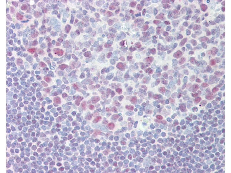
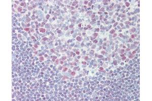
IKZF1 抗体 (AA 350-399)
Our Local Distributor
北京 101111
Quick Overview for IKZF1 抗体 (AA 350-399) (ABIN6754956)
抗原
See all IKZF1 抗体适用
宿主
克隆类型
标记
应用范围
-
-
抗原表位
- AA 350-399
-
特异性
- Human IKZF1
-
纯化方法
- Immunoaffinity purified
-
免疫原
-
Synthetic peptide located between aa350-399 of human IKZF1 (Q13422, NP_006051). Percent identity by BLAST analysis: Human, Chimpanzee, Gibbon, Monkey (100%), Marmoset (92%), Panda, Dog (84%).
Type of Immunogen: Synthetic peptide -
亚型
- IgG
-
-
-
-
应用备注
- Approved: IHC, IHC-P (15 μg/mL), WB (0.2 - 1 μg/mL)
-
说明
-
Target Species of Antibody: Human
-
限制
- 仅限研究用
-
-
-
状态
- Lyophilized
-
溶解方式
- After adding water, will consist of PBS buffer with 2 % sucrose
-
浓度
- Lot specific
-
缓冲液
- Lyophilized from PBS with 2 % sucrose
-
注意事项
- Avoid repeat freeze-thaw cycles.
-
储存条件
- 4 °C,-20 °C
-
储存方法
-
Long term: -20°C, the use of 50% glycerol is recommended if storing aliquots in -20°C for long term use (up to 1 year)
Short term (less than 1 week): 4°C. Avoid freeze-thaw cycles.
-
-
- IKZF1 (IKAROS Family Zinc Finger 1 (Ikaros) (IKZF1))
-
别名
- IKZF1 / IKAROS
-
背景
-
Name/Gene ID: IKZF1
Synonyms: IKZF1, CLL-associated antigen KW-6, HIk-1, Hs.54452, IK1, IKAROS, Ikaros/lyf-1 homolog, LyF-1, PRO0758, DNA-binding protein Ikaros, Ikaros (zinc finger protein), LYF1, ZNFN1A1 -
基因ID
- 10320
-
NCBI登录号
- NP_006051
-
途径
- Production of Molecular Mediator of Immune Response
抗原
-