电话:
+86 (0512) 65829739
传真:
+86 (010) 6788 5057
电子邮件:
orders@antibodies-online.cn

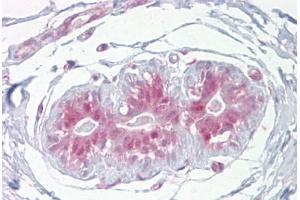
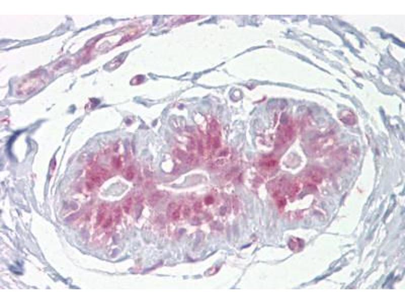
EHF 抗体 (AA 121-170)

The 兔 多克隆 anti-EHF antibody is suitable to detect EHF in samples from 人, 小鼠, 大鼠, 犬, Cow 和 兔. It has been validated for WB, IHC 和 IHC (p).
产品编号 ABIN6748571
发货至: 中国
Contact our Customer Service for availability and price in your country. Contact Info

Our Local Distributor

中国
北京 101111
No. 88 KeChuang 6th Street
Beijing Economic Technological Development Area
Room 801-803
4A Biotech Co.,Ltd.
Tel +86 (0512) 65829739 传真 +86 (010) 6788 5057

Quick Overview for EHF 抗体 (AA 121-170) (ABIN6748571)

抗原

See all EHF 抗体
EHF (Ets Homologous Factor (EHF))

适用

  • 14
  • 9
  • 4
  • 4
  • 3
  • 3
  • 3
  • 2
  • 2
  • 2
  • 1
  • 1
  • 1
人, 小鼠, 大鼠, 犬, Cow, 兔

宿主

  • 13
  • 4

克隆类型

  • 15
  • 2
多克隆

标记

  • 17
This EHF antibody is un-conjugated

应用范围

  • 15
  • 8
  • 6
  • 2
  • 1
  • 1
Western Blotting (WB), Immunohistochemistry (IHC), Immunohistochemistry (Paraffin-embedded Sections) (IHC (p))
  • 抗原表位

    • 4
    • 2
    • 2
    • 1
    • 1
    • 1
    • 1
    • 1
    AA 121-170

    特异性

    Mouse EHF

    预测反应

    Percent identity by BLAST analysis: Mouse, Rat (100%) Dog, Bovine, Rabbit (85%).

    纯化方法

    Immunoaffinity purified

    免疫原

    Synthetic peptide located between aa121-170 of mouse Ehf (O70273, NP_031940). Percent identity by BLAST analysis: Mouse, Rat (100%), Elephant (92%), Panda, Dog, Bovine, Bat, Rabbit, Horse, Pig, Guinea pig, Zebra finch, Platypus (85%), Human (78%).

    Type of Immunogen: Synthetic peptide
  • 应用备注

    Approved: IHC, IHC-P (5 μg/mL), WB (0.2 - 1 μg/mL)

    Usage: Western Blot: Suggested dilution at 1 μg/mL in 5 % skim milk / PBS buffer, and HRP conjugated anti-Rabbit IgG should be diluted in 1: 50,000 - 100,000 as secondary antibody. Antibody does not work for IHC with mouse samples.

    说明

    Target Species of Antibody: Mouse

    限制

    仅限研究用
  • 状态

    Lyophilized

    溶解方式

    Distilled water

    浓度

    Lot specific

    缓冲液

    Lyophilized from PBS with 2 % sucrose

    注意事项

    Avoid repeat freeze-thaw cycles.

    储存条件

    4 °C,-20 °C

    储存方法

    Long term: -20°C, the use of 50% glycerol is recommended if storing aliquots in -20°C for long term use (up to 1 year)
    Short term (less than 1 week): 4°C. Avoid freeze-thaw cycles.
  • 抗原

    EHF (Ets Homologous Factor (EHF))

    别名

    ESE3 / EHF

    背景

    Name/Gene ID: EHF

    Synonyms: EHF, ESE3, ESE3B, ESE-3, ESE3 transcription factor, Ets homologous factor, ESEJ, HEHF

    基因ID

    26298

    NCBI登录号

    NP_031940

    UniProt

    Q9NZC4
You are here: