电话:
+86 (0512) 65829739
传真:
+86 (010) 6788 5057
电子邮件:
orders@antibodies-online.cn

ARPP21 抗体 (AA 74-123)

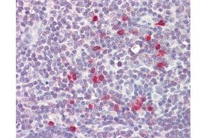
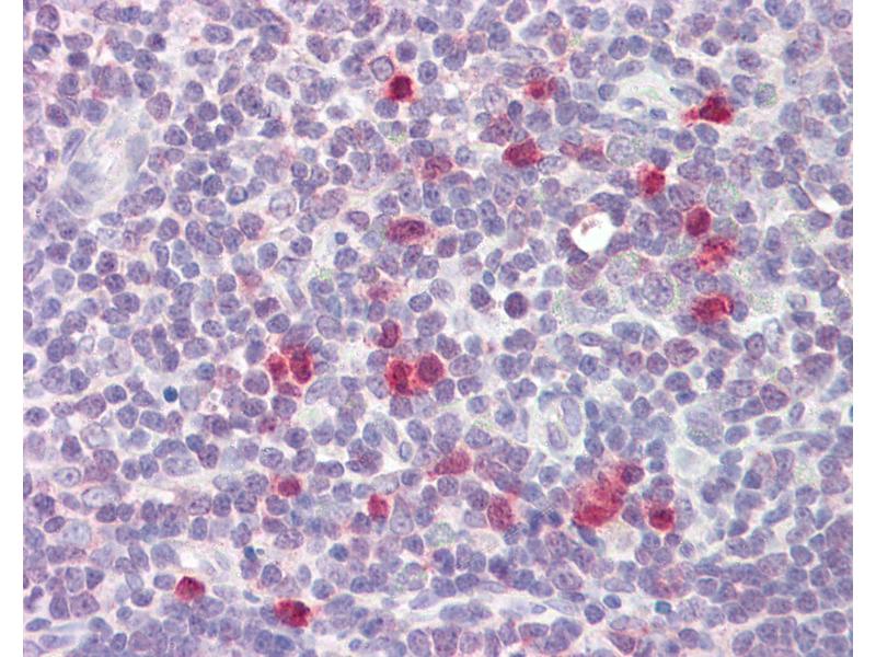
The 兔 多克隆 anti-ARPP21 antibody is suitable to detect ARPP21 in samples from 人, 小鼠, 大鼠, 犬, 马, 兔, Cow 和 Pig. It has been validated for WB, IHC 和 IHC (p).
产品编号 ABIN6749725
发货至: 中国
Contact our Customer Service for availability and price in your country. Contact Info

Our Local Distributor

中国
北京 101111
No. 88 KeChuang 6th Street
Beijing Economic Technological Development Area
Room 801-803
4A Biotech Co.,Ltd.
Tel +86 (0512) 65829739 传真 +86 (010) 6788 5057

Quick Overview for ARPP21 抗体 (AA 74-123) (ABIN6749725)

抗原

See all ARPP21 抗体
ARPP21 (cAMP-Regulated phosphoprotein, 21kDa (ARPP21))

适用

  • 28
  • 9
  • 6
  • 3
  • 3
  • 3
  • 3
  • 2
  • 2
  • 2
  • 1
  • 1
人, 小鼠, 大鼠, 犬, 马, 兔, Cow, Pig

宿主

  • 28

克隆类型

  • 28
多克隆

标记

  • 16
  • 2
  • 1
  • 1
  • 1
  • 1
  • 1
  • 1
  • 1
  • 1
  • 1
  • 1
This ARPP21 antibody is un-conjugated

应用范围

  • 21
  • 13
  • 4
  • 1
  • 1
  • 1
  • 1
Western Blotting (WB), Immunohistochemistry (IHC), Immunohistochemistry (Paraffin-embedded Sections) (IHC (p))
  • 抗原表位

    • 8
    • 6
    • 3
    • 2
    • 1
    • 1
    • 1
    • 1
    AA 74-123

    特异性

    Human ARPP21 / ARPP-21 isoform 1

    预测反应

    Percent identity by BLAST analysis: Human, Mouse, Rat, Bovine, Dog, Poplar (100%) Chicken (92%).

    纯化方法

    Immunoaffinity purified

    免疫原

    Synthetic peptide located between aa74-123 of human ARPP-21 (Q9UBL0, NP_057384). Percent identity by BLAST analysis: Human, Chimpanzee, Gorilla, Gibbon, Galago, Mouse, Rat, Elephant, Panda, Dog, Rabbit, Horse, Pig (100%), Marmoset, Bat, Guinea pig, Turkey, Chicken, Lizard (92%), Platypus (84%).

    Type of Immunogen: Synthetic peptide

    亚型

    IgG
  • 应用备注

    Approved: IHC, IHC-P (5 - 10 μg/mL), WB

    Usage: ELISA titer using peptide based assay: 1:62500. Western Blot: Suggested dilution at 1 μg/mL in 5 % skim milk / PBS buffer, and HRP conjugated anti-Rabbit IgG should be diluted in 1:50000 - 100000 as second antibody.

    说明

    Target Species of Antibody: Human

    限制

    仅限研究用
  • 状态

    Lyophilized

    溶解方式

    Distilled Water.

    浓度

    Lot specific

    缓冲液

    Lyophilized from PBS with 2 % sucrose

    注意事项

    Avoid repeat freeze-thaw cycles.

    储存条件

    4 °C,-20 °C

    储存方法

    Long term: -20°C, the use of 50% glycerol is recommended if storing aliquots in -20°C for long term use (up to 1 year)
    Short term (less than 1 week): 4°C. Avoid freeze-thaw cycles.
  • 抗原

    ARPP21 (cAMP-Regulated phosphoprotein, 21kDa (ARPP21))

    别名

    RCS / ARPP-21

    背景

    Name/Gene ID: ARPP21

    Synonyms: ARPP21, ARPP-21, RCS, R3H domain containing 3, TARPP, R3HDM3

    基因ID

    10777

    NCBI登录号

    NP_057384

    UniProt

    Q9UBL0
You are here: