电话:
+86 (0512) 65829739
传真:
+86 (010) 6788 5057
电子邮件:
orders@antibodies-online.cn

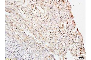
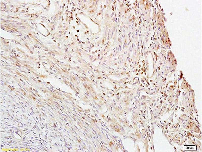
CTBP1 抗体 (AA 351-440)

This 兔 多克隆 antibody specifically detects CTBP1 in ELISA, IHC (p), IF (cc), IF (p) 和 IHC (fro). It exhibits reactivity toward 小鼠.
产品编号 ABIN686152
发货至: 中国
Contact our Customer Service for availability and price in your country. Contact Info

Our Local Distributor

中国
北京 101111
No. 88 KeChuang 6th Street
Beijing Economic Technological Development Area
Room 801-803
4A Biotech Co.,Ltd.
Tel +86 (0512) 65829739 传真 +86 (010) 6788 5057

Quick Overview for CTBP1 抗体 (AA 351-440) (ABIN686152)

抗原

See all CTBP1 抗体
CTBP1 (C-terminal Binding Protein 1 (CTBP1))

适用

  • 97
  • 64
  • 57
  • 17
  • 5
  • 5
  • 4
  • 3
  • 2
  • 2
  • 1
  • 1
  • 1
小鼠

宿主

  • 106
  • 7

克隆类型

  • 87
  • 26
多克隆

标记

  • 61
  • 7
  • 4
  • 3
  • 3
  • 3
  • 3
  • 3
  • 3
  • 3
  • 3
  • 3
  • 1
  • 1
  • 1
  • 1
  • 1
  • 1
  • 1
  • 1
  • 1
  • 1
  • 1
  • 1
  • 1
  • 1
This CTBP1 antibody is un-conjugated

应用范围

  • 75
  • 38
  • 36
  • 25
  • 24
  • 14
  • 13
  • 13
  • 11
  • 6
  • 5
  • 3
  • 2
  • 1
  • 1
ELISA, Immunohistochemistry (Paraffin-embedded Sections) (IHC (p)), Immunofluorescence (Cultured Cells) (IF (cc)), Immunofluorescence (Paraffin-embedded Sections) (IF (p)), Immunohistochemistry (Frozen Sections) (IHC (fro))
  • 抗原表位

    • 27
    • 14
    • 8
    • 8
    • 8
    • 3
    • 3
    • 2
    • 2
    • 2
    • 2
    • 2
    • 1
    • 1
    • 1
    • 1
    • 1
    • 1
    • 1
    • 1
    • 1
    • 1
    • 1
    • 1
    • 1
    • 1
    AA 351-440

    交叉反应

    小鼠

    预测反应

    Human,Rat,Cow,Chicken

    纯化方法

    Purified by Protein A.

    免疫原

    KLH conjugated synthetic peptide derived from human CTBP1

    亚型

    IgG
  • 应用备注

    ELISA 1:500-1000
    IHC-P 1:200-400
    IHC-F 1:100-500
    IF(IHC-P) 1:50-200
    IF(IHC-F) 1:50-200
    IF(ICC) 1:50-200

    限制

    仅限研究用
  • 状态

    Liquid

    浓度

    1 μg/μL

    缓冲液

    0.01M TBS( pH 7.4) with 1 % BSA, 0.02 % Proclin300 and 50 % Glycerol.

    储存液

    ProClin

    注意事项

    This product contains ProClin: a POISONOUS AND HAZARDOUS SUBSTANCE, which should be handled by trained staff only.

    储存条件

    4 °C,-20 °C

    储存方法

    Shipped at 4°C. Store at -20°C for one year. Avoid repeated freeze/thaw cycles.

    有效期

    12 months
  • 抗原

    CTBP1 (C-terminal Binding Protein 1 (CTBP1))

    别名

    CTBP1

    背景

    Synonyms: BARS, C-terminal-binding protein 1, CtBP1, CTBP

    Background: Corepressor targeting diverse transcription regulators such as GLIS2 or BCL6. Has dehydrogenase activity. Involved in controlling the equilibrium between tubular and stacked structures in the Golgi complex. Functions in brown adipose tissue (BAT) differentiation.

    基因ID

    1487

    UniProt

    Q13363

    途径

    Retinoic Acid Receptor Signaling Pathway
You are here: