电话:
+86 (0512) 65829739
传真:
+86 (010) 6788 5057
电子邮件:
orders@antibodies-online.cn

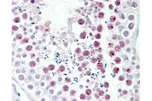
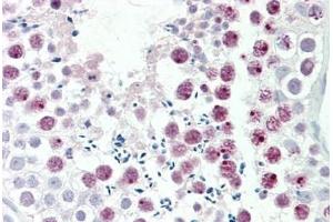
MDC1 抗体 (AA 1851-1900)

The 兔 多克隆 anti-MDC1 antibody (ABIN6754878) specifically detects MDC1 in WB, IHC 和 IHC (p). The antibody is reactive with 人, 犬 和 Pig samples.
产品编号 ABIN6754878
发货至: 中国
Contact our Customer Service for availability and price in your country. Contact Info

Our Local Distributor

中国
北京 101111
No. 88 KeChuang 6th Street
Beijing Economic Technological Development Area
Room 801-803
4A Biotech Co.,Ltd.
Tel +86 (0512) 65829739 传真 +86 (010) 6788 5057

Quick Overview for MDC1 抗体 (AA 1851-1900) (ABIN6754878)

抗原

See all MDC1 抗体
MDC1 (Mdc1 (MDC1))

适用

  • 57
  • 45
  • 16
  • 12
  • 11
  • 1
  • 1
人, 犬, Pig

宿主

  • 47
  • 28

克隆类型

  • 47
  • 28
多克隆

标记

  • 27
  • 6
  • 6
  • 4
  • 3
  • 3
  • 3
  • 2
  • 2
  • 2
  • 1
  • 1
  • 1
  • 1
  • 1
  • 1
  • 1
  • 1
  • 1
  • 1
  • 1
  • 1
  • 1
  • 1
  • 1
  • 1
  • 1
This MDC1 antibody is un-conjugated

应用范围

  • 56
  • 22
  • 13
  • 13
  • 13
  • 13
  • 10
  • 10
  • 8
  • 6
  • 3
  • 2
  • 1
  • 1
  • 1
Western Blotting (WB), Immunohistochemistry (IHC), Immunohistochemistry (Paraffin-embedded Sections) (IHC (p))
  • 抗原表位

    • 21
    • 15
    • 10
    • 9
    • 5
    • 3
    • 2
    • 2
    • 1
    • 1
    • 1
    • 1
    • 1
    • 1
    • 1
    AA 1851-1900

    特异性

    Human MDC1

    纯化方法

    Immunoaffinity purified

    免疫原

    Synthetic peptide located between aa1851-1900 of human MDC1 (Q14676, NP_055456). Percent identity by BLAST analysis: Human, Chimpanzee, Gorilla (100%), Gibbon, Monkey, Guinea pig (92%), Panda, Dog (85%).

    Type of Immunogen: Synthetic peptide
  • 应用备注

    Approved: IHC, IHC-P (10 μg/mL), WB (0.2 - 1 μg/mL)

    Usage: Western Blot: Suggested dilution at 1 μg/mL in 5 % skim milk / PBS buffer, and HRP conjugated anti-Rabbit IgG should be diluted in 1: 50,000 - 100,000 as secondary antibody.

    说明

    Target Species of Antibody: Human

    限制

    仅限研究用
  • 状态

    Lyophilized

    溶解方式

    Distilled water

    浓度

    Lot specific

    缓冲液

    Lyophilized from PBS with 2 % sucrose

    注意事项

    Avoid repeat freeze-thaw cycles.

    储存条件

    4 °C,-20 °C

    储存方法

    Long term: -20°C, the use of 50% glycerol is recommended if storing aliquots in -20°C for long term use (up to 1 year)
    Short term (less than 1 week): 4°C. Avoid freeze-thaw cycles.
  • 抗原

    MDC1 (Mdc1 (MDC1))

    别名

    MDC1

    背景

    Name/Gene ID: MDC1

    Synonyms: MDC1, Em:AB023051.5, NFBD1, KIAA0170

    基因ID

    9656

    NCBI登录号

    NP_055456
You are here: