电话:
+86 (0512) 65829739
传真:
+86 (010) 6788 5057
电子邮件:
orders@antibodies-online.cn

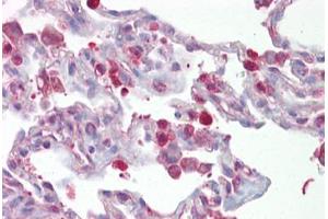
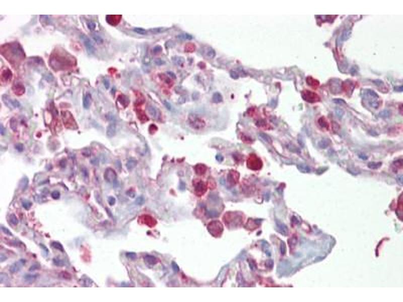
FOSL1 抗体 (AA 143-192)

This 兔 多克隆 antibody specifically detects FOSL1 in WB, IHC 和 IHC (p). It exhibits reactivity toward 人, 大鼠, 小鼠, 犬, Cow, 豚鼠, 马, 兔, Bat 和 Pig.
产品编号 ABIN6748536
发货至: 中国
Contact our Customer Service for availability and price in your country. Contact Info

Our Local Distributor

中国
北京 101111
No. 88 KeChuang 6th Street
Beijing Economic Technological Development Area
Room 801-803
4A Biotech Co.,Ltd.
Tel +86 (0512) 65829739 传真 +86 (010) 6788 5057

Quick Overview for FOSL1 抗体 (AA 143-192) (ABIN6748536)

抗原

See all FOSL1 抗体
FOSL1 (FOS-Like Antigen 1 (FOSL1))

适用

  • 56
  • 32
  • 30
  • 5
  • 3
  • 3
  • 3
  • 3
  • 2
  • 1
  • 1
  • 1
  • 1
人, 大鼠, 小鼠, 犬, Cow, 豚鼠, 马, 兔, Bat, Pig

宿主

  • 53
  • 4
  • 2

克隆类型

  • 47
  • 12
多克隆

标记

  • 24
  • 3
  • 3
  • 3
  • 3
  • 3
  • 3
  • 2
  • 1
  • 1
  • 1
  • 1
  • 1
  • 1
  • 1
  • 1
  • 1
  • 1
  • 1
  • 1
  • 1
  • 1
  • 1
This FOSL1 antibody is un-conjugated

应用范围

  • 44
  • 14
  • 13
  • 13
  • 13
  • 11
  • 9
  • 6
  • 4
  • 3
  • 1
Western Blotting (WB), Immunohistochemistry (IHC), Immunohistochemistry (Paraffin-embedded Sections) (IHC (p))
  • 抗原表位

    • 15
    • 3
    • 2
    • 2
    • 2
    • 1
    • 1
    • 1
    • 1
    • 1
    • 1
    • 1
    • 1
    AA 143-192

    特异性

    Human FOSL1 / FRA1

    预测反应

    Percent identity by BLAST analysis: Human, Mouse, Rat, Dog, Bovine, Rabbit, Pig (100%).

    纯化方法

    Immunoaffinity purified

    免疫原

    Synthetic peptide located between aa143-192 of human FOSL1 (P15407, NP_005429). Percent identity by BLAST analysis: Human, Chimpanzee, Gorilla, Gibbon, Galago, Marmoset, Mouse, Rat, Elephant, Dog, Bovine, Bat, Rabbit, Horse, Pig, Guinea pig (100%), Monkey, Platypus (92%), Goat, Panda, Stickleback, Zebrafish (84%).

    Type of Immunogen: Synthetic peptide
  • 应用备注

    Approved: IHC, IHC-P (5 μg/mL), WB (0.2 - 1 μg/mL)

    Usage: Western Blot: Suggested dilution at 1 μg/mL in 5 % skim milk / PBS buffer, and HRP conjugated anti-Rabbit IgG should be diluted in 1: 50,000 - 100,000 as secondary antibody.

    说明

    Target Species of Antibody: Human

    限制

    仅限研究用
  • 状态

    Lyophilized

    溶解方式

    Reconstitute with 50 μL sterile ddH2O.

    浓度

    Lot specific

    缓冲液

    Lyophilized from PBS with 2 % sucrose

    注意事项

    Avoid freeze-thaw cycles.

    储存条件

    4 °C,-20 °C

    储存方法

    Long term: -20°C, the use of 50% glycerol is recommended if storing aliquots in -20°C for long term use (up to 1 year)
    Short term (less than 1 week): 4°C. Avoid freeze-thaw cycles.
  • 抗原

    FOSL1 (FOS-Like Antigen 1 (FOSL1))

    别名

    FRA-1 / FOSL1

    背景

    Name/Gene ID: FOSL1

    Synonyms: FOSL1, FOS-like antigen 1, Fos-related antigen 1, FRA, FOS-like antigen-1, FRA1, Fra-1

    基因ID

    8061

    NCBI登录号

    NP_005429

    UniProt

    P15407
You are here: