APRT 抗体 (AA 149-179)
Our Local Distributor
北京 101111
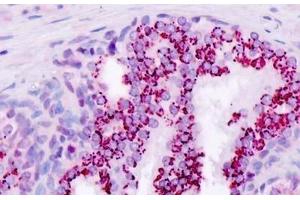
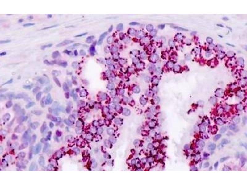
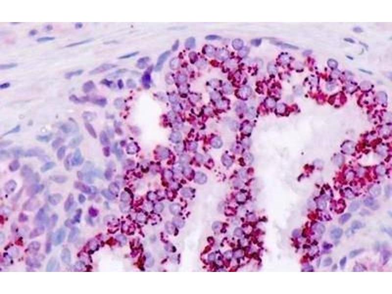
Quick Overview for APRT 抗体 (AA 149-179) (ABIN6751264)
抗原
See all APRT 抗体适用
宿主
克隆类型
标记
应用范围
-
-
抗原表位
- AA 149-179
-
纯化方法
- Immunoaffinity purified
-
免疫原
-
KLH-conjugated synthetic peptide from C-terminal region of human APRT.
Immunogen type: Synthetic peptide
-
-
-
-
应用备注
- IHC-P (5 µg/mL), WB (1:1000)
-
限制
- 仅限研究用
-
-
-
缓冲液
- PBS with 0.09 % (w/v) sodium azide
-
储存液
- Sodium azide
-
注意事项
- WARNING: Reagents contain sodium azide. Sodium azide is very toxic if ingested or inhaled. Avoid contact with skin, eyes, or clothing. Wear eye or face protection when handling. If skin or eye contact occurs, wash with copious amounts of water. If ingested or inhaled, contact a physician immediately. Sodium azide yields toxic hydrazoic acid under acidic conditions. Dilute azide-containing compounds in running water before discarding to avoid accumulation of potentially explosive deposits in lead or copper plumbing.
-
储存条件
- 4 °C/-20 °C
-
储存方法
- Maintain refrigerated at 2-8 °C for up to 6 months.
-
有效期
- 6 months
-
-
- APRT (Adenine Phosphoribosyltransferase (APRT))
-
别名
- APRT
-
背景
-
Synonyms :
APRT, AMP, AMP diphosphorylase, APRTD, AMP pyrophosphorylase, Transphosphoribosidase -
基因ID
- 353
-
UniProt
- P07741
-
途径
- Ribonucleoside Biosynthetic Process
抗原
-