电话:
+86 (0512) 65829739
传真:
+86 (010) 6788 5057
电子邮件:
orders@antibodies-online.cn

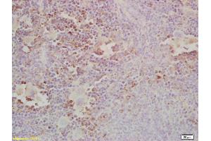
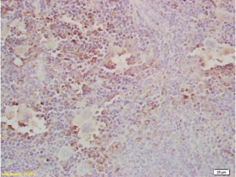
GAB2 抗体 (AA 601-676)

This 兔 多克隆 antibody specifically detects GAB2 in WB, ELISA, IF (cc), IF (p), IHC (p), FACS 和 IHC (fro). It exhibits reactivity toward 人, 小鼠 和 大鼠. It has been mentioned in 3+ publications
产品编号 ABIN681178
发货至: 中国
Contact our Customer Service for availability and price in your country. Contact Info

Our Local Distributor

中国
北京 101111
No. 88 KeChuang 6th Street
Beijing Economic Technological Development Area
Room 801-803
4A Biotech Co.,Ltd.
Tel +86 (0512) 65829739 传真 +86 (010) 6788 5057

Quick Overview for GAB2 抗体 (AA 601-676) (ABIN681178)

抗原

See all GAB2 抗体
GAB2 (GRB2-Associated Binding Protein 2 (GAB2))

适用

  • 116
  • 81
  • 76
  • 3
  • 3
  • 3
  • 1
人, 小鼠, 大鼠

宿主

  • 114
  • 2
  • 1

克隆类型

  • 115
  • 2
多克隆

标记

  • 40
  • 7
  • 5
  • 4
  • 4
  • 4
  • 4
  • 4
  • 4
  • 4
  • 3
  • 3
  • 3
  • 3
  • 3
  • 3
  • 3
  • 3
  • 3
  • 3
  • 3
  • 1
  • 1
  • 1
  • 1
This GAB2 antibody is un-conjugated

应用范围

  • 85
  • 38
  • 38
  • 38
  • 20
  • 17
  • 13
  • 8
  • 2
  • 1
  • 1
  • 1
Western Blotting (WB), ELISA, Immunofluorescence (Cultured Cells) (IF (cc)), Immunofluorescence (Paraffin-embedded Sections) (IF (p)), Immunohistochemistry (Paraffin-embedded Sections) (IHC (p)), Flow Cytometry (FACS), Immunohistochemistry (Frozen Sections) (IHC (fro))
  • 抗原表位

    • 24
    • 22
    • 15
    • 12
    • 11
    • 6
    • 3
    • 3
    • 3
    • 2
    • 2
    • 2
    • 1
    • 1
    • 1
    • 1
    • 1
    • 1
    • 1
    • 1
    • 1
    • 1
    AA 601-676

    交叉反应

    人, 小鼠, 大鼠

    预测反应

    Dog,Cow,Pig,Horse,Rabbit

    纯化方法

    Purified by Protein A.

    免疫原

    KLH conjugated synthetic peptide derived from human Gab2

    亚型

    IgG
  • 应用备注

    WB 1:300-5000
    ELISA 1:500-1000
    FCM 1:20-100
    IHC-P 1:200-400
    IHC-F 1:100-500
    IF(IHC-P) 1:50-200
    IF(IHC-F) 1:50-200
    IF(ICC) 1:50-200

    限制

    仅限研究用
  • 状态

    Liquid

    浓度

    1 μg/μL

    缓冲液

    0.01M TBS( pH 7.4) with 1 % BSA, 0.02 % Proclin300 and 50 % Glycerol.

    储存液

    ProClin

    注意事项

    This product contains ProClin: a POISONOUS AND HAZARDOUS SUBSTANCE, which should be handled by trained staff only.

    储存条件

    4 °C,-20 °C

    储存方法

    Shipped at 4°C. Store at -20°C for one year. Avoid repeated freeze/thaw cycles.

    有效期

    12 months
  • Hu, Liao, Xu, Ruan, Gao: "K48-Linked Ubiquitination Contributes to Nicotine-Augmented Bone Marrow-Derived Dendritic-Cell-Mediated Adaptive Immunity." in: Vaccines, Vol. 9, Issue 3, (2021) (PubMed).

    You, Xu, Zhang, Chen, Gao: "PYR-41 and Thalidomide Impair Dendritic Cell Cross-Presentation by Inhibiting Myddosome Formation and Attenuating the Endosomal Recruitments of p97 and Sec61 via NF-κB Inactivation." in: Journal of immunology research, Vol. 2018, pp. 5070573, (2018) (PubMed).

    Zhan, Xu, Chen, Wang, Yanfeng, Dan, Zhan, Shi: "Decreased expression of Gab2 in patients with temporal lobe epilepsy and pilocarpine-induced rat model." in: Synapse (New York, N.Y.), Vol. 68, Issue 4, pp. 168-77, (2014) (PubMed).

  • 抗原

    GAB2 (GRB2-Associated Binding Protein 2 (GAB2))

    别名

    Gab2

    背景

    Synonyms: GRB2-associated-binding protein 2, GRB2-associated binder 2, Growth factor receptor bound protein 2-associated protein 2, pp1, GAB2, KIAA571

    Background: Adapter protein which acts downstream of several membrane receptors including cytokine, antigen, hormone, cell matrix and growth factor receptors to regulate multiple signaling pathways. Regulates osteoclast differentiation mediating the TNFRSF11A/RANK signaling. In allergic response, it plays a role in mast cells activation and degranulation through PI-3-kinase regulation. Also involved in the regulation of cell proliferation and hematopoiesis.

    基因ID

    9846

    UniProt

    Q9UQC2

    途径

    TCR Signaling, Fc-epsilon Receptor Signaling Pathway, Regulation of Leukocyte Mediated Immunity, Positive Regulation of Immune Effector Process, BCR Signaling, Warburg Effect
You are here: