GATAD1 抗体 (C-Term)
Our Local Distributor
北京 101111
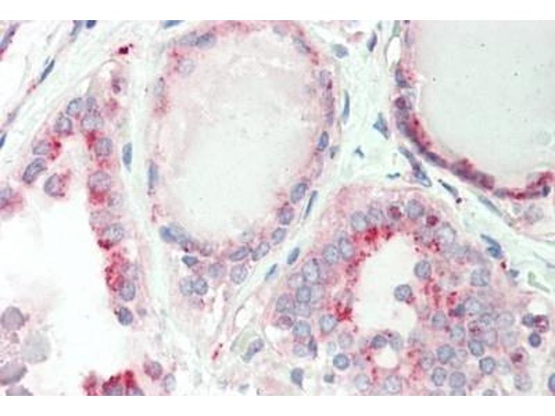
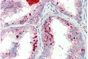
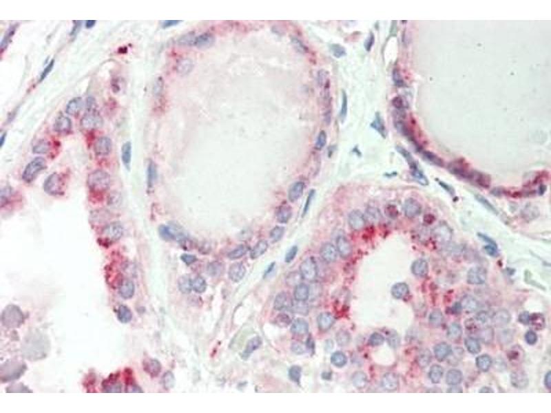
Quick Overview for GATAD1 抗体 (C-Term) (ABIN6754926)
抗原
See all GATAD1 抗体适用
宿主
克隆类型
标记
应用范围
-
-
抗原表位
- C-Term
-
特异性
- Human GATAD1
-
纯化方法
- Immunoaffinity purified
-
免疫原
-
Synthetic peptide from C-Terminus of human GATAD1 (Q8WUU5, NP_066990). Percent identity by BLAST analysis: Human, Gorilla, Gibbon, Monkey, Galago, Marmoset, Mouse, Rat, Elephant, Dog, Bovine, Rabbit, Horse, Opossum, Guinea pig, Turkey, Chicken, Platypus (100%), Lizard, Xenopus, Catfish, Stickleback, Zebrafish (92%), Bat, Salmon (85%).
Type of Immunogen: Synthetic peptide -
亚型
- IgG
-
-
-
-
应用备注
- Approved: IHC, IHC-P (5 μg/mL), WB (0.2 - 1 μg/mL)
-
说明
-
Target Species of Antibody: Human
-
限制
- 仅限研究用
-
-
-
状态
- Lyophilized
-
溶解方式
- After adding water, will consist of PBS buffer with 2 % sucrose
-
浓度
- Lot specific
-
缓冲液
- Lyophilized from PBS with 2 % sucrose
-
注意事项
- Avoid repeat freeze-thaw cycles.
-
储存条件
- 4 °C,-20 °C
-
储存方法
-
Long term: -20°C, the use of 50% glycerol is recommended if storing aliquots in -20°C for long term use (up to 1 year)
Short term (less than 1 week): 4°C. Avoid freeze-thaw cycles.
-
-
- GATAD1 (GATA Zinc Finger Domain Containing 1 (GATAD1))
-
别名
- GATAD1
-
背景
-
Name/Gene ID: GATAD1
Synonyms: GATAD1, CMD2B, ODAG, RG083M05.2 -
基因ID
- 57798
-
NCBI登录号
- NP_066990
抗原
-