电话:
+86 (0512) 65829739
传真:
+86 (010) 6788 5057
电子邮件:
orders@antibodies-online.cn

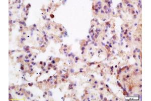
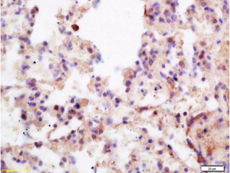
Menin 抗体 (AA 501-615)

The 兔 多克隆 anti-Menin antibody is suitable to detect Menin in samples from 人, 小鼠 和 大鼠. It has been validated for ELISA, IHC (p), IF (cc), IF (p) 和 IHC (fro).
产品编号 ABIN676343
发货至: 中国
Contact our Customer Service for availability and price in your country. Contact Info

Our Local Distributor

中国
北京 101111
No. 88 KeChuang 6th Street
Beijing Economic Technological Development Area
Room 801-803
4A Biotech Co.,Ltd.
Tel +86 (0512) 65829739 传真 +86 (010) 6788 5057

Quick Overview for Menin 抗体 (AA 501-615) (ABIN676343)

抗原

See all Menin (MEN1) 抗体
Menin (MEN1) (Multiple Endocrine Neoplasia 1 (MEN1))

适用

  • 95
  • 40
  • 32
  • 6
  • 5
  • 5
  • 4
  • 3
  • 1
  • 1
人, 小鼠, 大鼠

宿主

  • 85
  • 5
  • 3
  • 2
  • 1

克隆类型

  • 79
  • 17
多克隆

标记

  • 47
  • 7
  • 6
  • 5
  • 3
  • 3
  • 2
  • 2
  • 2
  • 2
  • 2
  • 2
  • 1
  • 1
  • 1
  • 1
  • 1
  • 1
  • 1
  • 1
  • 1
  • 1
  • 1
  • 1
  • 1
This Menin antibody is un-conjugated

应用范围

  • 66
  • 40
  • 37
  • 26
  • 20
  • 18
  • 12
  • 12
  • 8
  • 3
  • 2
  • 2
  • 1
  • 1
  • 1
ELISA, Immunohistochemistry (Paraffin-embedded Sections) (IHC (p)), Immunofluorescence (Cultured Cells) (IF (cc)), Immunofluorescence (Paraffin-embedded Sections) (IF (p)), Immunohistochemistry (Frozen Sections) (IHC (fro))
  • 抗原表位

    • 14
    • 10
    • 7
    • 6
    • 6
    • 6
    • 4
    • 4
    • 2
    • 1
    • 1
    • 1
    • 1
    • 1
    • 1
    • 1
    • 1
    • 1
    • 1
    • 1
    • 1
    • 1
    • 1
    • 1
    • 1
    • 1
    • 1
    AA 501-615

    交叉反应

    人, 小鼠, 大鼠

    预测反应

    Dog,Cow,Pig

    纯化方法

    Purified by Protein A.

    免疫原

    KLH conjugated synthetic peptide derived from human Menin

    亚型

    IgG
  • 应用备注

    ELISA 1:500-1000
    IHC-P 1:200-400
    IHC-F 1:100-500
    IF(IHC-P) 1:50-200
    IF(IHC-F) 1:50-200
    IF(ICC) 1:50-200

    限制

    仅限研究用
  • 状态

    Liquid

    浓度

    1 μg/μL

    缓冲液

    0.01M TBS( pH 7.4) with 1 % BSA, 0.02 % Proclin300 and 50 % Glycerol.

    储存液

    ProClin

    注意事项

    This product contains ProClin: a POISONOUS AND HAZARDOUS SUBSTANCE, which should be handled by trained staff only.

    储存条件

    4 °C,-20 °C

    储存方法

    Shipped at 4°C. Store at -20°C for one year. Avoid repeated freeze/thaw cycles.

    有效期

    12 months
  • 抗原

    Menin (MEN1) (Multiple Endocrine Neoplasia 1 (MEN1))

    别名

    Menin

    背景

    Synonyms: MEAI, SCG2, Menin, MEN1

    Background: Essential component of a MLL/SET1 histone methyltransferase (HMT) complex, a complex that specifically methylates 'Lys-4' of histone H3 (H3K4). Functions as a transcriptional regulator. Binds to the TERT promoter and represses telomerase expression. Plays a role in TGFB1-mediated inhibition of cell-proliferation, possibly regulating SMAD3 transcriptional activity. Represses JUND-mediated transcriptional activation on AP1 sites, as well as that mediated by NFKB subunit RELA. Positively regulates HOXC8 and HOXC6 gene expression. May be involved in normal hematopoiesis through the activation of HOXA9 expression (By similarity). May be involved in DNA repair.

    基因ID

    4221

    UniProt

    O00255

    途径

    Chromatin Binding, Positive Regulation of Endopeptidase Activity
You are here: