电话:
+86 (0512) 65829739
传真:
+86 (010) 6788 5057
电子邮件:
orders@antibodies-online.cn

MCTP1 抗体 (C-Term)

This 兔 多克隆 antibody specifically detects MCTP1 in WB, IHC 和 IHC (p). It exhibits reactivity toward 人, 小鼠, 豚鼠, 马, 斑马鱼, 小鸡, 猴 和 Pig.
产品编号 ABIN6744450
发货至: 中国
Contact our Customer Service for availability and price in your country. Contact Info

Our Local Distributor

中国
北京 101111
No. 88 KeChuang 6th Street
Beijing Economic Technological Development Area
Room 801-803
4A Biotech Co.,Ltd.
Tel +86 (0512) 65829739 传真 +86 (010) 6788 5057

Quick Overview for MCTP1 抗体 (C-Term) (ABIN6744450)

抗原

MCTP1 (Multiple C2 Domains, Transmembrane 1 (MCTP1))

适用

  • 7
  • 5
  • 4
  • 3
  • 3
  • 3
  • 3
  • 2
  • 2
  • 1
  • 1
  • 1
  • 1
人, 小鼠, 豚鼠, 马, 斑马鱼, 小鸡, 猴, Pig

宿主

  • 5
  • 2

克隆类型

  • 7
多克隆

标记

  • 7
This MCTP1 antibody is un-conjugated

应用范围

Western Blotting (WB), Immunohistochemistry (IHC), Immunohistochemistry (Paraffin-embedded Sections) (IHC (p))
  • 抗原表位

    • 2
    • 2
    • 1
    • 1
    C-Term

    特异性

    Human MCTP1

    预测反应

    Percent identity by BLAST analysis: Human, Mouse, Horse, Guinea pig, Chicken (100%).

    纯化方法

    Immunoaffinity purified

    免疫原

    Synthetic peptide from C-Terminus of human MCTP1 (Q6DN14-2, NP_001002796). Percent identity by BLAST analysis: Human, Chimpanzee, Gorilla, Gibbon, Monkey, Galago, Marmoset, Mouse, Elephant, Horse, Pig, Opossum, Guinea pig, Chicken, Lizard (100%), Panda, Dog, Turkey (92%), Rat, Bat, Rabbit, Zebra finch, Platypus, Xenopus, Zebrafish (85%).

    Type of Immunogen: Synthetic peptide

    亚型

    IgG
  • 应用备注

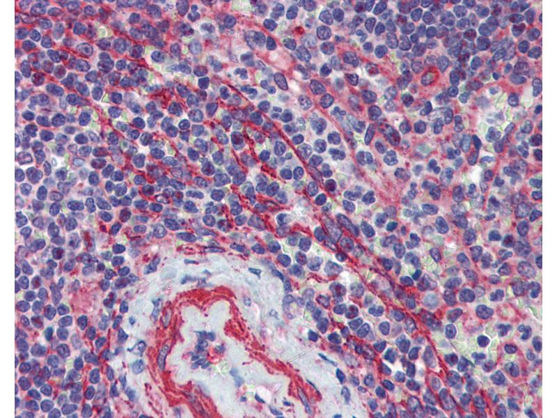
    Approved: IHC, IHC-P (5 μg/mL), WB (1 μg/mL)

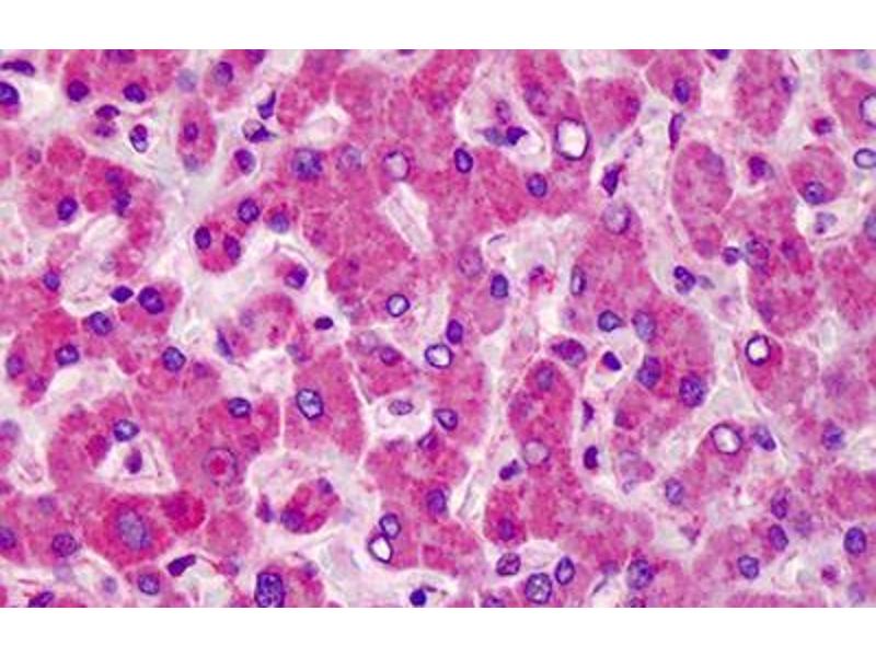
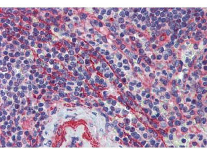
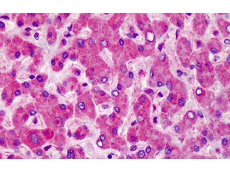
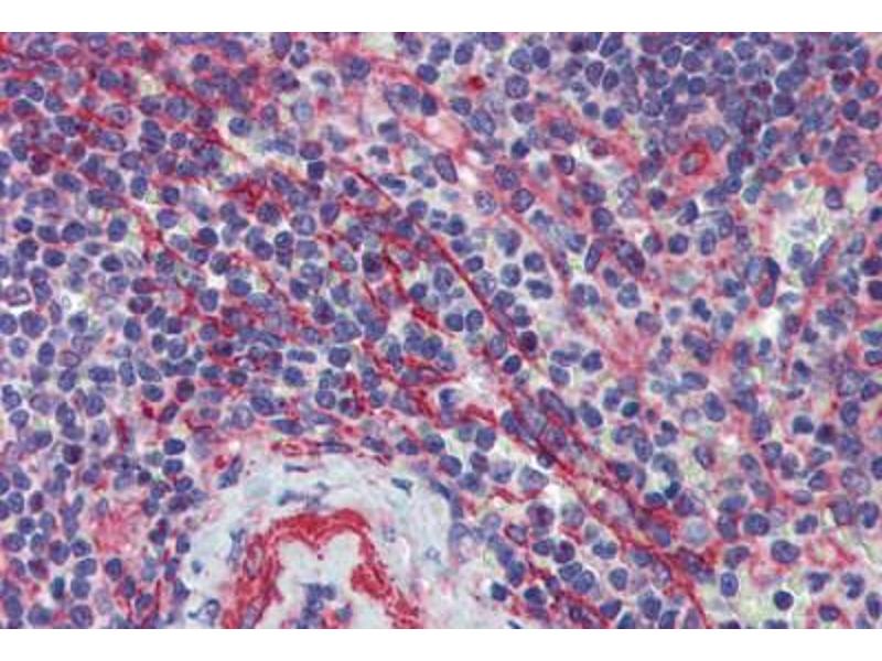
    Usage: Immunohistochemistry: This antibody was validated for use in immunohistochemistry on a panel of 21 formalin-fixed, paraffin-embedded (FFPE) human tissues after heat induced antigen retrieval in  pH 6.0 citrate buffer. After incubation with the primary antibody, slides were incubated with biotinylated secondary antibody, followed by alkaline phosphatase-streptavidin and chromogen. The stained slides were evaluated by a pathologist to confirm staining specificity. The optimal working concentration for this antibody was determined to be 5 μg/mL. Western Blot: Suggested dilution at 1 μg/mL in 5 % skim milk / PBS buffer, and HRP conjugated anti-Rabbit IgG should be diluted in 1: 50,000 - 100,000 as second antibody. ELISA titer in peptide based assay: 1:1562500.

    说明

    Target Species of Antibody: Human

    限制

    仅限研究用
  • 状态

    Lyophilized

    溶解方式

    Distilled water

    浓度

    Lot specific

    缓冲液

    Lyophilized from PBS with 2 % sucrose

    注意事项

    Avoid repeat freeze-thaw cycles.

    储存条件

    4 °C,-20 °C

    储存方法

    Long term: -20°C, the use of 50% glycerol is recommended if storing aliquots in -20°C for long term use (up to 1 year)
    Short term (less than 1 week): 4°C. Avoid freeze-thaw cycles.
  • 抗原

    MCTP1 (Multiple C2 Domains, Transmembrane 1 (MCTP1))

    别名

    MCTP1

    背景

    Name/Gene ID: MCTP1

    Synonyms: MCTP1

    基因ID

    79772

    NCBI登录号

    NP_001002796

    UniProt

    Q6DN14
You are here: