电话:
+86 (0512) 65829739
传真:
+86 (010) 6788 5057
电子邮件:
orders@antibodies-online.cn

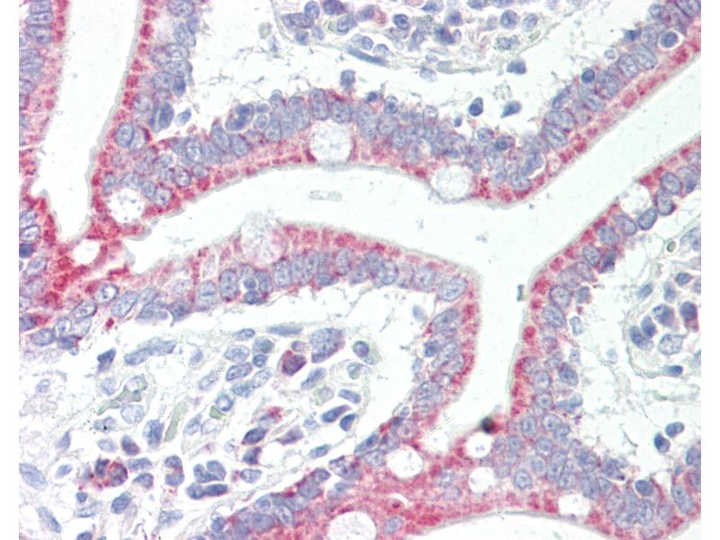
SLC33A1 抗体 (AA 216-265)

The 兔 多克隆 anti-SLC33A1 antibody is suitable to detect SLC33A1 in samples from 人, 小鼠, 大鼠, 马, 兔, 斑马鱼, Bat, 小鸡, Hamster 和 猴. It has been validated for WB, IHC 和 IHC (p).
产品编号 ABIN6755309
发货至: 中国
Contact our Customer Service for availability and price in your country. Contact Info

Our Local Distributor

中国
北京 101111
No. 88 KeChuang 6th Street
Beijing Economic Technological Development Area
Room 801-803
4A Biotech Co.,Ltd.
Tel +86 (0512) 65829739 传真 +86 (010) 6788 5057

Quick Overview for SLC33A1 抗体 (AA 216-265) (ABIN6755309)

抗原

See all SLC33A1 抗体
SLC33A1 (Solute Carrier Family 33 Member 1 (SLC33A1))

适用

人, 小鼠, 大鼠, 马, 兔, 斑马鱼, Bat, 小鸡, Hamster, 猴

宿主

  • 35
  • 7

克隆类型

  • 37
  • 5
多克隆

标记

  • 14
  • 4
  • 3
  • 2
  • 1
  • 1
  • 1
  • 1
  • 1
  • 1
  • 1
  • 1
  • 1
  • 1
  • 1
  • 1
  • 1
  • 1
  • 1
  • 1
  • 1
  • 1
  • 1
This SLC33A1 antibody is un-conjugated

应用范围

  • 31
  • 13
  • 13
  • 13
  • 3
  • 3
  • 3
  • 3
  • 3
  • 1
Western Blotting (WB), Immunohistochemistry (IHC), Immunohistochemistry (Paraffin-embedded Sections) (IHC (p))
  • 抗原表位

    • 15
    • 6
    • 4
    • 3
    • 2
    • 1
    • 1
    • 1
    • 1
    AA 216-265

    特异性

    Human SLC33A1

    纯化方法

    Immunoaffinity purified

    免疫原

    Synthetic peptide located between aa216-265 of human SLC33A1 (O00400, NP_004724). Percent identity by BLAST analysis: Human, Chimpanzee, Gorilla, Gibbon, Galago, Marmoset, Mouse, Rat, Hamster, Bat, Rabbit, Horse, Opossum, Turkey, Chicken (100%), Elephant, Panda, Dog, Bovine, Guinea pig, Lizard (92%), Zebra finch, Zebrafish (85%).

    Type of Immunogen: Synthetic peptide

    亚型

    IgG
  • 应用备注

    Approved: IHC, IHC-P (10 μg/mL), WB (0.2 - 1 μg/mL)

    Usage: Western Blot: Suggested dilution at 1 μg/mL in 5 % skim milk / PBS buffer, and HRP conjugated anti-Rabbit IgG should be diluted in 1: 50,000 - 100,000 as second antibody. ELISA titer in peptide based assay: 1:62500.

    说明

    Target Species of Antibody: Human

    限制

    仅限研究用
  • 状态

    Lyophilized

    溶解方式

    Distilled water

    浓度

    Lot specific

    缓冲液

    Lyophilized from PBS with 2 % sucrose

    注意事项

    Avoid repeat freeze-thaw cycles.

    储存条件

    4 °C,-20 °C

    储存方法

    Long term: -20°C, the use of 50% glycerol is recommended if storing aliquots in -20°C for long term use (up to 1 year)
    Short term (less than 1 week): 4°C. Avoid freeze-thaw cycles.
  • 抗原

    SLC33A1 (Solute Carrier Family 33 Member 1 (SLC33A1))

    别名

    SLC33A1

    背景

    Name/Gene ID: SLC33A1
    Subfamily: Acetyl-Coenzyme A Transporter
    Family: Transporter

    Synonyms: SLC33A1, ACATN, Acetyl-CoA transporter 1, Acetyl-CoA transporter, CCHLND, Acetyl-Coenzyme A transporter, SPG42, AT-1, AT1

    基因ID

    9197

    NCBI登录号

    NP_004724
You are here: