PDE4D 抗体 (AA 164-213)
Our Local Distributor
北京 101111
Quick Overview for PDE4D 抗体 (AA 164-213) (ABIN6749764)
抗原
See all PDE4D 抗体适用
宿主
克隆类型
标记
应用范围
-
-
抗原表位
- AA 164-213
-
特异性
- Mouse PDE4D
-
预测反应
- Percent identity by BLAST analysis: Human, Mouse, Rat, Horse, Pig (100%) Rabbit (92%).
-
纯化方法
- Immunoaffinity purified
-
免疫原
-
Synthetic peptide located between aa164-213 of mouse Pde4d (Q01063, NP_035186). Percent identity by BLAST analysis: Human, Gorilla, Gibbon, Monkey, Marmoset, Mouse, Rat, Elephant, Horse, Pig, Zebra finch, Chicken, Lizard, Xenopus (100%), Rabbit, Opossum, Platypus (92%), Stickleback (80%).
Type of Immunogen: Synthetic peptide
-
-
-
-
应用备注
-
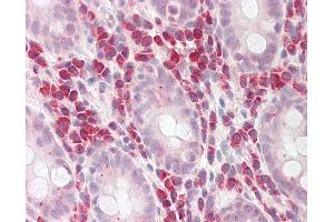
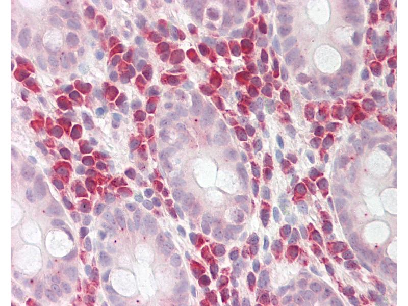
Approved: IHC, IHC-P (2.5 - 5 μg/mL), WB (0.2 - 1 μg/mL)
Usage: Western Blot: Suggested dilution at 1 μg/mL in 5 % skim milk / PBS buffer, and HRP conjugated anti-Rabbit IgG should be diluted in 1: 50,000 - 100,000 as secondary antibody. -
说明
-
Target Species of Antibody: Mouse
-
限制
- 仅限研究用
-
-
-
状态
- Lyophilized
-
溶解方式
- Distilled water
-
浓度
- Lot specific
-
缓冲液
- Lyophilized from PBS with 2 % sucrose
-
注意事项
- Avoid repeat freeze-thaw cycles.
-
储存条件
- 4 °C,-20 °C
-
储存方法
-
Long term: -20°C, the use of 50% glycerol is recommended if storing aliquots in -20°C for long term use (up to 1 year)
Short term (less than 1 week): 4°C. Avoid freeze-thaw cycles.
-
-
- PDE4D (phosphodiesterase 4D, cAMP-Specific (PDE4D))
-
别名
- PDE4D
-
背景
-
Name/Gene ID: PDE4D
Subfamily: PDE - cAMP-specific
Family: Phosphodiesterase
Synonyms: PDE4D, ACRDYS2, DPDE3, HSPDE4D, PDE43, Pde-ivd, PDE4DN2, Phosphodiesterase 4d, STRK1 -
基因ID
- 5144
-
NCBI登录号
- NP_035186
-
UniProt
- Q08499
-
途径
- Cellular Response to Molecule of Bacterial Origin, cAMP Metabolic Process, Myometrial Relaxation and Contraction, Regulation of G-Protein Coupled Receptor Protein Signaling
抗原
-