电话:
+86 (0512) 65829739
传真:
+86 (010) 6788 5057
电子邮件:
orders@antibodies-online.cn

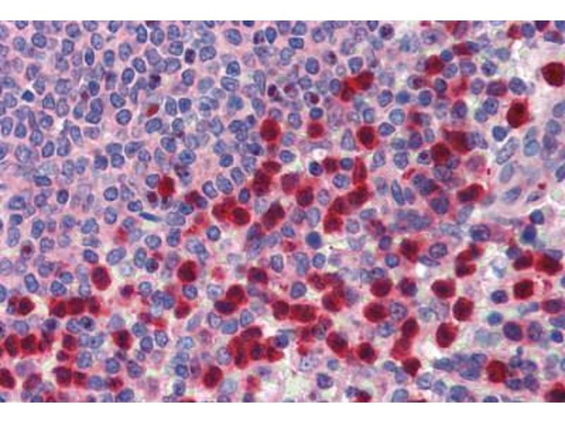
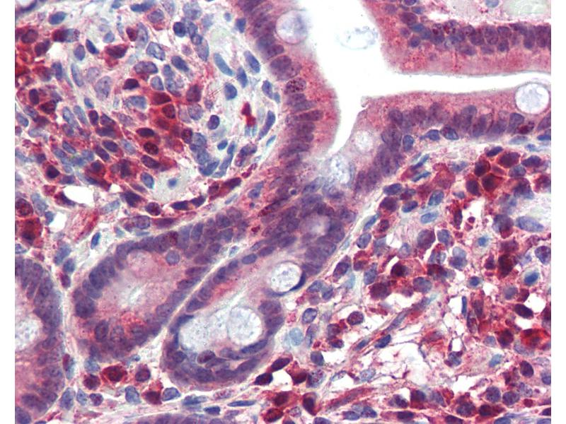
TRIM35 抗体 (AA 359-408)

The 兔 多克隆 anti-TRIM35 antibody (ABIN6741557) specifically detects TRIM35 in WB, IHC 和 IHC (p). The antibody is reactive with 人, 小鼠, 大鼠, Cow, 豚鼠, 马, 兔, 犬 和 Pig samples.
产品编号 ABIN6741557
发货至: 中国
Contact our Customer Service for availability and price in your country. Contact Info

Our Local Distributor

中国
北京 101111
No. 88 KeChuang 6th Street
Beijing Economic Technological Development Area
Room 801-803
4A Biotech Co.,Ltd.
Tel +86 (0512) 65829739 传真 +86 (010) 6788 5057

Quick Overview for TRIM35 抗体 (AA 359-408) (ABIN6741557)

抗原

See all TRIM35 抗体
TRIM35 (Tripartite Motif Containing 35 (TRIM35))

适用

  • 49
  • 19
  • 19
  • 3
  • 3
  • 3
  • 3
  • 2
  • 2
  • 1
  • 1
人, 小鼠, 大鼠, Cow, 豚鼠, 马, 兔, 犬, Pig

宿主

  • 46
  • 2
  • 1

克隆类型

  • 47
  • 2
多克隆

标记

  • 20
  • 4
  • 3
  • 3
  • 1
  • 1
  • 1
  • 1
  • 1
  • 1
  • 1
  • 1
  • 1
  • 1
  • 1
  • 1
  • 1
  • 1
  • 1
  • 1
  • 1
  • 1
  • 1
This TRIM35 antibody is un-conjugated

应用范围

  • 36
  • 16
  • 13
  • 6
  • 4
  • 2
Western Blotting (WB), Immunohistochemistry (IHC), Immunohistochemistry (Paraffin-embedded Sections) (IHC (p))
  • 抗原表位

    • 9
    • 5
    • 3
    • 2
    • 2
    • 1
    • 1
    • 1
    • 1
    • 1
    • 1
    • 1
    • 1
    AA 359-408

    特异性

    Human TRIM35

    预测反应

    Percent identity by BLAST analysis: Human, Dog, Bovine, Horse, Pig (100%) Rabbit (92%) Rat (91%) Mouse (85%).

    纯化方法

    Immunoaffinity purified

    免疫原

    Synthetic peptide located between aa359-408 of human TRIM35 (Q9UPQ4, NP_741983). Percent identity by BLAST analysis: Human, Chimpanzee, Gorilla, Orangutan, Gibbon, Monkey, Galago, Mouse, Rat, Elephant, Panda, Dog, Bovine, Rabbit, Horse, Pig, Guinea pig (100%), Marmoset, Bat (92%), Opossum (85%).

    Type of Immunogen: Synthetic peptide

    亚型

    IgG
  • 应用备注

    Approved: IHC, IHC-P (5 μg/mL), WB (0.2 - 1 μg/mL)

    Usage: Immunohistochemistry: This antibody was validated for use in immunohistochemistry on a panel of 21 formalin-fixed, paraffin-embedded (FFPE) human tissues after heat induced antigen retrieval in  pH 6.0 citrate buffer. After incubation with the primary antibody, slides were incubated with biotinylated secondary antibody, followed by alkaline phosphatase-streptavidin and chromogen. The stained slides were evaluated by a pathologist to confirm staining specificity. The optimal working concentration for this antibody was determined to be 5 μg/mL. Western Blot: Suggested dilution at 1 μg/mL in 5 % skim milk / PBS buffer, and HRP conjugated anti-Rabbit IgG should be diluted in 1:50000 - 100000 as second antibody. ELISA titer in peptide based assay: 1:312500.

    说明

    Target Species of Antibody: Human

    限制

    仅限研究用
  • 状态

    Lyophilized

    溶解方式

    Distilled water

    浓度

    Lot specific

    缓冲液

    Lyophilized from PBS with 2 % sucrose

    注意事项

    Avoid repeat freeze-thaw cycles.

    储存条件

    4 °C,-20 °C

    储存方法

    Long term: -20°C, the use of 50% glycerol is recommended if storing aliquots in -20°C for long term use (up to 1 year)
    Short term (less than 1 week): 4°C. Avoid freeze-thaw cycles.
  • 抗原

    TRIM35 (Tripartite Motif Containing 35 (TRIM35))

    别名

    TRIM35

    背景

    Name/Gene ID: TRIM35
    Family: Tripartite Motif

    Synonyms: TRIM35, HLS5, KIAA1098, MAIR, Tripartite motif containing 35, Tripartite motif-containing 35

    基因ID

    23087

    NCBI登录号

    NP_741983

    UniProt

    Q9UPQ4
You are here: