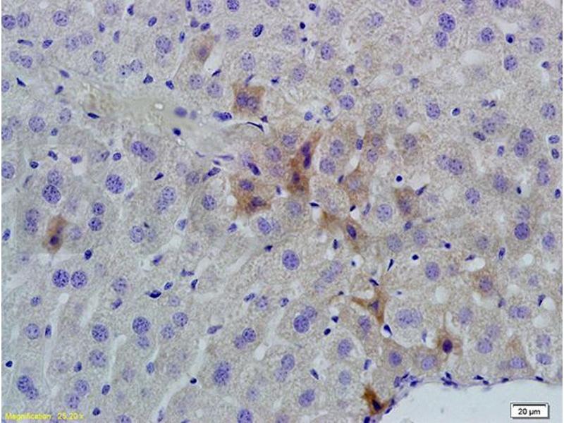
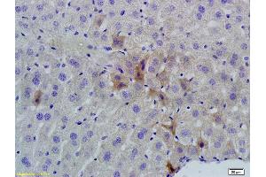
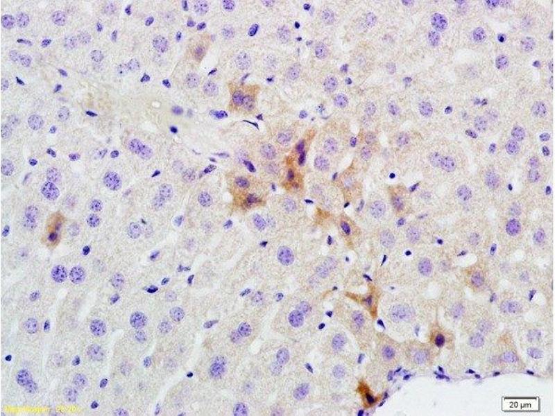
GCN2 抗体 (pThr667)
Our Local Distributor
北京 101111
Quick Overview for GCN2 抗体 (pThr667) (ABIN684958)
抗原
See all GCN2 (EIF2AK4) 抗体适用
宿主
克隆类型
标记
应用范围
-
-
抗原表位
- pThr667
-
特异性
- This phosphorylation site is homologous to Thr666 in Mouse and Thr667 in Rat.
-
交叉反应
- 小鼠, 大鼠
-
预测反应
- Human,Dog,Cow,Horse
-
纯化方法
- Purified by Protein A.
-
免疫原
- KLH conjugated synthetic phosphopeptide derived from human GCN2 around the phosphorylation site of Thr667
-
亚型
- IgG
-
-
-
-
应用备注
-
WB 1:300-5000
ELISA 1:500-1000
IHC-P 1:200-400
IHC-F 1:100-500
IF(IHC-P) 1:50-200
IF(IHC-F) 1:50-200
IF(ICC) 1:50-200 -
限制
- 仅限研究用
-
-
-
状态
- Liquid
-
浓度
- 1 μg/μL
-
缓冲液
- 0.01M TBS( pH 7.4) with 1 % BSA, 0.02 % Proclin300 and 50 % Glycerol.
-
储存液
- ProClin
-
注意事项
- This product contains ProClin: a POISONOUS AND HAZARDOUS SUBSTANCE, which should be handled by trained staff only.
-
储存条件
- 4 °C,-20 °C
-
储存方法
- Shipped at 4°C. Store at -20°C for one year. Avoid repeated freeze/thaw cycles.
-
有效期
- 12 months
-
-
- GCN2 (EIF2AK4) (Eukaryotic Translation Initiation Factor 2 alpha Kinase 4 (EIF2AK4))
-
别名
- GCN2
-
背景
-
Synonyms: GCN2, PVOD2, Eukaryotic translation initiation factor 2-alpha kinase 4, GCN2-like protein, EIF2AK4, KIAA1338
Background: GCN2 belongs to a family of kinases that phosphorylate the alpha subunit of eukaryotic translation initiation factor 2 to downregulate protein synthesis in response to varied cellular stresses.
-
基因ID
- 440275
-
UniProt
- Q9P2K8
-
途径
- ER-Nucleus Signaling, Hepatitis C
抗原
-