LYPLAL1 抗体 (C-Term)
Our Local Distributor
北京 101111
Quick Overview for LYPLAL1 抗体 (C-Term) (ABIN6749790)
抗原
See all LYPLAL1 抗体适用
宿主
克隆类型
标记
应用范围
-
-
抗原表位
- C-Term
-
特异性
- Human LYPLAL1
-
预测反应
- Percent identity by BLAST analysis:
-
纯化方法
- Immunoaffinity purified
-
免疫原
-
Synthetic peptide from C-Terminus of human LYPLAL1 (Q5VWZ2, NP_620149). Percent identity by BLAST analysis: Human, Chimpanzee, Gorilla, Orangutan, Gibbon, Guinea pig (100%), Monkey, Panda, Rabbit (92%), Bat (85%), Horse (84%), Dog (81%).
Type of Immunogen: Synthetic peptide
-
-
-
-
应用备注
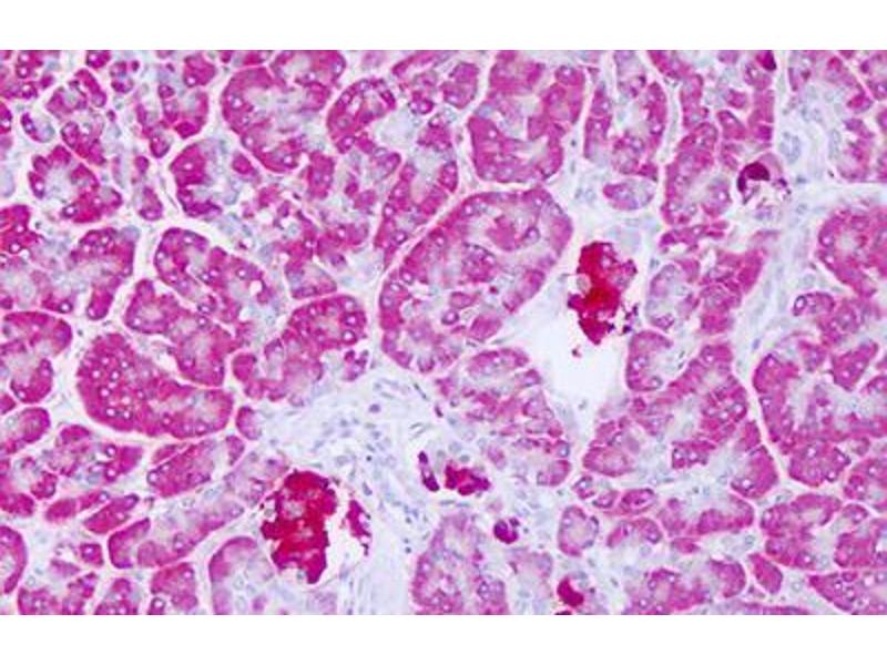
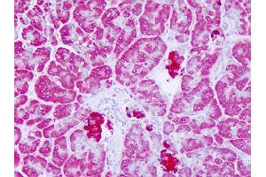
- Approved: IHC, IHC-P (5 - 10 μg/mL), WB
-
说明
-
Target Species of Antibody: Human
-
限制
- 仅限研究用
-
-
-
状态
- Lyophilized
-
溶解方式
- Distilled water
-
浓度
- Lot specific
-
缓冲液
- Lyophilized from PBS with 2 % sucrose
-
注意事项
- Avoid repeat freeze-thaw cycles.
-
储存条件
- 4 °C,-20 °C
-
储存方法
-
Long term: -20°C, the use of 50% glycerol is recommended if storing aliquots in -20°C for long term use (up to 1 year)
Short term (less than 1 week): 4°C. Avoid freeze-thaw cycles.
-
-
-