电话:
+86 (0512) 65829739
传真:
+86 (010) 6788 5057
电子邮件:
orders@antibodies-online.cn

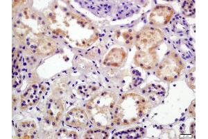
PKD1 抗体 (AA 131-230)

There are 4+ publications for this product available. The 兔 多克隆 anti-PKD1 antibody is suitable to detect PKD1 in samples from 人 和 小鼠. It has been validated for ELISA, WB, FACS, IF (cc), IF (p), ICC, IHC (p) 和 IHC (fro).
产品编号 ABIN678083
发货至: 中国
Contact our Customer Service for availability and price in your country. Contact Info

Our Local Distributor

中国
北京 101111
No. 88 KeChuang 6th Street
Beijing Economic Technological Development Area
Room 801-803
4A Biotech Co.,Ltd.
Tel +86 (0512) 65829739 传真 +86 (010) 6788 5057

Quick Overview for PKD1 抗体 (AA 131-230) (ABIN678083)

抗原

See all PKD1 抗体
PKD1 (Polycystic Kidney Disease 1 (Autosomal Dominant) (PKD1))

适用

  • 39
  • 26
  • 8
人, 小鼠

宿主

  • 40
  • 1

克隆类型

  • 40
  • 1
多克隆

标记

  • 16
  • 3
  • 2
  • 2
  • 1
  • 1
  • 1
  • 1
  • 1
  • 1
  • 1
  • 1
  • 1
  • 1
  • 1
  • 1
  • 1
  • 1
  • 1
  • 1
  • 1
  • 1
This PKD1 antibody is un-conjugated

应用范围

  • 29
  • 14
  • 14
  • 12
  • 12
  • 10
  • 4
  • 4
  • 3
  • 3
  • 2
ELISA, Western Blotting (WB), Flow Cytometry (FACS), Immunofluorescence (Cultured Cells) (IF (cc)), Immunofluorescence (Paraffin-embedded Sections) (IF (p)), Immunocytochemistry (ICC), Immunohistochemistry (Paraffin-embedded Sections) (IHC (p)), Immunohistochemistry (Frozen Sections) (IHC (fro))
  • 抗原表位

    • 15
    • 9
    • 4
    • 2
    • 2
    • 2
    • 1
    • 1
    • 1
    • 1
    • 1
    • 1
    AA 131-230

    交叉反应

    人, 小鼠

    纯化方法

    Purified by Protein A.

    免疫原

    KLH conjugated synthetic peptide derived from human Polycystin 1

    亚型

    IgG
  • 应用备注

    WB 1:300-5000
    ELISA 1:500-1000
    FCM 1:20-100
    IHC-P 1:200-400
    IHC-F 1:100-500
    IF(IHC-P) 1:50-200
    IF(IHC-F) 1:50-200
    IF(ICC) 1:50-200
    ICC 1:100-500

    限制

    仅限研究用
  • 状态

    Liquid

    浓度

    1 μg/μL

    缓冲液

    0.01M TBS( pH 7.4) with 1 % BSA, 0.02 % Proclin300 and 50 % Glycerol.

    储存液

    ProClin

    注意事项

    This product contains ProClin: a POISONOUS AND HAZARDOUS SUBSTANCE, which should be handled by trained staff only.

    储存条件

    4 °C,-20 °C

    储存方法

    Shipped at 4°C. Store at -20°C for one year. Avoid repeated freeze/thaw cycles.

    有效期

    12 months
  • Ren, Xia, Yang, Zhu, Zhang, Chen, Zhao, Sun, Zhao: "Down-regulation of polycystin in lymphatic malformations: possible role in the proliferation of lymphatic endothelial cells." in: Human pathology, Vol. 65, pp. 231-238, (2017) (PubMed).

    Kito, Saigo, Takeuchi: "Novel Transgenic Mouse Model of Polycystic Kidney Disease." in: The American journal of pathology, Vol. 187, Issue 9, pp. 1916-1922, (2017) (PubMed).

    Ohata, Herranz-Pérez, Nakatani, Boletta, García-Verdugo, Álvarez-Buylla: "Mechanosensory Genes Pkd1 and Pkd2 Contribute to the Planar Polarization of Brain Ventricular Epithelium." in: The Journal of neuroscience : the official journal of the Society for Neuroscience, Vol. 35, Issue 31, pp. 11153-68, (2015) (PubMed).

    Chiou, Sang, Cheng, Ho, Wang, Pan: "Peracetylated (-)-epigallocatechin-3-gallate (AcEGCG) potently prevents skin carcinogenesis by suppressing the PKD1-dependent signaling pathway in CD34+ skin stem cells and skin tumors." in: Carcinogenesis, Vol. 34, Issue 6, pp. 1315-22, (2013) (PubMed).

  • 抗原

    PKD1 (Polycystic Kidney Disease 1 (Autosomal Dominant) (PKD1))

    别名

    Polycystin 1

    背景

    Synonyms: PBP, Pc-1, TRPP1, Polycystin-1, Autosomal dominant polycystic kidney disease 1 protein, PKD1

    Background: Involved in renal tubulogenesis. Involved in fluid-flow mechanosensation by the primary cilium in renal epithelium. Acts as a regulator of cilium length, together with PKD2. The dynamic control of cilium length is essential in the regulation of mechanotransductive signaling. The cilium length response creates a negative feedback loop whereby fluid shear-mediated deflection of the primary cilium, which decreases intracellular cAMP, leads to cilium shortening and thus decreases flow-induced signaling (By similarity). May be an ion-channel regulator. Involved in adhesive protein-protein and protein-carbohydrate interactions.

    基因ID

    5310

    UniProt

    P98161

    途径

    Myometrial Relaxation and Contraction, Maintenance of Protein Location
You are here: