

    Synonyms: Mshra, Melanocyte-stimulating hormone receptor, MSH-R, Melanocortin receptor 1, MC1-R, Mc1r

    Background: Receptor for MSH (alpha, beta and gamma) and ACTH. The activity of this receptor is mediated by G proteins which activate adenylate cyclase.

    基因ID

    17199

    UniProt

    Q01727

    途径

    cAMP Metabolic Process, Feeding Behaviour
You are here: