电话:
+86 (0512) 65829739
传真:
+86 (010) 6788 5057
电子邮件:
orders@antibodies-online.cn

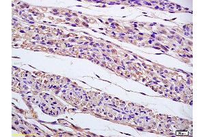
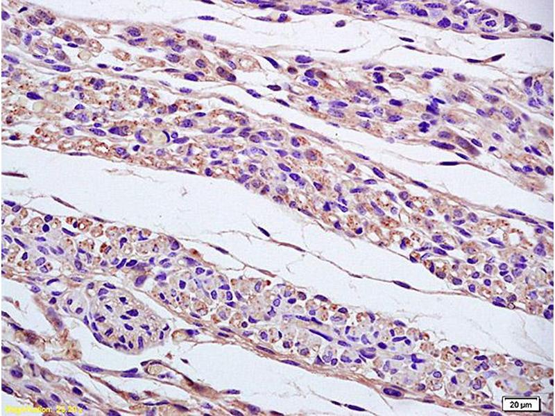
gamma Tubulin 抗体 (AA 351-451)

Cited in 1 publication. The 兔 多克隆 anti-gamma Tubulin antibody (ABIN674934) specifically detects gamma Tubulin in IF (p), IHC (p), IF (cc), ELISA 和 IHC (fro). The antibody is reactive with 小鼠 samples.
产品编号 ABIN674934
发货至: 中国
Contact our Customer Service for availability and price in your country. Contact Info

Our Local Distributor

中国
北京 101111
No. 88 KeChuang 6th Street
Beijing Economic Technological Development Area
Room 801-803
4A Biotech Co.,Ltd.
Tel +86 (0512) 65829739 传真 +86 (010) 6788 5057

Quick Overview for gamma Tubulin 抗体 (AA 351-451) (ABIN674934)

抗原

gamma Tubulin (TUBG) (Tubulin, gamma (TUBG))

适用

  • 44
  • 34
  • 29
  • 11
  • 10
  • 10
  • 10
  • 10
  • 10
  • 10
小鼠

宿主

  • 28
  • 20
  • 1

克隆类型

  • 31
  • 18
多克隆

标记

  • 11
  • 3
  • 2
  • 2
  • 2
  • 2
  • 2
  • 2
  • 2
  • 2
  • 2
  • 2
  • 2
  • 2
  • 2
  • 1
  • 1
  • 1
  • 1
  • 1
  • 1
  • 1
  • 1
  • 1
This gamma Tubulin antibody is un-conjugated

应用范围

  • 33
  • 25
  • 12
  • 11
  • 11
  • 10
  • 8
  • 6
  • 3
  • 2
  • 2
  • 1
Immunofluorescence (Paraffin-embedded Sections) (IF (p)), Immunohistochemistry (Paraffin-embedded Sections) (IHC (p)), Immunofluorescence (Cultured Cells) (IF (cc)), ELISA, Immunohistochemistry (Frozen Sections) (IHC (fro))
  • 抗原表位

    • 14
    • 2
    • 1
    • 1
    • 1
    • 1
    • 1
    AA 351-451

    交叉反应

    小鼠

    预测反应

    Human,Rat,Dog,Cow,Pig,Horse,Chicken,Rabbit,Guinea Pig

    纯化方法

    Purified by Protein A.

    免疫原

    KLH conjugated synthetic peptide derived from human Tubulin gamma-1 chain

    亚型

    IgG
  • 应用备注

    ELISA 1:500-1000
    IHC-P 1:200-400
    IHC-F 1:100-500
    IF(IHC-P) 1:50-200
    IF(IHC-F) 1:50-200
    IF(ICC) 1:50-200

    限制

    仅限研究用
  • 状态

    Liquid

    浓度

    1 μg/μL

    缓冲液

    0.01M TBS( pH 7.4) with 1 % BSA, 0.02 % Proclin300 and 50 % Glycerol.

    储存液

    ProClin

    注意事项

    This product contains ProClin: a POISONOUS AND HAZARDOUS SUBSTANCE, which should be handled by trained staff only.

    储存条件

    4 °C,-20 °C

    储存方法

    Shipped at 4°C. Store at -20°C for one year. Avoid repeated freeze/thaw cycles.

    有效期

    12 months
  • Katzenell, Leib: "Herpes simplex virus and interferon signaling induce novel autophagic clusters in sensory neurons." in: Journal of virology, (2016) (PubMed).

  • 抗原

    gamma Tubulin (TUBG) (Tubulin, gamma (TUBG))

    别名

    gamma tubulin Centrosome Marker

    背景

    Synonyms: TUBG, GCP-1, CDCBM4, TUBGCP1, Tubulin gamma-1 chain, Gamma-1-tubulin, Gamma-tubulin complex component 1, TUBG1

    Background: Tubulin is the major constituent of microtubules. The gamma chain is found at microtubule organizing centers (MTOC) such as the spindle poles or the centrosome. Pericentriolar matrix component that regulates alpha/beta chain minus-end nucleation, centrosome duplication and spindle formation.

    基因ID

    7283

    UniProt

    P23258
You are here: