电话:
+86 (0512) 65829739
传真:
+86 (010) 6788 5057
电子邮件:
orders@antibodies-online.cn

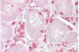
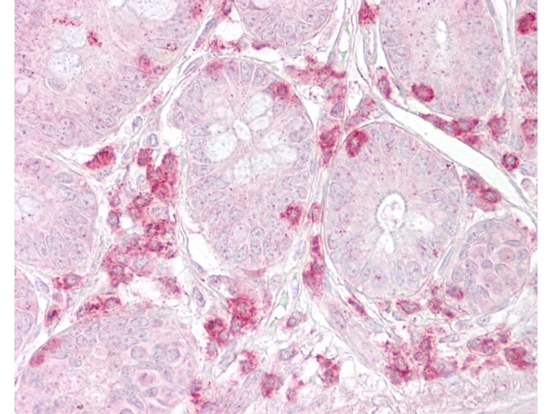
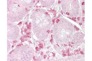
METAP2 抗体 (AA 95-144)

The 兔 多克隆 anti-METAP2 antibody (ABIN6748617) specifically detects METAP2 in WB, IHC 和 IHC (p). The antibody is reactive with 人, 小鼠, 大鼠, Cow, 犬, 豚鼠, 马, 斑马鱼, 猴, Bat, Hamster 和 Pig samples.
产品编号 ABIN6748617
发货至: 中国
Contact our Customer Service for availability and price in your country. Contact Info

Our Local Distributor

中国
北京 101111
No. 88 KeChuang 6th Street
Beijing Economic Technological Development Area
Room 801-803
4A Biotech Co.,Ltd.
Tel +86 (0512) 65829739 传真 +86 (010) 6788 5057

Quick Overview for METAP2 抗体 (AA 95-144) (ABIN6748617)

抗原

See all METAP2 抗体
METAP2 (Methionyl Aminopeptidase 2 (METAP2))

适用

人, 小鼠, 大鼠, Cow, 犬, 豚鼠, 马, 斑马鱼, 猴, Bat, Hamster, Pig

宿主

  • 61
  • 3
  • 1

克隆类型

  • 43
  • 22
多克隆

标记

  • 30
  • 6
  • 5
  • 4
  • 3
  • 3
  • 2
  • 2
  • 2
  • 2
  • 2
  • 2
  • 1
  • 1
This METAP2 antibody is un-conjugated

应用范围

  • 51
  • 29
  • 26
  • 15
  • 11
  • 4
  • 4
  • 2
  • 2
  • 1
  • 1
Western Blotting (WB), Immunohistochemistry (IHC), Immunohistochemistry (Paraffin-embedded Sections) (IHC (p))
  • 抗原表位

    • 8
    • 7
    • 7
    • 6
    • 5
    • 4
    • 2
    • 1
    • 1
    • 1
    • 1
    • 1
    AA 95-144

    特异性

    Human METAP2

    预测反应

    Percent identity by BLAST analysis: Human, Mouse, Rat, Dog, Horse, Guinea pig (100%) Rabbit (92%) Xenopus, Zebrafish (84%).

    纯化方法

    Immunoaffinity purified

    免疫原

    Synthetic peptide located between aa95-144 of human METAP2 (P50579, NP_006829). Percent identity by BLAST analysis: Human, Chimpanzee, Gorilla, Monkey, Marmoset, Mouse, Rat, Hamster, Elephant, Panda, Dog, Bovine, Bat, Horse, Pig, Guinea pig (100%), Rabbit, Opossum, Platypus (92%), Xenopus, Zebrafish (84%).

    Type of Immunogen: Synthetic peptide

    亚型

    IgG
  • 应用备注

    Approved: IHC, IHC-P (5 μg/mL), WB

    Usage: ELISA titer using peptide based assay: 1:312500. Western Blot: Suggested dilution at 0.5 μg/mL in 5 % skim milk / PBS buffer, and HRP conjugated anti-Rabbit IgG should be diluted in 1:50000 - 100000 as second antibody.

    说明

    Target Species of Antibody: Human

    限制

    仅限研究用
  • 状态

    Lyophilized

    溶解方式

    Distilled Water.

    浓度

    Lot specific

    缓冲液

    Lyophilized from PBS with 2 % sucrose

    注意事项

    Avoid repeat freeze-thaw cycles.

    储存条件

    4 °C,-20 °C

    储存方法

    Long term: -20°C, the use of 50% glycerol is recommended if storing aliquots in -20°C for long term use (up to 1 year)
    Short term (less than 1 week): 4°C. Avoid freeze-thaw cycles.
  • 抗原

    METAP2 (Methionyl Aminopeptidase 2 (METAP2))

    别名

    METAP2

    背景

    Name/Gene ID: METAP2
    Subfamily: Metallopeptidase M24C
    Family: Exopeptidase

    Synonyms: METAP2, MAP 2, MetAP 2, Methionyl aminopeptidase 2, Methionine aminopeptidase 2, Peptidase M 2, MNPEP, p67, EIF-2-associated p67 homolog, p67eIF2

    基因ID

    10988

    NCBI登录号

    NP_006829

    UniProt

    P50579

    途径

    Regulation of G-Protein Coupled Receptor Protein Signaling
You are here: