电话:
+86 (0512) 65829739
传真:
+86 (010) 6788 5057
电子邮件:
orders@antibodies-online.cn

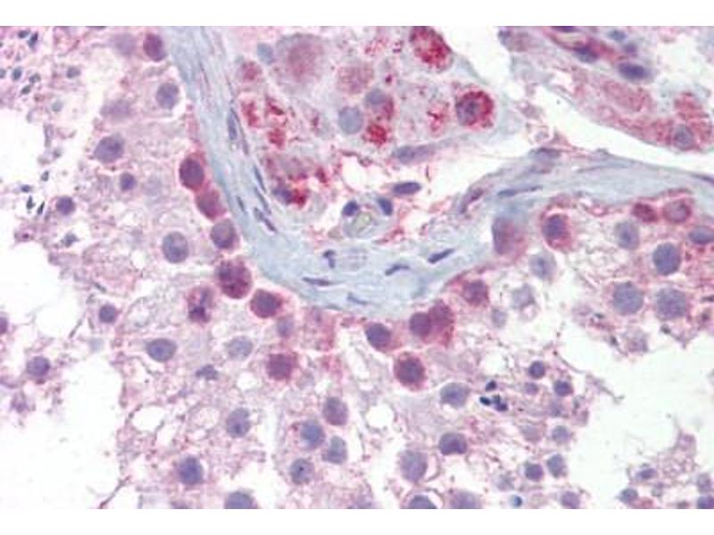
SYCP3 抗体 (N-Term)

The 兔 多克隆 anti-SYCP3 antibody (ABIN6748531) specifically detects SYCP3 in WB, IHC 和 IHC (p). The antibody is reactive with 人 和 猴 samples.
产品编号 ABIN6748531
发货至: 中国
Contact our Customer Service for availability and price in your country. Contact Info

Our Local Distributor

中国
北京 101111
No. 88 KeChuang 6th Street
Beijing Economic Technological Development Area
Room 801-803
4A Biotech Co.,Ltd.
Tel +86 (0512) 65829739 传真 +86 (010) 6788 5057

Quick Overview for SYCP3 抗体 (N-Term) (ABIN6748531)

抗原

See all SYCP3 抗体
SYCP3 (Synaptonemal Complex Protein 3 (SYCP3))

适用

  • 44
  • 44
  • 22
  • 2
  • 2
  • 1
  • 1
人, 猴

宿主

  • 61
  • 4

克隆类型

  • 60
  • 5
多克隆

标记

  • 28
  • 3
  • 3
  • 2
  • 2
  • 2
  • 2
  • 2
  • 2
  • 2
  • 2
  • 2
  • 2
  • 2
  • 2
  • 1
  • 1
  • 1
  • 1
  • 1
  • 1
  • 1
This SYCP3 antibody is un-conjugated

应用范围

  • 52
  • 26
  • 26
  • 16
  • 11
  • 8
  • 7
  • 6
  • 4
  • 4
  • 1
  • 1
Western Blotting (WB), Immunohistochemistry (IHC), Immunohistochemistry (Paraffin-embedded Sections) (IHC (p))
  • 抗原表位

    • 15
    • 15
    • 6
    • 5
    • 3
    • 3
    • 2
    • 1
    • 1
    • 1
    • 1
    • 1
    • 1
    N-Term

    特异性

    Human SYCP3

    预测反应

    Percent identity by BLAST analysis: Human (100%).

    纯化方法

    Immunoaffinity purified

    免疫原

    Synthetic peptide from N-Terminus of human SYCP3 (Q8IZU3, NP_710161). Percent identity by BLAST analysis: Human, Chimpanzee, Gorilla, Gibbon, Monkey, Marmoset (100%).

    Type of Immunogen: Synthetic peptide

    亚型

    IgG
  • 应用备注

    Approved: IHC, IHC-P (5 μg/mL), WB (0.2 - 1 μg/mL)

    Usage: Western Blot: Suggested dilution at 1 μg/mL in 5 % skim milk / PBS buffer, and HRP conjugated anti-Rabbit IgG should be diluted in 1: 50,000 - 100,000 as second antibody. ELISA titer in peptide based assay: 1:312500.

    说明

    Target Species of Antibody: Human

    限制

    仅限研究用
  • 状态

    Lyophilized

    溶解方式

    Reconstitute with 50 μL sterile ddH2O.

    浓度

    Lot specific

    缓冲液

    Lyophilized from PBS with 2 % sucrose

    注意事项

    Avoid repeat freeze-thaw cycles.

    储存条件

    4 °C,-20 °C

    储存方法

    Long term: -20°C, the use of 50% glycerol is recommended if storing aliquots in -20°C for long term use (up to 1 year)
    Short term (less than 1 week): 4°C. Avoid freeze-thaw cycles.
  • 抗原

    SYCP3 (Synaptonemal Complex Protein 3 (SYCP3))

    别名

    SYCP3 / SCP3

    背景

    Name/Gene ID: SYCP3

    Synonyms: SYCP3, SCP3, SPGF4, Synaptonemal complex protein 3, SCP-3, COR1

    基因ID

    50511

    NCBI登录号

    NP_710161

    UniProt

    Q8IZU3
You are here: