电话:
+86 (0512) 65829739
传真:
+86 (010) 6788 5057
电子邮件:
orders@antibodies-online.cn

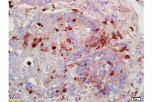
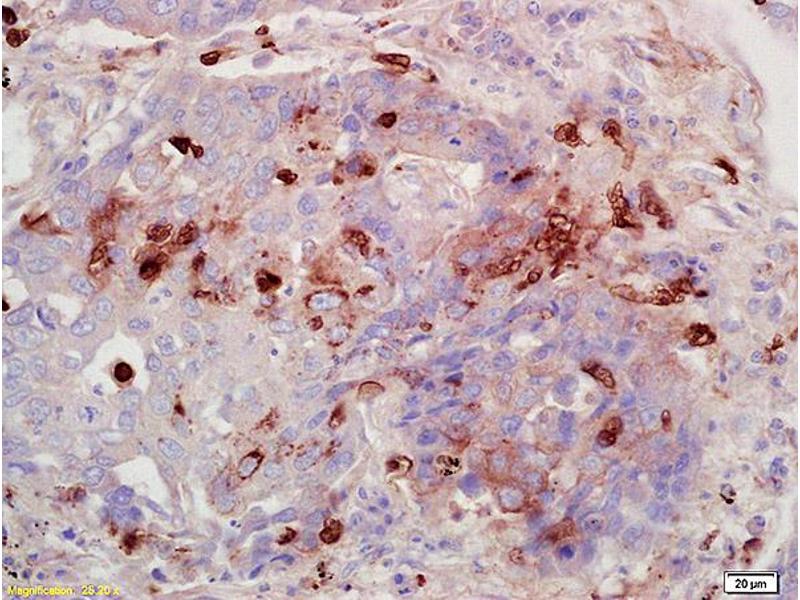
FUCA1 抗体 (AA 321-420)

This 兔 多克隆 antibody specifically detects FUCA1 in WB, ELISA, IF (cc), IF (p), IHC (p) 和 IHC (fro). It exhibits reactivity toward 小鼠.It has been mentioned in 1 publication
产品编号 ABIN682003
发货至: 中国
Contact our Customer Service for availability and price in your country. Contact Info

Our Local Distributor

中国
北京 101111
No. 88 KeChuang 6th Street
Beijing Economic Technological Development Area
Room 801-803
4A Biotech Co.,Ltd.
Tel +86 (0512) 65829739 传真 +86 (010) 6788 5057

Quick Overview for FUCA1 抗体 (AA 321-420) (ABIN682003)

抗原

See all FUCA1 抗体
FUCA1 (Fucosidase, alpha-L- 1, Tissue (FUCA1))

适用

  • 35
  • 32
  • 11
  • 7
  • 3
  • 3
  • 3
  • 2
  • 2
  • 1
  • 1
  • 1
小鼠

宿主

  • 56
  • 6
  • 1

克隆类型

  • 59
  • 4
多克隆

标记

  • 33
  • 5
  • 5
  • 3
  • 1
  • 1
  • 1
  • 1
  • 1
  • 1
  • 1
  • 1
  • 1
  • 1
  • 1
  • 1
  • 1
  • 1
  • 1
  • 1
  • 1
This FUCA1 antibody is un-conjugated

应用范围

  • 47
  • 19
  • 12
  • 12
  • 12
  • 9
  • 5
  • 4
  • 3
  • 3
  • 3
  • 2
  • 2
  • 2
  • 2
  • 2
Western Blotting (WB), ELISA, Immunofluorescence (Cultured Cells) (IF (cc)), Immunofluorescence (Paraffin-embedded Sections) (IF (p)), Immunohistochemistry (Paraffin-embedded Sections) (IHC (p)), Immunohistochemistry (Frozen Sections) (IHC (fro))
  • 抗原表位

    • 14
    • 6
    • 5
    • 3
    • 2
    • 2
    • 2
    • 2
    • 1
    • 1
    • 1
    • 1
    • 1
    • 1
    • 1
    • 1
    • 1
    AA 321-420

    交叉反应

    小鼠

    预测反应

    Human,Rat,Dog,Cow,Pig,Horse

    纯化方法

    Purified by Protein A.

    免疫原

    KLH conjugated synthetic peptide derived from human FUCA1

    亚型

    IgG
  • 应用备注

    WB 1:300-5000
    ELISA 1:500-1000
    IHC-P 1:200-400
    IHC-F 1:100-500
    IF(IHC-P) 1:50-200
    IF(IHC-F) 1:50-200
    IF(ICC) 1:50-200

    限制

    仅限研究用
  • 状态

    Liquid

    浓度

    1 μg/μL

    缓冲液

    0.01M TBS( pH 7.4) with 1 % BSA, 0.02 % Proclin300 and 50 % Glycerol.

    储存液

    ProClin

    注意事项

    This product contains ProClin: a POISONOUS AND HAZARDOUS SUBSTANCE, which should be handled by trained staff only.

    储存条件

    4 °C,-20 °C

    储存方法

    Shipped at 4°C. Store at -20°C for one year. Avoid repeated freeze/thaw cycles.

    有效期

    12 months
  • Gustafson, Shepherd, Miller, Jayachandran: "Age- and sex-specific differences in blood-borne microvesicles from apparently healthy humans." in: Biology of sex differences, Vol. 6, pp. 10, (2015) (PubMed).

  • 抗原

    FUCA1 (Fucosidase, alpha-L- 1, Tissue (FUCA1))

    别名

    FUCA1

    背景

    Synonyms: FUCA, Tissue alpha-L-fucosidase, Alpha-L-fucosidase I, Alpha-L-fucoside fucohydrolase 1, Alpha-L-fucosidase 1, FUCA1, Nbla10230

    Background: Alpha-L-fucosidase is responsible for hydrolyzing the alpha-1,6-linked fucose joined to the reducing-end N-acetylglucosamine of the carbohydrate moieties of glycoproteins.

    基因ID

    2517

    UniProt

    P04066

    途径

    Glycosaminoglycan Metabolic Process
You are here: