电话:
+86 (0512) 65829739
传真:
+86 (010) 6788 5057
电子邮件:
orders@antibodies-online.cn

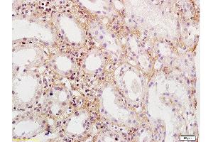
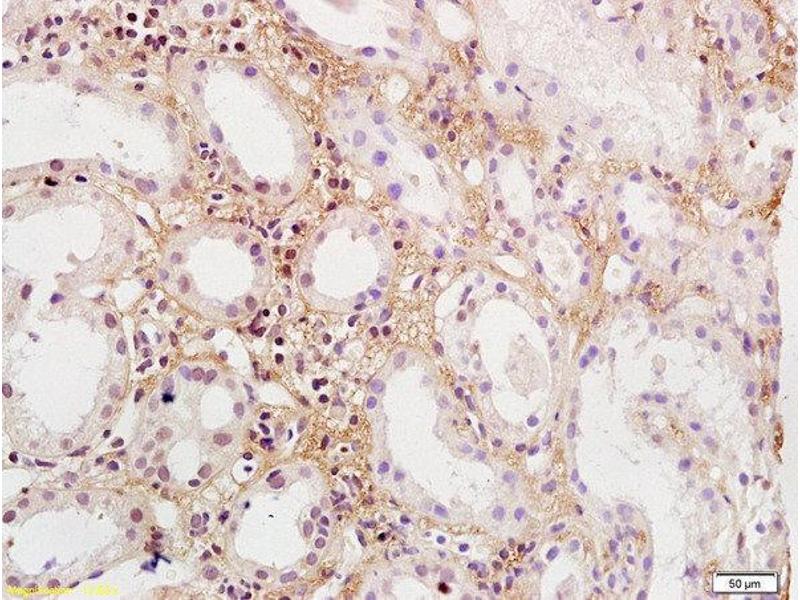
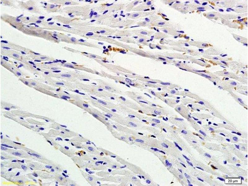
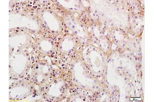
PDGF-BB Homodimer (AA 151-241) 抗体

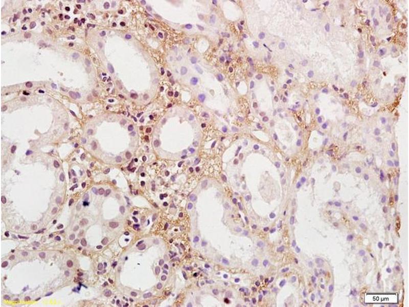
Cited in 1 publication. The 兔 多克隆 anti-PDGF-BB Homodimer antibody (ABIN674874) specifically detects PDGF-BB Homodimer in WB, ELISA, IF (cc), IF (p), IHC (p) 和 IHC (fro). The antibody is reactive with 人, 小鼠, 大鼠 和 小鸡 samples.
产品编号 ABIN674874
发货至: 中国
Contact our Customer Service for availability and price in your country. Contact Info

Our Local Distributor

中国
北京 101111
No. 88 KeChuang 6th Street
Beijing Economic Technological Development Area
Room 801-803
4A Biotech Co.,Ltd.
Tel +86 (0512) 65829739 传真 +86 (010) 6788 5057

Quick Overview for PDGF-BB Homodimer (AA 151-241) 抗体 (ABIN674874)

抗原

PDGF-BB Homodimer

适用

  • 37
  • 24
  • 22
  • 14
  • 1
  • 1
  • 1
  • 1
  • 1
  • 1
  • 1
人, 小鼠, 大鼠, 小鸡

宿主

  • 42
  • 4
  • 1

克隆类型

  • 43
  • 4
多克隆

标记

  • 20
  • 6
  • 5
  • 2
  • 2
  • 1
  • 1
  • 1
  • 1
  • 1
  • 1
  • 1
  • 1
  • 1
  • 1
  • 1
  • 1
非结合性

应用范围

  • 47
  • 14
  • 14
  • 12
  • 12
  • 9
  • 7
  • 4
  • 3
  • 3
  • 2
  • 2
  • 1
  • 1
Western Blotting (WB), ELISA, Immunofluorescence (Cultured Cells) (IF (cc)), Immunofluorescence (Paraffin-embedded Sections) (IF (p)), Immunohistochemistry (Paraffin-embedded Sections) (IHC (p)), Immunohistochemistry (Frozen Sections) (IHC (fro))
  • 抗原表位

    • 14
    • 8
    • 6
    • 3
    • 2
    • 1
    • 1
    • 1
    • 1
    AA 151-241

    交叉反应

    小鸡, 人, 小鼠, 大鼠

    纯化方法

    Purified by Protein A.

    免疫原

    KLH conjugated synthetic peptide derived from human PDGF-B

    亚型

    IgG
  • 应用备注

    ELISA 1:500-1000
    IHC-P 1:200-400
    IHC-F 1:100-500
    IF(IHC-P) 1:50-200
    IF(IHC-F) 1:50-200
    IF(ICC) 1:50-200

    限制

    仅限研究用
  • 状态

    Liquid

    浓度

    1 μg/μL

    缓冲液

    0.01M TBS( pH 7.4) with 1 % BSA, 0.02 % Proclin300 and 50 % Glycerol.

    储存液

    ProClin

    注意事项

    This product contains ProClin: a POISONOUS AND HAZARDOUS SUBSTANCE, which should be handled by trained staff only.

    储存条件

    4 °C,-20 °C

    储存方法

    Shipped at 4°C. Store at -20°C for one year. Avoid repeated freeze/thaw cycles.

    有效期

    12 months
  • Cipriani, Di Benedetto, Dietrich, Ruscitti, Liakouli, Carubbi, Pantano, Berardicurti, Sgonc, Giacomelli: "Searching for a good model for systemic sclerosis: the molecular profile and vascular changes occurring in UCD-200 chickens strongly resemble the early phase of human systemic sclerosis." in: Archives of medical science : AMS, Vol. 12, Issue 4, pp. 828-43, (2016) (PubMed).

  • 抗原

    PDGF-BB Homodimer

    别名

    PDGFBB

    背景

    Synonyms: PDGF BB, PDGF-BB, platelet derived growth factor-BB, Becaplermin, C sis, FLJ12858, Oncogene SIS, PDG B chain, PDGB, PDGF 2, PDGF B, PDGF B chain, PDGF2, PDGFB, PDGFB/COL1A1 fusion gene, Platelet derived growth factor 2, Platelet derived growth factor B chain, Platelet derived growth factor beta, Platelet derived growth factor beta polypeptide, Simian sarcoma viral v sis oncogene homolog, SIS, SSV, V sis platelet derived growth factor beta polypeptide.

    Background: Platelet Derived Growth Factor (PDGF) is the major serum mitogen for cells of mesenchymal origin in humans. The biologically active protein is a dimer composed of two related polypeptides designated A and B, the dimers being connected by disulfide bonds. The PDGF protein has been implicated both directly as well as indirectly in several pathological states including neoplasia, arthritis, arteriosclerosis and bone marrow sclerosis.

    基因ID

    5155
You are here: