电话:
+86 (0512) 65829739
传真:
+86 (010) 6788 5057
电子邮件:
orders@antibodies-online.cn

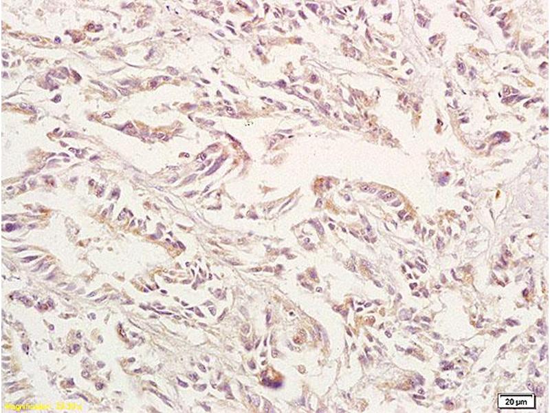
GPA33 抗体 (AA 151-280)

The 兔 多克隆 anti-GPA33 antibody (ABIN673644) specifically detects GPA33 in WB, ELISA, IF (cc), IF (p), IHC (p) 和 IHC (fro). The antibody is reactive with 人 和 小鼠 samples.
产品编号 ABIN673644
发货至: 中国
Contact our Customer Service for availability and price in your country. Contact Info

Our Local Distributor

中国
北京 101111
No. 88 KeChuang 6th Street
Beijing Economic Technological Development Area
Room 801-803
4A Biotech Co.,Ltd.
Tel +86 (0512) 65829739 传真 +86 (010) 6788 5057

Quick Overview for GPA33 抗体 (AA 151-280) (ABIN673644)

抗原

See all GPA33 抗体
GPA33 (Glycoprotein A33 (Transmembrane) (GPA33))

适用

  • 74
  • 17
  • 4
人, 小鼠

宿主

  • 57
  • 13
  • 5
  • 2
  • 1

克隆类型

  • 44
  • 30
  • 2
多克隆

标记

  • 25
  • 7
  • 6
  • 4
  • 4
  • 3
  • 2
  • 2
  • 2
  • 2
  • 2
  • 2
  • 2
  • 1
  • 1
  • 1
  • 1
  • 1
  • 1
  • 1
  • 1
  • 1
  • 1
  • 1
  • 1
  • 1
This GPA33 antibody is un-conjugated

应用范围

  • 47
  • 22
  • 20
  • 12
  • 12
  • 12
  • 11
  • 6
  • 4
  • 2
  • 1
  • 1
  • 1
  • 1
  • 1
Western Blotting (WB), ELISA, Immunofluorescence (Cultured Cells) (IF (cc)), Immunofluorescence (Paraffin-embedded Sections) (IF (p)), Immunohistochemistry (Paraffin-embedded Sections) (IHC (p)), Immunohistochemistry (Frozen Sections) (IHC (fro))
  • 抗原表位

    • 14
    • 12
    • 9
    • 5
    • 1
    • 1
    AA 151-280

    交叉反应

    人, 小鼠

    预测反应

    Rat

    纯化方法

    Purified by Protein A.

    免疫原

    KLH conjugated synthetic peptide derived from mouse GPA33

    亚型

    IgG
  • 应用备注

    WB 1:300-5000
    ELISA 1:500-1000
    IHC-P 1:200-400
    IHC-F 1:100-500
    IF(IHC-P) 1:50-200
    IF(IHC-F) 1:50-200
    IF(ICC) 1:50-200

    限制

    仅限研究用
  • 状态

    Liquid

    浓度

    1 μg/μL

    缓冲液

    0.01M TBS( pH 7.4) with 1 % BSA, 0.02 % Proclin300 and 50 % Glycerol.

    储存液

    ProClin

    注意事项

    This product contains ProClin: a POISONOUS AND HAZARDOUS SUBSTANCE, which should be handled by trained staff only.

    储存条件

    4 °C,-20 °C

    储存方法

    Shipped at 4°C. Store at -20°C for one year. Avoid repeated freeze/thaw cycles.

    有效期

    12 months
  • 抗原

    GPA33 (Glycoprotein A33 (Transmembrane) (GPA33))

    别名

    GPA33

    背景

    Synonyms: BB116197, 2010310L10Rik, 2210401D16Rik, Cell surface A33 antigen, Glycoprotein A33, mA33, Gpa33

    Background: The glycoprotein encoded by this gene is a cell surface antigen that is expressed in greater than 95 % of human colon cancers. The open reading frame encodes a 319 amino acid polypeptide having a putative secretory signal sequence and 3 potential glycosylation sites. The predicted mature protein has a 213 amino acid extracellular region, a single transmembrane domain, and a 62 amino acid intracellular tail. The sequence of the extracellular region contains 2 domains characteristic of the CD2 subgroup of the immunoglobulin (Ig) superfamily.

    基因ID

    59290

    UniProt

    Q9JKA5
You are here: