电话:
+86 (0512) 65829739
传真:
+86 (010) 6788 5057
电子邮件:
orders@antibodies-online.cn

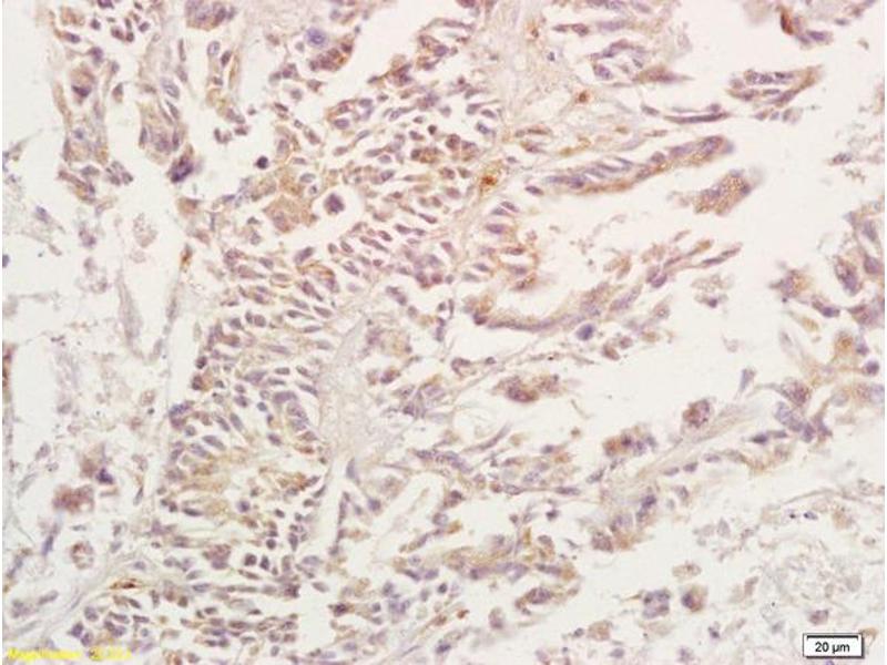
Adenosine A3 Receptor 抗体 (AA 85-180)

The 兔 多克隆 anti-Adenosine A3 Receptor antibody (ABIN673629) specifically detects Adenosine A3 Receptor in WB, ELISA, FACS, IHC (p), IF (cc), IF (p) 和 IHC (fro). The antibody is reactive with 人 和 大鼠 samples.
产品编号 ABIN673629
发货至: 中国
Contact our Customer Service for availability and price in your country. Contact Info

Our Local Distributor

中国
北京 101111
No. 88 KeChuang 6th Street
Beijing Economic Technological Development Area
Room 801-803
4A Biotech Co.,Ltd.
Tel +86 (0512) 65829739 传真 +86 (010) 6788 5057

Quick Overview for Adenosine A3 Receptor 抗体 (AA 85-180) (ABIN673629)

抗原

See all Adenosine A3 Receptor (ADORA3) 抗体
Adenosine A3 Receptor (ADORA3)

适用

  • 33
  • 17
  • 6
  • 4
  • 3
  • 2
  • 2
  • 2
  • 1
  • 1
人, 大鼠

宿主

  • 34
  • 1
  • 1

克隆类型

  • 35
  • 1
多克隆

标记

  • 28
  • 1
  • 1
  • 1
  • 1
  • 1
  • 1
  • 1
  • 1
This Adenosine A3 Receptor antibody is un-conjugated

应用范围

  • 21
  • 13
  • 10
  • 8
  • 4
  • 2
  • 2
  • 1
  • 1
  • 1
Western Blotting (WB), ELISA, Flow Cytometry (FACS), Immunohistochemistry (Paraffin-embedded Sections) (IHC (p)), Immunofluorescence (Cultured Cells) (IF (cc)), Immunofluorescence (Paraffin-embedded Sections) (IF (p)), Immunohistochemistry (Frozen Sections) (IHC (fro))
  • 抗原表位

    • 6
    • 2
    • 2
    • 2
    • 2
    • 1
    • 1
    • 1
    • 1
    • 1
    • 1
    • 1
    • 1
    • 1
    • 1
    • 1
    • 1
    • 1
    • 1
    AA 85-180

    交叉反应

    人, 大鼠

    预测反应

    Mouse,Dog,Cow,Sheep,Pig,Rabbit

    纯化方法

    Purified by Protein A.

    免疫原

    KLH conjugated synthetic peptide derived from human ADORA3

    亚型

    IgG
  • 应用备注

    WB 1:300-5000
    ELISA 1:500-1000
    FCM 1:20-100
    IHC-P 1:200-400
    IHC-F 1:100-500
    IF(IHC-P) 1:50-200
    IF(IHC-F) 1:50-200
    IF(ICC) 1:50-200

    限制

    仅限研究用
  • 状态

    Liquid

    浓度

    1 μg/μL

    缓冲液

    0.01M TBS( pH 7.4) with 1 % BSA, 0.02 % Proclin300 and 50 % Glycerol.

    储存液

    ProClin

    注意事项

    This product contains ProClin: a POISONOUS AND HAZARDOUS SUBSTANCE, which should be handled by trained staff only.

    储存条件

    4 °C,-20 °C

    储存方法

    Shipped at 4°C. Store at -20°C for one year. Avoid repeated freeze/thaw cycles.

    有效期

    12 months
  • 抗原

    Adenosine A3 Receptor (ADORA3)

    别名

    Adenosine A3 Receptor

    背景

    Synonyms: Adenosine receptor A3, ADORA3, AA3R_HUMAN

    Background: Isoform 2: Receptor for adenosine. The activity of this receptor is mediated by G proteins which inhibits adenylyl cyclase. Isoform 1: Plays a suppressive role in osteosarcoma malignancy by inhibiting NF-kappa-B activity.

    基因ID

    140

    UniProt

    P0DMS8

    途径

    Hormone Transport, cAMP Metabolic Process, Regulation of Leukocyte Mediated Immunity, Positive Regulation of Immune Effector Process
You are here: