电话:
+86 (0512) 65829739
传真:
+86 (010) 6788 5057
电子邮件:
orders@antibodies-online.cn

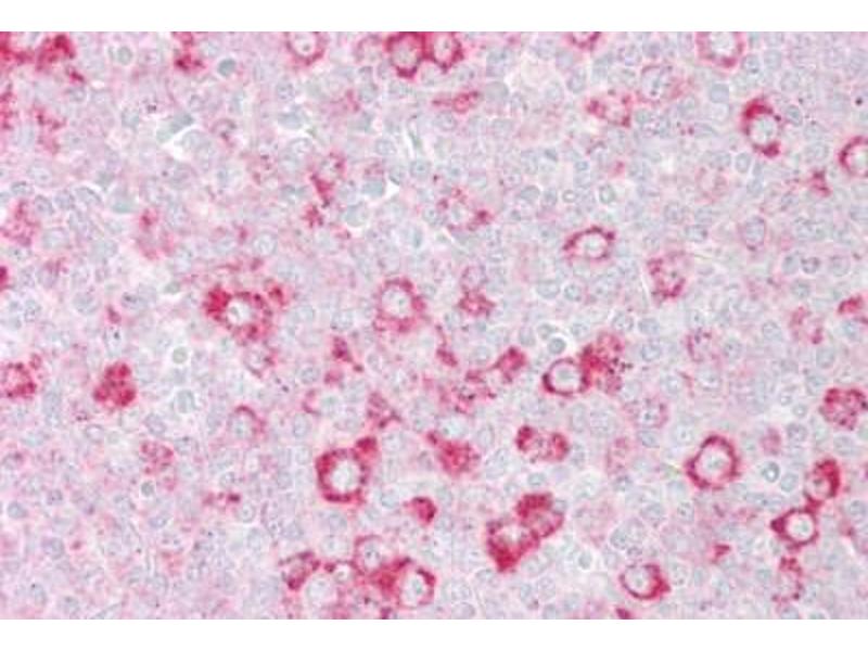
RHOD 抗体 (C-Term)

The 兔 多克隆 anti-RHOD antibody (ABIN6748594) specifically detects RHOD in WB, IHC 和 IHC (p). The antibody is reactive with 人, 大鼠, 小鼠, 猴, 豚鼠, Cow 和 犬 samples.
产品编号 ABIN6748594
发货至: 中国
Contact our Customer Service for availability and price in your country. Contact Info

Our Local Distributor

中国
北京 101111
No. 88 KeChuang 6th Street
Beijing Economic Technological Development Area
Room 801-803
4A Biotech Co.,Ltd.
Tel +86 (0512) 65829739 传真 +86 (010) 6788 5057

Quick Overview for RHOD 抗体 (C-Term) (ABIN6748594)

抗原

See all RHOD 抗体
RHOD (Ras Homolog Family Member D (RHOD))

适用

  • 34
  • 7
  • 6
  • 3
  • 2
  • 1
  • 1
  • 1
人, 大鼠, 小鼠, 猴, 豚鼠, Cow, 犬

宿主

  • 28
  • 6

克隆类型

  • 28
  • 6
多克隆

标记

  • 24
  • 2
  • 1
  • 1
  • 1
  • 1
  • 1
  • 1
  • 1
  • 1
This RHOD antibody is un-conjugated

应用范围

  • 18
  • 12
  • 5
  • 4
  • 2
  • 2
  • 2
Western Blotting (WB), Immunohistochemistry (IHC), Immunohistochemistry (Paraffin-embedded Sections) (IHC (p))
  • 抗原表位

    • 5
    • 3
    • 2
    • 2
    • 2
    • 2
    • 1
    • 1
    • 1
    • 1
    • 1
    C-Term

    特异性

    Human RHOD

    预测反应

    Percent identity by BLAST analysis: Human, Dog, Bovine, Guinea pig (100%) Mouse, Rat (81%).

    纯化方法

    Immunoaffinity purified

    免疫原

    Synthetic peptide from C-Terminus of human RHOD (O00212, NP_055393). Percent identity by BLAST analysis: Human, Chimpanzee, Gorilla, Gibbon, Monkey, Galago, Marmoset, Dog, Bovine, Guinea pig (100%), Elephant, Bat, Horse (92%), Mouse, Rat (81%).

    Type of Immunogen: Synthetic peptide

    亚型

    IgG
  • 应用备注

    Approved: IHC, IHC-P (5 μg/mL), WB (0.2 - 1 μg/mL)

    Usage: ELISA titer using peptide based assay: 1:312500. Western Blot: Suggested dilution at 1 μg/mL in 5 % skim milk / PBS buffer, and HRP conjugated anti-Rabbit IgG should be diluted in 1:50000 - 100000 as second antibody.

    说明

    Target Species of Antibody: Human

    限制

    仅限研究用
  • 状态

    Lyophilized

    溶解方式

    Distilled Water.

    浓度

    Lot specific

    缓冲液

    Lyophilized from PBS with 2 % sucrose

    注意事项

    Avoid repeat freeze-thaw cycles.

    储存条件

    4 °C,-20 °C

    储存方法

    Long term: -20°C, the use of 50% glycerol is recommended if storing aliquots in -20°C for long term use (up to 1 year)
    Short term (less than 1 week): 4°C. Avoid freeze-thaw cycles.
  • 抗原

    RHOD (Ras Homolog Family Member D (RHOD))

    别名

    RHOD

    背景

    Name/Gene ID: RHOD
    Family: Ras GTPase superfamily IPR001806

    Synonyms: RHOD, ARHD, RHOHP1, Ras homolog D, Ras homolog family member D, RHOM, Rho-related protein HP1, Rho-related GTP-binding protein RhoD

    基因ID

    29984

    NCBI登录号

    NP_055393

    UniProt

    O00212
You are here: