电话:
+86 (0512) 65829739
传真:
+86 (010) 6788 5057
电子邮件:
orders@antibodies-online.cn

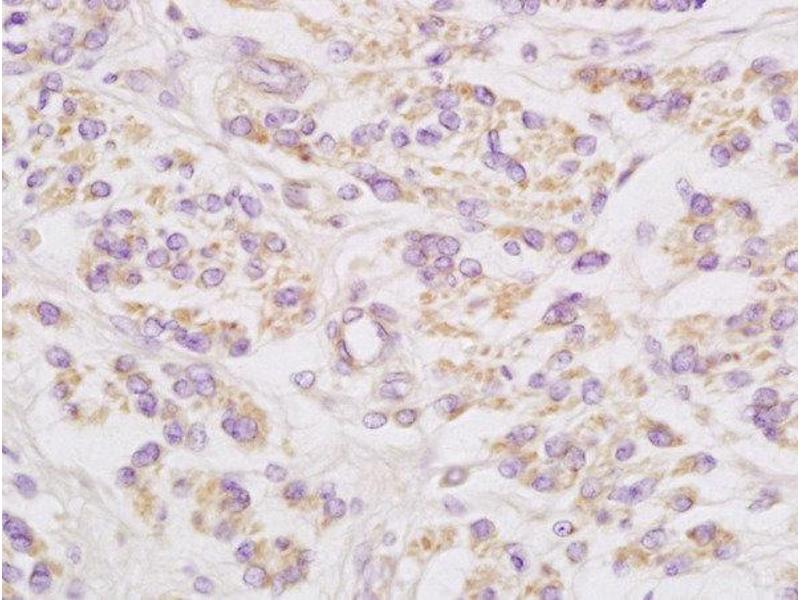
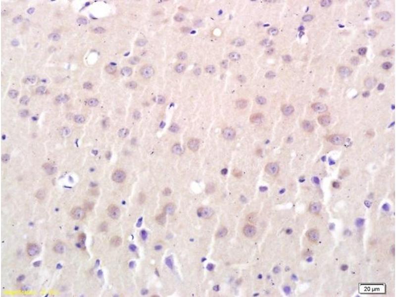
GJB1 抗体 (AA 201-283)

This 兔 多克隆 antibody specifically detects GJB1 in ELISA, IHC (fro), IHC (p), IF (cc) 和 IF (p). It exhibits reactivity toward 人 和 大鼠.
产品编号 ABIN685672
发货至: 中国
Contact our Customer Service for availability and price in your country. Contact Info

Our Local Distributor

中国
北京 101111
No. 88 KeChuang 6th Street
Beijing Economic Technological Development Area
Room 801-803
4A Biotech Co.,Ltd.
Tel +86 (0512) 65829739 传真 +86 (010) 6788 5057

Quick Overview for GJB1 抗体 (AA 201-283) (ABIN685672)

抗原

See all GJB1 抗体
GJB1 (Gap Junction Protein, beta 1, 32kDa (GJB1))

适用

  • 81
  • 73
  • 56
  • 6
  • 4
  • 3
  • 3
  • 3
  • 3
  • 2
  • 2
  • 1
人, 大鼠

宿主

  • 64
  • 25
  • 12

克隆类型

  • 53
  • 48
多克隆

标记

  • 45
  • 6
  • 3
  • 3
  • 3
  • 2
  • 2
  • 2
  • 2
  • 2
  • 2
  • 2
  • 2
  • 2
  • 2
  • 2
  • 2
  • 2
  • 2
  • 1
  • 1
  • 1
  • 1
  • 1
  • 1
  • 1
  • 1
  • 1
  • 1
  • 1
  • 1
  • 1
This GJB1 antibody is un-conjugated

应用范围

  • 62
  • 44
  • 33
  • 27
  • 24
  • 19
  • 12
  • 12
  • 7
  • 5
  • 2
  • 1
  • 1
  • 1
  • 1
ELISA, Immunohistochemistry (Frozen Sections) (IHC (fro)), Immunohistochemistry (Paraffin-embedded Sections) (IHC (p)), Immunofluorescence (Cultured Cells) (IF (cc)), Immunofluorescence (Paraffin-embedded Sections) (IF (p))
  • 抗原表位

    • 14
    • 7
    • 5
    • 5
    • 3
    • 3
    • 2
    • 1
    • 1
    • 1
    • 1
    • 1
    • 1
    • 1
    • 1
    • 1
    • 1
    • 1
    • 1
    • 1
    • 1
    AA 201-283

    交叉反应

    人, 大鼠

    预测反应

    Mouse,Dog,Cow,Pig,Horse,Rabbit,Guinea Pig

    纯化方法

    Purified by Protein A.

    免疫原

    KLH conjugated synthetic peptide derived from human Connexin-32

    亚型

    IgG
  • 应用备注

    ELISA 1:500-1000
    IHC-P 1:200-400
    IHC-F 1:100-500
    IF(IHC-P) 1:50-200
    IF(IHC-F) 1:50-200
    IF(ICC) 1:50-200

    限制

    仅限研究用
  • 状态

    Liquid

    浓度

    1 μg/μL

    缓冲液

    0.01M TBS( pH 7.4) with 1 % BSA, 0.02 % Proclin300 and 50 % Glycerol.

    储存液

    ProClin

    注意事项

    This product contains ProClin: a POISONOUS AND HAZARDOUS SUBSTANCE, which should be handled by trained staff only.

    储存条件

    4 °C,-20 °C

    储存方法

    Shipped at 4°C. Store at -20°C for one year. Avoid repeated freeze/thaw cycles.

    有效期

    12 months
  • 抗原

    GJB1 (Gap Junction Protein, beta 1, 32kDa (GJB1))

    别名

    Connexin-32

    背景

    Synonyms: CMTX, CX32, CMTX1, Gap junction beta-1 protein, Connexin-32, GAP junction 28 kDa liver protein, GJB1

    Background: One gap junction consists of a cluster of closely packed pairs of transmembrane channels, the connexons, through which materials of low MW diffuse from one cell to a neighboring cell.

    基因ID

    2705

    UniProt

    P08034

    途径

    Cell-Cell Junction Organization
You are here: