电话:
+86 (0512) 65829739
传真:
+86 (010) 6788 5057
电子邮件:
orders@antibodies-online.cn

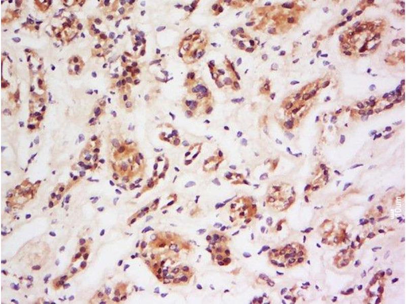
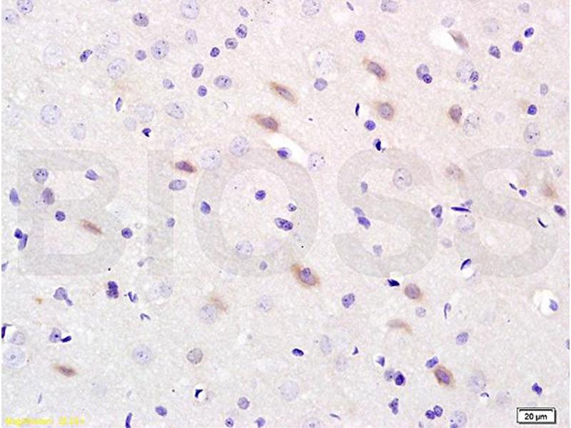
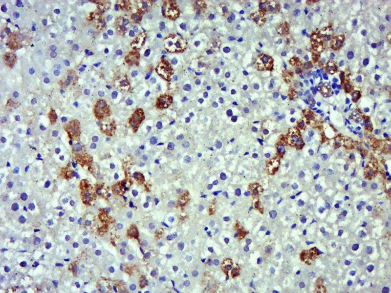
NOS2 抗体 (AA 14-100)

There are 10+ publications for this product available. The 兔 多克隆 anti-NOS2 antibody is suitable to detect NOS2 in samples from 人, 小鼠, 大鼠 和 小鸡. It has been validated for WB, ELISA, FACS, IHC (p), IF (p), IF (cc) 和 IHC (fro).
产品编号 ABIN677228
发货至: 中国
Contact our Customer Service for availability and price in your country. Contact Info

Our Local Distributor

中国
北京 101111
No. 88 KeChuang 6th Street
Beijing Economic Technological Development Area
Room 801-803
4A Biotech Co.,Ltd.
Tel +86 (0512) 65829739 传真 +86 (010) 6788 5057

Quick Overview for NOS2 抗体 (AA 14-100) (ABIN677228)

抗原

See all NOS2 抗体
NOS2 (Nitric Oxide Synthase 2, Inducible (NOS2))

适用

  • 127
  • 81
  • 66
  • 16
  • 2
  • 1
人, 小鼠, 大鼠, 小鸡

宿主

  • 133
  • 20
  • 2

克隆类型

  • 117
  • 38
多克隆

标记

  • 76
  • 16
  • 8
  • 6
  • 5
  • 2
  • 2
  • 2
  • 2
  • 2
  • 2
  • 2
  • 2
  • 2
  • 2
  • 2
  • 2
  • 2
  • 2
  • 2
  • 2
  • 2
  • 2
  • 2
  • 2
  • 1
  • 1
  • 1
  • 1
This NOS2 antibody is un-conjugated

应用范围

  • 118
  • 42
  • 39
  • 34
  • 34
  • 32
  • 26
  • 25
  • 23
  • 17
  • 5
  • 4
  • 2
  • 1
Western Blotting (WB), ELISA, Flow Cytometry (FACS), Immunohistochemistry (Paraffin-embedded Sections) (IHC (p)), Immunofluorescence (Paraffin-embedded Sections) (IF (p)), Immunofluorescence (Cultured Cells) (IF (cc)), Immunohistochemistry (Frozen Sections) (IHC (fro))
  • 抗原表位

    • 16
    • 15
    • 14
    • 8
    • 7
    • 7
    • 4
    • 4
    • 4
    • 4
    • 3
    • 3
    • 3
    • 3
    • 2
    • 2
    • 2
    • 2
    • 2
    • 2
    • 1
    • 1
    • 1
    • 1
    • 1
    • 1
    • 1
    • 1
    • 1
    • 1
    • 1
    • 1
    • 1
    • 1
    • 1
    • 1
    • 1
    • 1
    AA 14-100

    交叉反应

    小鸡, 人, 小鼠, 大鼠

    预测反应

    Dog,Pig,Rabbit,Guinea Pig

    纯化方法

    Purified by Protein A.

    免疫原

    KLH conjugated synthetic peptide derived from mouse NOS-2

    亚型

    IgG
  • 应用备注

    WB 1:300-5000
    ELISA 1:500-1000
    FCM 1:20-100
    IHC-P 1:200-400
    IHC-F 1:100-500
    IF(IHC-P) 1:50-200
    IF(IHC-F) 1:50-200
    IF(ICC) 1:50-200

    限制

    仅限研究用
  • 状态

    Liquid

    浓度

    1 μg/μL

    缓冲液

    0.01M TBS( pH 7.4) with 1 % BSA, 0.02 % Proclin300 and 50 % Glycerol.

    储存液

    ProClin

    注意事项

    This product contains ProClin: a POISONOUS AND HAZARDOUS SUBSTANCE, which should be handled by trained staff only.

    储存条件

    4 °C,-20 °C

    储存方法

    Shipped at 4°C. Store at -20°C for one year. Avoid repeated freeze/thaw cycles.

    有效期

    12 months
  • Liu, Li, Yang, Niu, Zhao, Zhao, Wang: "Valproic acid attenuates inflammation of optic nerve and apoptosis of retinal ganglion cells in a rat model of optic neuritis." in: Biomedicine & pharmacotherapy, Vol. 96, pp. 1363-1370, (2018) (PubMed).

    Zhao, Jiang, Wang, Geng, Wang, Han, Wang: "The Roles of Reactive Oxygen Species and Nitric Oxide in Perfluorooctanoic Acid-Induced Developmental Cardiotoxicity and l-Carnitine Mediated Protection." in: International journal of molecular sciences, Vol. 18, Issue 6, (2017) (PubMed).

    Sun, Yang, Zhang, Zhao: "Esculentoside A ameliorates cecal ligation and puncture-induced acute kidney injury in rats." in: Experimental animals, (2017) (PubMed).

    Xiong, Wang, Chu, Chen, Guo: "Salvianolic Acid B Restored Impaired Barrier Function via Downregulation of MLCK by microRNA-1 in Rat Colitis Model." in: Frontiers in pharmacology, Vol. 7, pp. 134, (2016) (PubMed).

    Bai, Zhang, Li, Liu, Lou, Ma, Luo, Ren: "Somatostatin prevents lipopolysaccharide?induced neurodegeneration in the rat substantia nigra by inhibiting the activation of microglia." in: Molecular medicine reports, Vol. 12, Issue 1, pp. 1002-8, (2015) (PubMed).

    Sun, Zhang, Guan, Zhou, Sun: "Alpha-lipoic acid attenuates trinitrobenzene sulfonic acid-induced ulcerative colitis in mice." in: International journal of clinical and experimental medicine, Vol. 8, Issue 1, pp. 358-67, (2015) (PubMed).

    Wang, Fang, Hu, Li, Hong: "Seawater immersion aggravates sciatic nerve injury in rats." in: Experimental and therapeutic medicine, Vol. 9, Issue 4, pp. 1153-1160, (2015) (PubMed).

    Pei, Wang et al.: "Propofol attenuates LPS-induced tumor necrosis factor-?, interleukin-6 and nitric oxide expression in canine peripheral blood mononuclear cells possibly through down-regulation of nuclear factor ..." in: The Journal of veterinary medical science / the Japanese Society of Veterinary Science, (2014) (PubMed).

    Karadeniz, Cavuso?lu, Turkmen, Uyan?kgil, Karadeniz, Akdemir, Tuglu, Ates, Erbas: "Experimental comparison of protective characteristics of enalapril and trimetazidine in diabetic nephropathy." in: Renal failure, Vol. 36, Issue 8, pp. 1283-90, (2014) (PubMed).

  • 抗原

    NOS2 (Nitric Oxide Synthase 2, Inducible (NOS2))

    别名

    iNOS

    背景

    Synonyms: iNOS, Nos-2, Nos2a, i-NOS, NOS-II, Nitric oxide synthase, inducible, Inducible NO synthase, Inducible NOS, Macrophage NOS, MAC-NOS, NOS type II, Peptidyl-cysteine S-nitrosylase NOS2, Nos2, Inosl

    Background: Produces nitric oxide (NO) which is a messenger molecule with diverse functions throughout the body. In macrophages, NO mediates tumoricidal and bactericidal actions. Also has nitrosylase activity and mediates cysteine S-nitrosylation of cytoplasmic target proteins such COX2.

    基因ID

    18126

    UniProt

    P29477

    途径

    Retinoic Acid Receptor Signaling Pathway, Cellular Response to Molecule of Bacterial Origin, Inositol Metabolic Process, Regulation of Leukocyte Mediated Immunity, Positive Regulation of Immune Effector Process
You are here: