电话:
+86 (0512) 65829739
传真:
+86 (010) 6788 5057
电子邮件:
orders@antibodies-online.cn

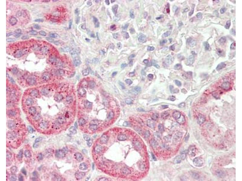
KLHL25 抗体 (AA 68-117)

The 兔 多克隆 anti-KLHL25 antibody (ABIN6756534) specifically detects KLHL25 in WB, IHC 和 IHC (p). The antibody is reactive with 人, 犬, 小鼠, 大鼠, 豚鼠, Pig 和 Bat samples.
产品编号 ABIN6756534
发货至: 中国
Contact our Customer Service for availability and price in your country. Contact Info

Our Local Distributor

中国
北京 101111
No. 88 KeChuang 6th Street
Beijing Economic Technological Development Area
Room 801-803
4A Biotech Co.,Ltd.
Tel +86 (0512) 65829739 传真 +86 (010) 6788 5057

Quick Overview for KLHL25 抗体 (AA 68-117) (ABIN6756534)

抗原

KLHL25 (Kelch-Like 25 (KLHL25))

适用

  • 25
  • 5
  • 4
  • 4
  • 3
  • 3
  • 3
  • 3
  • 1
  • 1
人, 犬, 小鼠, 大鼠, 豚鼠, Pig, Bat

宿主

  • 17
  • 4
  • 4

克隆类型

  • 21
  • 4
多克隆

标记

  • 20
  • 1
  • 1
  • 1
  • 1
  • 1
This KLHL25 antibody is un-conjugated

应用范围

  • 24
  • 16
  • 4
  • 3
  • 2
  • 2
  • 2
  • 1
Western Blotting (WB), Immunohistochemistry (IHC), Immunohistochemistry (Paraffin-embedded Sections) (IHC (p))
  • 抗原表位

    • 8
    • 6
    • 2
    • 2
    • 1
    • 1
    • 1
    • 1
    • 1
    • 1
    AA 68-117

    特异性

    Human KLHL25

    纯化方法

    Immunoaffinity purified

    免疫原

    Synthetic peptide located between aa68-117 of human KLHL25 (Q9H0H3, NP_071925). Percent identity by BLAST analysis: Human, Chimpanzee, Gorilla, Gibbon, Monkey, Galago, Marmoset, Mouse, Rat, Hamster, Elephant, Dog, Bat, Pig, Guinea pig (100%), Panda, Bovine, Rabbit (92%).

    Type of Immunogen: Synthetic peptide

    亚型

    IgG
  • 应用备注

    Approved: IHC, IHC-P (10 μg/mL), WB (0.2 - 1 μg/mL)

    说明

    Target Species of Antibody: Human

    限制

    仅限研究用
  • 状态

    Lyophilized

    溶解方式

    After adding water, will consist of PBS buffer with 2 % sucrose

    浓度

    Lot specific

    缓冲液

    Lyophilized from PBS with 2 % sucrose

    注意事项

    Avoid repeat freeze-thaw cycles.

    储存条件

    4 °C,-20 °C

    储存方法

    Long term: -20°C, the use of 50% glycerol is recommended if storing aliquots in -20°C for long term use (up to 1 year)
    Short term (less than 1 week): 4°C. Avoid freeze-thaw cycles.
  • 抗原

    KLHL25 (Kelch-Like 25 (KLHL25))

    别名

    KLHL25

    背景

    Name/Gene ID: KLHL25

    Synonyms: KLHL25, BTB/POZ KELCH domain protein, ENC-2, Ectodermal-neural cortex 2, ENC2, Kelch-like protein 25, Kelch-like 25 (Drosophila)

    基因ID

    64410

    NCBI登录号

    NP_071925
You are here: