NIFK 抗体 (AA 140-189)
Our Local Distributor
北京 101111
Quick Overview for NIFK 抗体 (AA 140-189) (ABIN6736736)
抗原
See all NIFK (MKI67IP) 抗体适用
宿主
克隆类型
标记
应用范围
-
-
抗原表位
- AA 140-189
-
特异性
- Human MKI67IP
-
预测反应
- Percent identity by BLAST analysis: Human (100%) Dog, Rabbit (92%) Horse (85%).
-
纯化方法
- Immunoaffinity purified
-
免疫原
-
Synthetic peptide located between aa140-189 of human MKI67IP (Q9BYG3, NP_115766). Percent identity by BLAST analysis: Human, Gorilla, Gibbon, Monkey (100%), Marmoset, Rat, Panda, Dog, Rabbit (92%), Mouse, Zebra finch (91%), Galago, Hamster, Elephant, Bovine, Horse (85%), Bat (84%).
Type of Immunogen: Synthetic peptide -
亚型
- IgG
-
-
-
-
应用备注
-
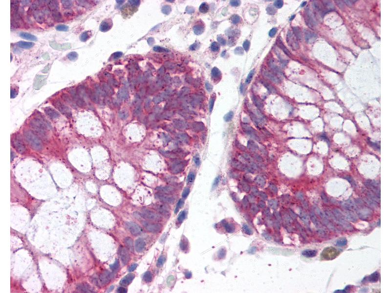
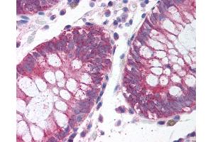
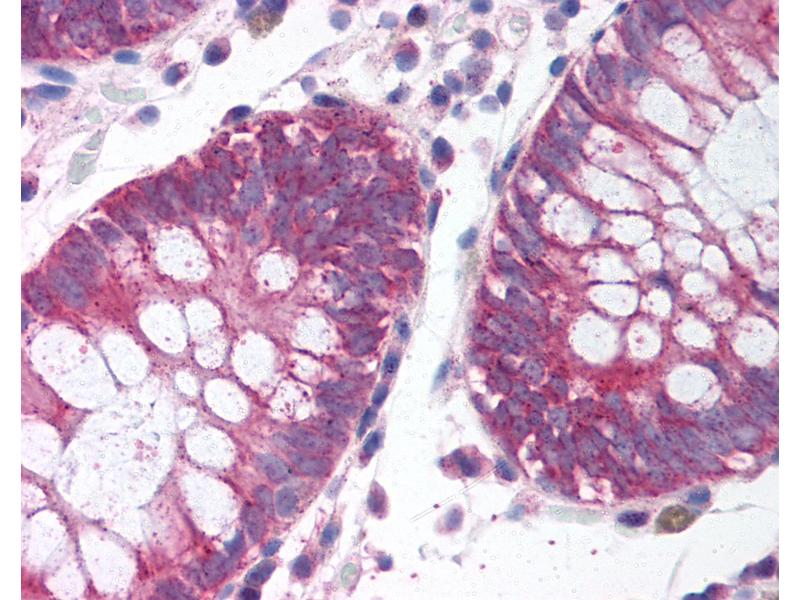
Approved: IHC, IHC-P (5 μg/mL), WB (0.2 - 1 μg/mL)
Usage: Immunohistochemistry: This antibody was validated for use in immunohistochemistry on a panel of 21 formalin-fixed, paraffin-embedded (FFPE) human tissues after heat induced antigen retrieval in pH 6.0 citrate buffer. After incubation with the primary antibody, slides were incubated with biotinylated secondary antibody, followed by alkaline phosphatase-streptavidin and chromogen. The stained slides were evaluated by a pathologist to confirm staining specificity. The optimal working concentration for this antibody was determined to be 5 μg/mL. -
说明
-
Target Species of Antibody: Human
-
限制
- 仅限研究用
-
-
-
状态
- Lyophilized
-
溶解方式
- Distilled water
-
浓度
- Lot specific
-
缓冲液
- Lyophilized from PBS with 2 % sucrose
-
注意事项
- Avoid repeat freeze-thaw cycles.
-
储存条件
- 4 °C,-20 °C
-
储存方法
-
Long term: -20°C, the use of 50% glycerol is recommended if storing aliquots in -20°C for long term use (up to 1 year)
Short term (less than 1 week): 4°C. Avoid freeze-thaw cycles.
-
-
-