ATF4 抗体 (N-Term)
Our Local Distributor
北京 101111
Quick Overview for ATF4 抗体 (N-Term) (ABIN462203)
抗原
See all ATF4 抗体适用
宿主
克隆类型
标记
应用范围
-
-
抗原表位
- N-Term
-
特异性
- Mouse ATF4
-
预测反应
- Percent identity by BLAST analysis: Mouse (100%).
-
纯化方法
- Immunoaffinity purified
-
免疫原
-
Synthetic peptide from N-Terminus of mouse ATF4 (Q61328, NP_033846). Percent identity by BLAST analysis: Mouse (100%).
Type of Immunogen: Synthetic peptide -
亚型
- IgG
-
-
-
-
应用备注
-
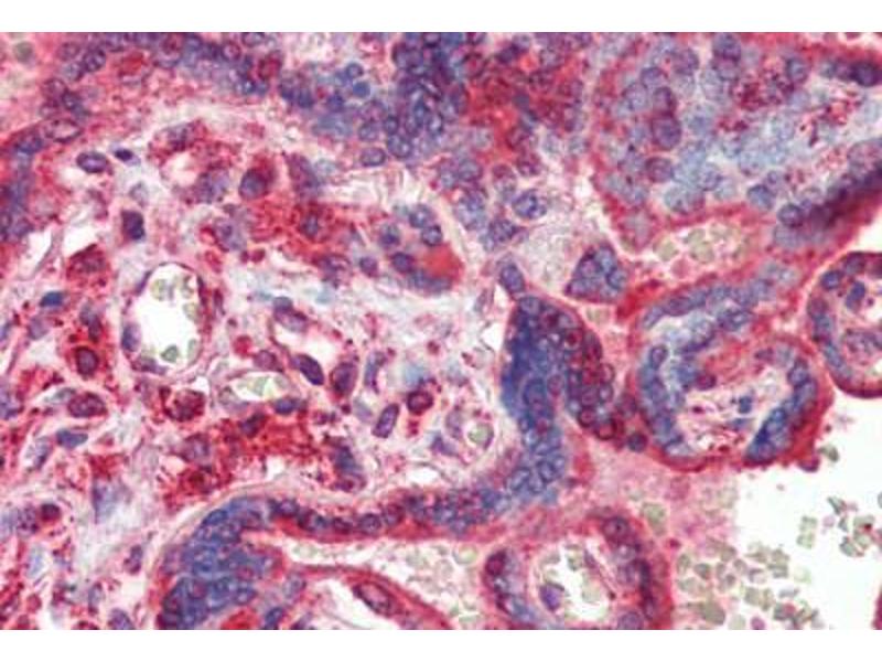
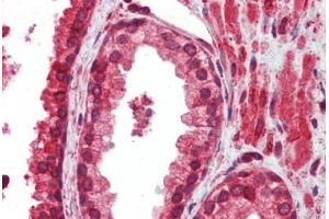
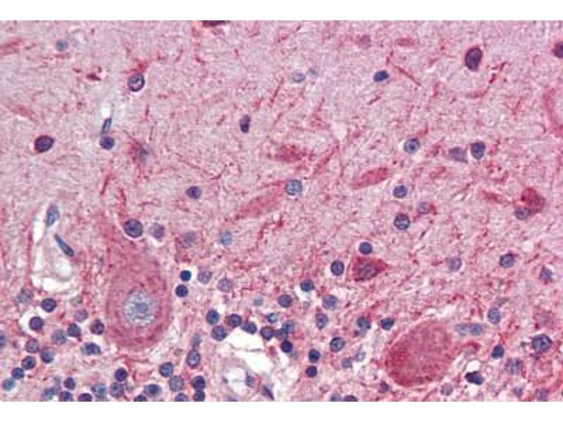
Approved: IHC, IHC-P (5 μg/mL), WB
Usage: Immunohistochemistry: This antibody was validated for use in immunohistochemistry on a panel of 21 formalin-fixed, paraffin-embedded (FFPE) human tissues after heat induced antigen retrieval in pH 6.0 citrate buffer. After incubation with the primary antibody, slides were incubated with biotinylated secondary antibody, followed by alkaline phosphatase-streptavidin and chromogen. The stained slides were evaluated by a pathologist to confirm staining specificity. The optimal working concentration for this antibody was determined to be 5 μg/mL. -
说明
-
Target Species of Antibody: Mouse
-
限制
- 仅限研究用
-
-
-
状态
- Lyophilized
-
溶解方式
- Distilled water
-
浓度
- Lot specific
-
缓冲液
- Lyophilized from PBS with 2 % sucrose
-
注意事项
- Avoid repeat freeze-thaw cycles.
-
储存条件
- 4 °C,-20 °C
-
储存方法
-
Long term: -20°C, the use of 50% glycerol is recommended if storing aliquots in -20°C for long term use (up to 1 year)
Short term (less than 1 week): 4°C. Avoid freeze-thaw cycles.
-
-
- ATF4 (Activating Transcription Factor 4 (Tax-Responsive Enhancer Element B67) (ATF4))
-
别名
- ATF4
-
背景
-
Name/Gene ID: ATF4
Family: Transcription factor
Synonyms: ATF4, CREB-2, CREB2, TXREB, DNA-binding protein TAXREB67, TAXREB67 -
基因ID
- 468
-
NCBI登录号
- NP_033846
-
UniProt
- P18848
-
途径
- Thyroid Hormone Synthesis, Myometrial Relaxation and Contraction, ER-Nucleus Signaling, Unfolded Protein Response
抗原
-