CPEB3 抗体 (AA 324-373)
Our Local Distributor
北京 101111
Quick Overview for CPEB3 抗体 (AA 324-373) (ABIN6749761)
抗原
See all CPEB3 抗体适用
宿主
克隆类型
标记
应用范围
-
-
抗原表位
- AA 324-373
-
特异性
- Human CPEB3
-
预测反应
- Percent identity by BLAST analysis: Human, Mouse, Rat, Dog, Bovine, Rabbit, Horse, Pig (100%) Chicken (92%).
-
纯化方法
- Immunoaffinity purified
-
免疫原
-
Synthetic peptide located between aa324-373 of human CPEB3 (Q8NE35, NP_055727). Percent identity by BLAST analysis: Human, Gorilla, Gibbon, Monkey, Galago, Marmoset, Mouse, Rat, Elephant, Panda, Dog, Bovine, Bat, Rabbit, Horse, Pig (100%), Opossum, Turkey, Zebra finch, Chicken (92%), Xenopus (84%).
Type of Immunogen: Synthetic peptide
-
-
-
-
应用备注
-
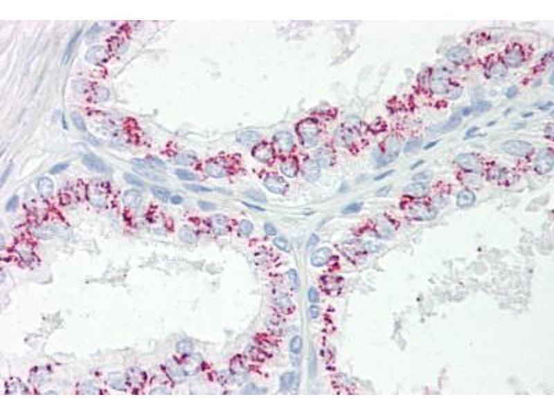
Approved: IHC, IHC-P (5 - 7.5 μg/mL), WB (0.2 - 1 μg/mL)
Usage: Western Blot: Suggested dilution at 1 μg/mL in 5 % skim milk / PBS buffer, and HRP conjugated anti-Rabbit IgG should be diluted in 1: 50,000 - 100,000 as secondary antibody. -
说明
-
Target Species of Antibody: Human
-
限制
- 仅限研究用
-
-
-
状态
- Lyophilized
-
溶解方式
- Distilled water
-
浓度
- Lot specific
-
缓冲液
- Lyophilized from PBS with 2 % sucrose
-
注意事项
- Avoid repeat freeze-thaw cycles.
-
储存条件
- 4 °C,-20 °C
-
储存方法
-
Long term: -20°C, the use of 50% glycerol is recommended if storing aliquots in -20°C for long term use (up to 1 year)
Short term (less than 1 week): 4°C. Avoid freeze-thaw cycles.
-
-
-