CIRBP 抗体 (C-Term)
Our Local Distributor
北京 101111
Quick Overview for CIRBP 抗体 (C-Term) (ABIN6755301)
抗原
See all CIRBP 抗体适用
宿主
克隆类型
标记
应用范围
-
-
抗原表位
- C-Term
-
特异性
- Human CIRBP
-
纯化方法
- Immunoaffinity purified
-
免疫原
-
Synthetic peptide from C-Terminus of human CIRBP (Q14011, NP_001271). Percent identity by BLAST analysis: Human, Chimpanzee, Gorilla, Orangutan, Monkey (100%), Galago, Elephant, Panda, Dog, Bovine, Bat, Pig, Opossum, Turkey, Chicken (92%), Marmoset (85%), Zebra finch, Platypus (84%).
Type of Immunogen: Synthetic peptide
-
-
-
-
应用备注
-
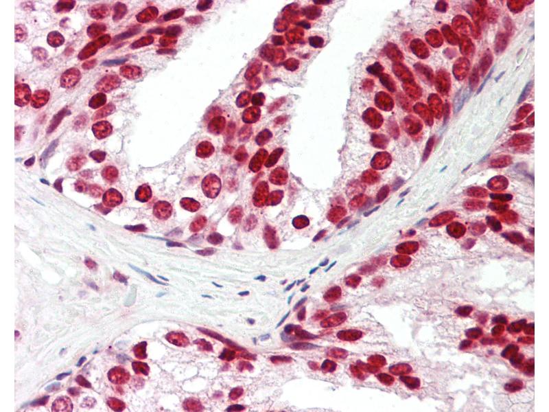
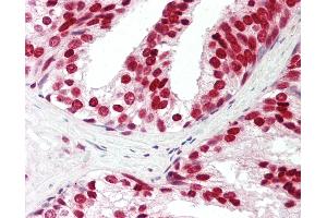
Approved: IHC, IHC-P (10 μg/mL), WB (0.2 - 1 μg/mL)
Usage: Western Blot: Suggested dilution at 1 μg/mL in 5 % skim milk / PBS buffer, and HRP conjugated anti-Rabbit IgG should be diluted in 1: 50,000 - 100,000 as secondary antibody. -
说明
-
Target Species of Antibody: Human
-
限制
- 仅限研究用
-
-
-
状态
- Lyophilized
-
溶解方式
- Distilled water
-
浓度
- Lot specific
-
缓冲液
- Lyophilized from PBS with 2 % sucrose
-
注意事项
- Avoid repeat freeze-thaw cycles.
-
储存条件
- 4 °C,-20 °C
-
储存方法
-
Long term: -20°C, the use of 50% glycerol is recommended if storing aliquots in -20°C for long term use (up to 1 year)
Short term (less than 1 week): 4°C. Avoid freeze-thaw cycles.
-
-
- CIRBP (Cold Inducible RNA Binding Protein (CIRBP))
-
别名
- CIRP / CIRBP
-
背景
-
Name/Gene ID: CIRBP
Synonyms: CIRBP, A18 hnRNP, A18HNRNP, CIRP -
基因ID
- 1153
-
NCBI登录号
- NP_001271
-
途径
- Ribonucleoprotein Complex Subunit Organization
抗原
-