电话:
+86 (0512) 65829739
传真:
+86 (010) 6788 5057
电子邮件:
orders@antibodies-online.cn

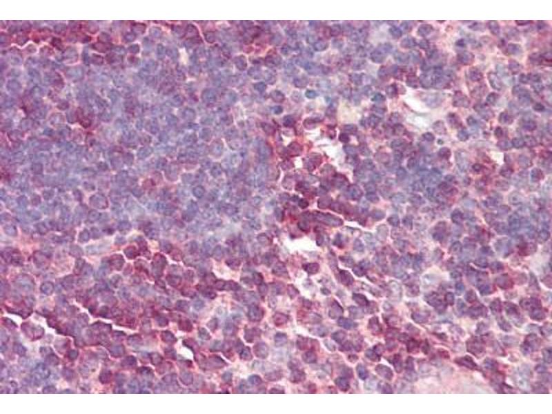
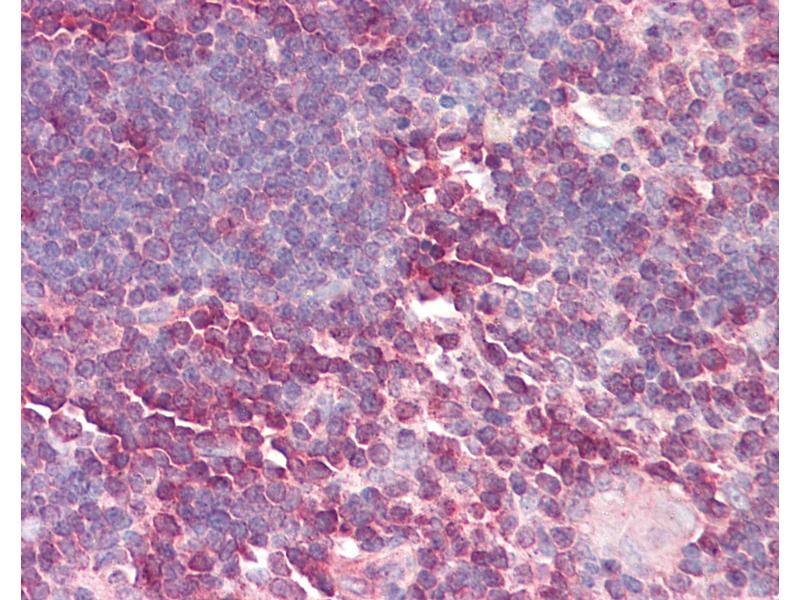
Lamin B Receptor 抗体 (AA 503-552)

The 兔 多克隆 anti-Lamin B Receptor antibody (ABIN6749731) specifically detects Lamin B Receptor in WB, IHC 和 IHC (p). The antibody is reactive with 人, Cow, 豚鼠, 斑马鱼 和 猴 samples.
产品编号 ABIN6749731
发货至: 中国
Contact our Customer Service for availability and price in your country. Contact Info

Our Local Distributor

中国
北京 101111
No. 88 KeChuang 6th Street
Beijing Economic Technological Development Area
Room 801-803
4A Biotech Co.,Ltd.
Tel +86 (0512) 65829739 传真 +86 (010) 6788 5057

Quick Overview for Lamin B Receptor 抗体 (AA 503-552) (ABIN6749731)

抗原

See all Lamin B Receptor (LBR) 抗体
Lamin B Receptor (LBR)

适用

  • 44
  • 20
  • 13
  • 1
  • 1
  • 1
  • 1
  • 1
  • 1
  • 1
  • 1
人, Cow, 豚鼠, 斑马鱼, 猴

宿主

  • 42
  • 2

克隆类型

  • 32
  • 12
多克隆

标记

  • 14
  • 2
  • 2
  • 2
  • 2
  • 2
  • 2
  • 2
  • 1
  • 1
  • 1
  • 1
  • 1
  • 1
  • 1
  • 1
  • 1
  • 1
  • 1
  • 1
  • 1
  • 1
  • 1
  • 1
This Lamin B Receptor antibody is un-conjugated

应用范围

  • 37
  • 16
  • 15
  • 14
  • 12
  • 12
  • 8
  • 3
Western Blotting (WB), Immunohistochemistry (IHC), Immunohistochemistry (Paraffin-embedded Sections) (IHC (p))
  • 抗原表位

    • 16
    • 2
    • 1
    • 1
    • 1
    • 1
    • 1
    AA 503-552

    特异性

    Human LBR

    预测反应

    Percent identity by BLAST analysis: Human (100%) Mouse, Rat, Dog, Horse (92%) Bovine, Guinea pig (85%).

    纯化方法

    Immunoaffinity purified

    免疫原

    Synthetic peptide located between aa503-552 of human LBR (Q14739, NP_002287). Percent identity by BLAST analysis: Human, Chimpanzee, Gorilla, Orangutan, Gibbon, Monkey, Galago, Marmoset, Panda (100%), Mouse, Rat, Hamster, Dog, Bat, Rabbit, Horse (92%), Sea squirt (91%), Elephant, Bovine, Guinea pig, Platypus (85%), Opossum (84%), Stickleback (83%).

    Type of Immunogen: Synthetic peptide
  • 应用备注

    Approved: IHC, IHC-P (5 - 10 μg/mL), WB (0.2 - 1 μg/mL)

    Usage: Western Blot: Suggested dilution at 1 μg/mL in 5 % skim milk / PBS buffer, and HRP conjugated anti-Rabbit IgG should be diluted in 1: 50,000 - 100,000 as secondary antibody.

    说明

    Target Species of Antibody: Human

    限制

    仅限研究用
  • 状态

    Lyophilized

    溶解方式

    Distilled water

    浓度

    Lot specific

    缓冲液

    Lyophilized from PBS with 2 % sucrose

    注意事项

    Avoid repeat freeze-thaw cycles.

    储存条件

    4 °C,-20 °C

    储存方法

    Long term: -20°C, the use of 50% glycerol is recommended if storing aliquots in -20°C for long term use (up to 1 year)
    Short term (less than 1 week): 4°C. Avoid freeze-thaw cycles.
  • 抗原

    Lamin B Receptor (LBR)

    别名

    LBR / Lamin B Receptor

    背景

    Name/Gene ID: LBR

    Synonyms: LBR, DHCR14B, Lamin B receptor, Lamin-B receptor, PHA, LMN2R

    基因ID

    3930

    NCBI登录号

    NP_002287

    UniProt

    Q14739
You are here: