电话:
+86 (0512) 65829739
传真:
+86 (010) 6788 5057
电子邮件:
orders@antibodies-online.cn

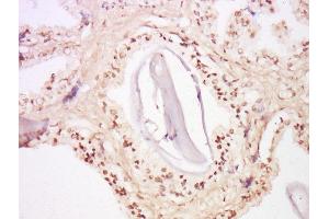
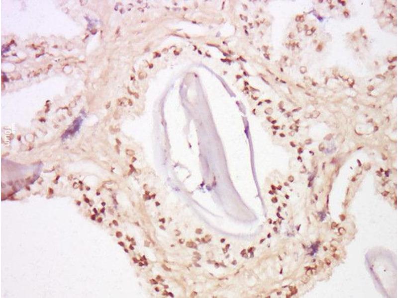
FOXA2 抗体 (AA 201-300)

There are 2+ publications for this product available. The 兔 多克隆 anti-FOXA2 antibody is suitable to detect FOXA2 in samples from 人 和 小鼠. It has been validated for WB, ELISA, FACS, IHC (p), IF (cc), IF (p) 和 IHC (fro).
产品编号 ABIN679898
发货至: 中国
Contact our Customer Service for availability and price in your country. Contact Info

Our Local Distributor

中国
北京 101111
No. 88 KeChuang 6th Street
Beijing Economic Technological Development Area
Room 801-803
4A Biotech Co.,Ltd.
Tel +86 (0512) 65829739 传真 +86 (010) 6788 5057

Quick Overview for FOXA2 抗体 (AA 201-300) (ABIN679898)

抗原

See all FOXA2 抗体
FOXA2 (Forkhead Box A2 (FOXA2))

适用

  • 102
  • 28
  • 17
  • 6
  • 6
  • 5
  • 4
  • 4
  • 3
  • 3
  • 1
  • 1
人, 小鼠

宿主

  • 90
  • 14
  • 2

克隆类型

  • 72
  • 34
多克隆

标记

  • 55
  • 6
  • 4
  • 4
  • 3
  • 3
  • 3
  • 3
  • 3
  • 3
  • 3
  • 3
  • 1
  • 1
  • 1
  • 1
  • 1
  • 1
  • 1
  • 1
  • 1
  • 1
  • 1
  • 1
  • 1
This FOXA2 antibody is un-conjugated

应用范围

  • 91
  • 39
  • 35
  • 32
  • 20
  • 19
  • 13
  • 12
  • 11
  • 7
  • 3
  • 2
  • 2
  • 1
  • 1
  • 1
Western Blotting (WB), ELISA, Flow Cytometry (FACS), Immunohistochemistry (Paraffin-embedded Sections) (IHC (p)), Immunofluorescence (Cultured Cells) (IF (cc)), Immunofluorescence (Paraffin-embedded Sections) (IF (p)), Immunohistochemistry (Frozen Sections) (IHC (fro))
  • 抗原表位

    • 15
    • 10
    • 9
    • 8
    • 8
    • 3
    • 2
    • 2
    • 2
    • 2
    • 1
    • 1
    • 1
    • 1
    • 1
    • 1
    • 1
    • 1
    • 1
    • 1
    • 1
    • 1
    • 1
    • 1
    • 1
    AA 201-300

    交叉反应

    人, 小鼠

    预测反应

    Rat,Cow,Pig,Horse,Chicken

    纯化方法

    Purified by Protein A.

    免疫原

    KLH conjugated synthetic peptide derived from human HNF 3 beta

    亚型

    IgG
  • 应用备注

    WB 1:300-5000
    ELISA 1:500-1000
    FCM 1:20-100
    IHC-P 1:200-400
    IHC-F 1:100-500
    IF(IHC-P) 1:50-200
    IF(IHC-F) 1:50-200
    IF(ICC) 1:50-200

    限制

    仅限研究用
  • 状态

    Liquid

    浓度

    1 μg/μL

    缓冲液

    0.01M TBS( pH 7.4) with 1 % BSA, 0.02 % Proclin300 and 50 % Glycerol.

    储存液

    ProClin

    注意事项

    This product contains ProClin: a POISONOUS AND HAZARDOUS SUBSTANCE, which should be handled by trained staff only.

    储存条件

    4 °C,-20 °C

    储存方法

    Shipped at 4°C. Store at -20°C for one year. Avoid repeated freeze/thaw cycles.

    有效期

    12 months
  • Yamamizu, Schlessinger, Ko: "SOX9 accelerates ESC differentiation to three germ layer lineages by repressing SOX2 expression through P21 (WAF1/CIP1)." in: Development (Cambridge, England), Vol. 141, Issue 22, pp. 4254-66, (2014) (PubMed).

    Yamamizu, Fujihara, Tachibana, Katayama, Takahashi, Hara, Imai, Shinkai, Yamashita: "Protein kinase A determines timing of early differentiation through epigenetic regulation with G9a." in: Cell stem cell, Vol. 10, Issue 6, pp. 759-70, (2012) (PubMed).

  • 抗原

    FOXA2 (Forkhead Box A2 (FOXA2))

    别名

    FOXA2/HNF 3beta

    背景

    Synonyms: HNF3B, TCF3B, Hepatocyte nuclear factor 3-beta, HNF-3-beta, HNF-3B, Forkhead box protein A2, Transcription factor 3B, TCF-3B, FOXA2

    Background: Transcription factor that is involved in embryonic development, establishment of tissue-specific gene expression and regulation of gene expression in differentiated tissues. Is thought to act as a 'pioneer' factor opening the compacted chromatin for other proteins through interactions with nucleosomal core histones and thereby replacing linker histones at target enhancer and/or promoter sites. Binds DNA with the consensus sequence 5'-[AC]A[AT]T[AG]TT[GT][AG][CT]T[CT]-3' (By similarity). In embryonic development is required for notochord formation. Involved in the development of multiple endoderm-derived organ systems such as the liver, pancreas and lungs, FOXA1 and FOXA2 seem to have at least in part redundant roles. Originally described as a transcription activator for a number of liver genes such as AFP, albumin, tyrosine aminotransferase, PEPCK, etc. Interacts with the cis-acting regulatory regions of these genes. Involved in glucose homeostasis, regulates the expression of genes important for glucose sensing in pancreatic beta-cells and glucose homeostasis. Involved in regulation of fat metabolism. Binds to fibrinogen beta promoter and is involved in IL6-induced fibrinogen beta transcriptional activation.

    基因ID

    3170

    UniProt

    Q9Y261

    途径

    Dopaminergic Neurogenesis, Regulation of Carbohydrate Metabolic Process
You are here: